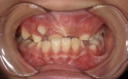
儿童正畸已成为改善牙齿排列、咬合功能及面部美观的重要手段,但不少家长在矫正过程中发现孩子出现龋齿问题,甚至有些孩子在矫正结束后牙齿表面留下白斑或龋洞,这让许多家庭困惑:明明是为了牙齿健康,为何正畸反而会引发龋齿?正畸本身并不会直接导致龋齿,...
正畸治疗中,弓丝作为传递矫治力的核心部件,通过结扎丝或橡皮圈固定在托槽上,引导牙齿按照预定方向移动,临床中常出现钢丝滑脱的情况,不仅影响矫治进度,还可能引发口腔黏膜损伤、疼痛等问题,本文将从钢丝滑落的常见原因、临床表现、处理步骤及预防措施等...
正畸治疗中,牙齿移动的方式直接影响治疗效果与牙周健康,整体移动”作为理想的移动类型,因其对牙根、牙槽骨及牙周组织的低损伤性,成为正畸医生追求的核心目标之一,整体移动指牙齿在牙槽骨内发生平行移动,牙冠与牙根同步向同一方向移动,且牙齿长轴方向保...
正畸治疗是口腔修复中常见的手段,旨在通过外力调整牙齿排列,改善咬合功能与面部美观,目前主流的正畸方式包括隐形正畸与传统钢丝正畸,两者在原理、效果、体验上存在显著差异,患者需根据自身需求与口腔条件选择,隐形正畸与钢丝正畸的核心差异隐形正畸(又...
正畸医学作为口腔医学的重要分支,近年来随着材料科学、生物力学、数字化技术的飞速发展,正畸理念与临床实践不断迭代更新,从传统方丝弓矫治器到自锁托槽、隐形矫治,从经验性操作到基于循证医学的精准治疗,正畸医生面临的不仅是技术革新带来的挑战,更是患...
口腔正畸治疗中,专业术语是医患沟通、临床操作和学术交流的核心基础,准确理解这些术语有助于患者配合治疗、医生规范诊疗,本文将系统梳理口腔正畸的核心术语,涵盖牙齿移动机制、矫治器类型、治疗目标及检查诊断方法,帮助读者建立对正畸治疗的全面认知,牙...
正畸治疗中,部分患者因牙齿埋伏、阻生或需要精准移动,常需通过“开窗术”暴露牙冠并粘贴托槽进行牵引,开窗操作可能破坏牙龈组织的完整性,导致术后牙龈退缩、牙根暴露、龈缘形态异常等问题,影响治疗效果与美观,为解决此类并发症,“正畸闭合开窗术”应运...
国际正畸健康日是由世界正畸联盟(WorldFederationofOrthodontics,WFO)于2017年设立的全球性健康纪念日,定于每年5月14日,旨在提高公众对口腔正畸健康的认知水平,普及科学正畸知识,纠正误区,推动全社会...
异位牙是指牙齿在萌出过程中偏离了正常解剖位置,导致其出现在牙弓外、邻牙颊侧或舌侧、甚至颌骨内等异常区域,这类情况不仅影响口腔功能与美观,还可能引发邻牙牙根吸收、囊肿形成、牙周病变等问题,正畸治疗作为异位牙干预的重要手段,通过科学的设计与技术...
正畸治疗是通过施加持续、轻柔的生物力,引导牙齿在牙槽骨内缓慢移动,最终实现排列整齐、咬合协调、面部美观的目标,这一过程并非“戴上矫治器就等待结果”的静态过程,而是需要医生与患者密切配合的动态调控,复诊作为正畸治疗的核心环节,其重要性贯穿治疗...
侵权处理与合作:473708564#qq.com,#换成@就是邮箱
Powered By Z-BlogPHP · Theme By themeolnews
