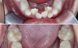
矫正牙齿后出现中线歪斜(即上下牙弓的中线与面部中线不一致)是一个相对常见但需要重视的问题,它不仅影响美观,也可能对咬合功能产生一定影响。

中线歪斜的原因
-
牙齿本身的问题:
- 牙齿缺失: 特别是后牙(如第一磨牙)的缺失,会导致对侧牙齿向缺隙处倾斜、移位,造成中线偏移。
- 牙齿过大或过小: 个别牙齿体积异常,可能影响整体排列和对称性。
- 严重拥挤或稀疏: 牙齿排列不齐,在矫正过程中或矫正后,如果没有精确控制,可能导致中线偏移。
- 乳牙滞留或早失: 替牙期的问题可能导致恒牙萌出位置异常,影响中线发育。
-
颌骨与骨骼问题:
- 颌骨发育不对称: 这是导致中线严重偏斜的根本原因之一,如偏颌(下颌偏向一侧),这种情况下,单纯移动牙齿很难完全纠正中线,可能需要配合正颌手术。
- 上颌骨宽度不足: 上牙弓过窄,导致下颌被迫偏向一侧。
-
不良口腔习惯:
- 长期偏侧咀嚼: 由于一侧牙齿有问题(如蛀牙、缺失、疼痛),导致长期只用另一侧咀嚼,使下颌长期偏向健侧,中线随之偏斜。
- 吮指、吐舌、咬唇等习惯: 长期的不良习惯对牙齿施加异常力量,可能导致牙齿移位和中线偏移。
-
正畸治疗相关因素:
- 诊断设计不精确: 矫正前未能准确评估骨骼、牙齿、面部中线的关系,或矫正计划中对中线的重视不够。
- 治疗过程中的控制不足:
- 拔牙方案选择不当或不对称拔牙: 如果需要拔牙,拔除的牙齿数量或位置不对称,可能导致中线偏移。
- 牙齿移动控制不精细: 在排齐、整平、关闭拔牙间隙等阶段,对牙齿移动的控制不够精确,未能有效维持或调整中线。
- 支抗控制不足: 支抗是指抵抗矫正力的能力,如果支抗丧失(如后牙前移过多),可能导致前牙中线偏移。
- 治疗时间不足: 中线调整需要时间,过早结束矫正可能导致中线未完全对齐。
- 患者配合度问题: 未能按要求佩戴橡皮筋、头帽等辅助装置,或保持器佩戴不当。
-
保持阶段问题:
- 保持器设计或佩戴不当: 保持器未能有效维持矫正后的位置。
- 复发倾向: 牙齿有回到原来位置的趋势,特别是对于骨骼问题或不良习惯未完全纠正的情况。
- 新的牙齿问题: 如矫正后出现新的蛀牙、牙周病导致牙齿松动移位等。
如何处理矫正后的中线歪斜
处理方法取决于中线歪斜的严重程度、原因以及患者自身的骨骼条件。
-
评估与诊断(关键第一步):
- 详细检查: 正畸医生会进行全面的口腔检查,包括牙齿排列、咬合关系、牙周健康状况。
- 影像学检查:
- 全景片(曲面断层片): 观察全口牙齿、牙槽骨、颌骨情况。
- 头颅侧位片: 进行头影测量分析,精确评估骨骼关系、牙齿位置、软组织轮廓,是诊断骨骼问题和制定精确矫正计划的核心工具。
- CBCT(锥形束CT): 对于复杂的骨骼问题或需要精确三维评估时使用。
- 模型分析: 取研究模型,在模型上测量牙弓宽度、长度、拥挤度、 Bolton指数(上下牙量比例)等,并在模型上进行中线调整的模拟设计。
- 面部美学评估: 医生会评估面部中线、对称性,以及微笑线等。
-
治疗方案选择:
- 轻微中线偏移(主要源于牙齿位置):
- 精细调整: 通常在原有矫治器上(或更换新的矫治器)进行精细的牙齿移动,可能需要使用:
- 细丝轻力: 使用更细的镍钛丝进行精细排齐。
- 辅簧或弹力圈: 在特定牙齿上施加轻柔、持续的力来移动牙齿。
- 种植支抗钉(微种植体): 这是目前非常有效的方法,在颌骨内植入微小的钛钉,作为稳固的支抗,可以精确、高效地移动牙齿(尤其是前牙)来调整中线,而不影响其他牙齿,这是处理中线问题的“利器”。
- 颌间牵引(橡皮筋): 根据需要,在上下牙之间使用不同方向的橡皮筋来调整咬合和位置。
- 延长矫正时间: 中线调整往往需要比预期更长的时间。
- 精细调整: 通常在原有矫治器上(或更换新的矫治器)进行精细的牙齿移动,可能需要使用:
- 中度中线偏移(可能涉及骨骼或较复杂的牙齿问题):
- 可能需要结合上述多种精细调整方法。
- 如果存在骨骼因素(如下颌偏斜),但程度较轻,可以通过牙齿代偿性移动来部分改善中线,但效果可能有限,且长期稳定性存疑。
- 可能需要拔除额外的牙齿(如对称性拔牙)来为中线调整创造空间。
- 严重中线偏移(主要由骨骼问题引起):
- 正畸-正颌联合治疗: 这是纠正严重骨骼性中线偏斜的金标准,需要正畸医生和口腔颌面外科医生合作。
- 术前正畸: 在手术前进行正畸治疗,将牙齿排列整齐,排齐上下牙弓,为手术创造条件。
- 正颌手术: 通过手术移动上下颌骨到正确的位置,从根本上纠正骨骼畸形和中线偏斜。
- 术后正畸: 手术后进行精细的咬合调整,使牙齿达到最稳定、最理想的位置。
- 这种方法效果显著且稳定,但治疗周期长(通常2-3年),费用较高,需要手术。
- 正畸-正颌联合治疗: 这是纠正严重骨骼性中线偏斜的金标准,需要正畸医生和口腔颌面外科医生合作。
- 轻微中线偏移(主要源于牙齿位置):
-
保持阶段:
- 无论采用哪种方法矫正中线,长期、正确佩戴保持器都至关重要,以防止复发。
- 医生可能会根据情况设计特殊的保持器(如带有弹力装置的保持器,或上下颌联动的保持器)。
- 患者必须严格遵守医嘱,尤其是夜间佩戴。
给你的建议
- 尽快复诊: 如果你发现矫正后(或矫正过程中)中线歪斜,务必尽快联系你的正畸医生,不要自行处理或等待。
- 详细沟通: 向医生清晰描述你的担忧和观察到的问题(比如拍照对比矫正前后和面部中线)。
- 配合检查: 医生会安排必要的检查(拍片、取模等),请务必配合。
- 理解方案: 和医生充分沟通,了解中线歪斜的原因、严重程度以及医生建议的解决方案(包括可能的额外时间、费用、是否需要种植钉或手术),提出你的疑问。
- 信任与配合: 一旦确定治疗方案,请信任医生并积极配合治疗,中线调整往往需要耐心和时间。
- 重视保持: 矫正结束后,严格佩戴保持器是防止中线复发和所有牙齿移位的关键。
矫正牙齿中线歪斜是一个复杂但通常可以解决的问题,关键在于精确的诊断和个性化的治疗方案,现代正畸技术(尤其是种植支抗钉)为牙齿性中线偏移提供了高效、微创的解决方案,对于严重的骨骼性问题,正颌手术是根本性的治疗手段。及时就医、充分沟通、积极配合是获得理想效果的关键,不要因为担心麻烦或费用而拖延,早期干预通常效果更好,难度更低。
