拜博口腔网

  • 种植牙种出位置偏了还能矫正吗怎么办?

    种植牙种出位置偏了还能矫正吗怎么办?

    种植牙位置偏差确实是个让人头疼的问题,但别担心,这种情况虽然不常见,但并非无法解决,处理方式主要取决于偏差的严重程度、发现的时间点、种植体的稳定性以及周围组织状况,以下是针对“种植牙种出位置”的详细分析和处理建议:📌一、首先明确“种出位置...

    2025-11-26
    3 0 0
  • 缺牙矫正种植后,牙齿会复位吗?位置会回到原位吗?

    缺牙矫正种植后,牙齿会复位吗?位置会回到原位吗?

    关于缺牙矫正后进行种植牙,种植体本身不会“复位”(即不会自己移动回原来的位置),但矫正的效果(包括牙齿的位置)有可能发生变化或“反弹”,这需要分情况讨论:🦷1.种植体本身不会移动骨结合原理:种植牙是通过外科手术将纯钛或钛合金制成的种植...

    2025-11-25
    13 0 0
  • 拔牙、箍牙、种植牙,这三种不同的牙科治疗有何区别?如何选择?

    拔牙、箍牙、种植牙,这三种不同的牙科治疗有何区别?如何选择?

    看到你对拔牙、箍牙和种植牙感兴趣,我能理解这些牙齿治疗可能会让人有些紧张或困惑,别担心,我来帮你理清这三个常见但重要的牙齿治疗项目,它们各自解决不同的问题,有时也会相互配合使用,我会尽量用简单易懂的方式解释清楚,让你明白它们的作用、过程和相...

    2025-11-24
    32 0 0
  • 咬合错位能直接做种植牙吗?需要先矫正吗?

    咬合错位能直接做种植牙吗?需要先矫正吗?

    “咬合错位”是否可以种植牙,答案是:可以,但前提是必须先进行充分的咬合评估和必要的治疗调整,不能直接在错位状态下进行种植,咬合错位本身不是种植牙的绝对禁忌症,但它是种植牙成功的重要前提条件,如果不先解决咬合问题,直接在错位状态下种植,种植...

    2025-11-24
    26 0 0
  • 牙列拥挤能直接种植牙吗?需先矫正拥挤再种吗?

    牙列拥挤能直接种植牙吗?需先矫正拥挤再种吗?

    “牙列拥挤种植牙”这个问题涉及到两个重要的口腔概念:牙列拥挤和种植牙,它们之间的关系需要仔细分析,因为单纯的牙列拥挤本身并不是种植牙的直接适应症,但在特定情况下,牙列拥挤会影响种植牙的计划和实施,以下是详细解释:理解两个概念牙列拥挤:指牙...

    2025-11-23
    17 0 0
  • 矫正牙齿复发怎么办?有哪些方法可以重新矫正恢复?

    矫正牙齿复发怎么办?有哪些方法可以重新矫正恢复?

    牙齿矫正后复发确实令人沮丧,但请别太担心,这是正畸领域一个常见且可以处理的问题,关键在于:立即联系你的正畸医生进行专业评估!不要自行处理或拖延,以下是应对牙齿矫正复发的详细步骤和建议:📍第一步:立即联系你的正畸医生预约复诊:这是最重要...

    2025-11-23
    27 0 0
  • 矫正牙齿复诊要花多少钱?费用大概是多少?

    矫正牙齿复诊要花多少钱?费用大概是多少?

    矫正牙齿复诊的费用差异很大,没有一个固定的全国统一价格,它受到多种因素的影响,从几十元到几百元人民币都有可能,以下是影响复诊费用的主要因素:📍1.诊所/医院的性质和定位公立医院口腔科/正畸科:通常按项目收费,复诊费用相对透明,可能包含...

    2025-11-22
    30 0 0
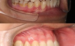
  • 虎牙矫正牙齿图片

    虎牙矫正牙齿图片

    虎牙矫正的典型变化(文字描述)矫正前(常见问题):虎牙外凸:尖牙位于牙弓外侧,影响面部美观,咬合紊乱:可能导致深覆合、深覆盖或中线偏移,拥挤不齐:因空间不足,虎牙被挤出牙列,矫正中(关键步骤):排齐阶段:通过托槽和弓丝将虎牙逐步拉回牙弓内,...

    2025-11-22
    19 0 0
  • 50岁能矫正牙齿吗?

    50岁能矫正牙齿吗?

    完全可以!50岁绝对不是矫正牙齿的禁忌年龄,现在成年人矫正牙齿的比例越来越高,50岁左右的患者非常常见,和青少年相比,成年人矫正牙齿有其特殊性和需要特别注意的方面:✅为什么50岁可以矫正?骨改建能力依然存在:虽然成年人的骨骼新陈代谢速...

    2025-11-22
    26 0 0
  • 28可以矫正牙齿

    28可以矫正牙齿

    看到“28可以矫正牙齿”这个问题,我理解你可能是在问两种情况:28岁可以矫正牙齿吗?有28颗牙齿的人可以矫正牙齿吗?这两种情况都是可以矫正牙齿的!下面我分别详细解释一下:🧑情况一:28岁可以矫正牙齿吗?答案是:绝对可以!而且非常常见!年龄...

    2025-11-22
    34 0 0