拜博口腔网

  • 2025最新,医院烤瓷牙vs种植牙价格差多少?

    2025最新,医院烤瓷牙vs种植牙价格差多少?

    看到你在了解烤瓷牙和种植牙的价格,这确实是个需要仔细考虑的问题,作为牙科修复的两种主要方式,它们的价格差异很大,受多种因素影响,我来帮你详细分析一下,希望能帮你做出更明智的决定,🦷一、烤瓷牙(牙冠/固定桥)价格范围烤瓷牙是一种常见的牙齿修...

    2025-11-07
    0 0 0
  • 2025番禺种植牙哪里做得好?最新口碑医院推荐

    2025番禺种植牙哪里做得好?最新口碑医院推荐

    看到你在番禺寻找种植牙的好地方,我能理解这种选择的重要性!种植牙确实是一项需要谨慎考虑的大事,毕竟关系到你的长期口腔健康和生活质量,在番禺,确实有很多不错的选择,但“最好”这个概念其实很主观,因为不同的人有不同的需求和关注点,与其简单推荐某...

    2025-11-07
    1 0 0
  • 2025上海种植牙哪家医院好?价格最新多少?

    2025上海种植牙哪家医院好?价格最新多少?

    看到你在了解上海口腔医院的种植牙服务,这确实是个需要仔细考虑的决定!种植牙作为一项重要的口腔修复项目,选择合适的医院和医生至关重要,上海作为医疗资源丰富的城市,确实有很多不错的选择,我来为你梳理一下上海主要的口腔种植牙医院类型和各自特点,希...

    2025-11-07
    1 0 0
  • 2025沈阳种植牙一颗最新价格多少?

    2025沈阳种植牙一颗最新价格多少?

    沈阳种植牙一颗的价格差异非常大,没有一个固定的数字,价格主要受以下因素影响:🦷1.种植体品牌和类型(核心成本)进口品牌(主流):欧美系(高端):如瑞士的Straumann(士卓曼)、瑞典的NobelBiocare(诺贝尔)、美国的Z...

    2025-11-07
    2 0 0
  • 2025维尔口腔种植牙怎样选性价比高?

    2025维尔口腔种植牙怎样选性价比高?

    看到你在考虑维尔口腔的种植牙服务,我能理解这种需要做重要决定时的谨慎心情,种植牙确实是一项不小的投资,既关乎健康又关乎钱包,选择时确实需要多方面考量,我来帮你梳理一下关于维尔口腔种植牙的关键信息,希望能帮你做出更明智的决定,📍维尔口腔种植...

    2025-11-07
    1 0 0
  • 种植牙集采后价格真降了吗?

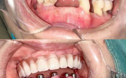
    种植牙集采后价格真降了吗?

    什么是种植牙?种植牙是一种外科手术,通过在牙槽骨内植入一个人工牙根(种植体),待其与牙槽骨牢固结合(骨结合)后,再在其上方安装基台和牙冠,最终恢复缺失牙的形态、功能和美观,核心组成部分种植体:通常由纯钛或钛合金制成,具有优良的生物相容性,...

    2025-11-07
    2 0 0
  • 岳阳2025种植牙最新价格表多少钱一颗?

    岳阳2025种植牙最新价格表多少钱一颗?

    岳阳种植牙的价格受多种因素影响,单颗种植牙的总费用通常在3,000元至15,000元人民币之间,甚至更高(尤其是高端品牌或复杂情况),以下是影响价格的关键因素和更详细的说明:📍一、影响岳阳种植牙价格的主要因素种植体品牌和类型:高端...

    2025-11-07
    3 0 0
  • 支抗钉真能代替种植牙?最新效果靠谱吗?

    支抗钉真能代替种植牙?最新效果靠谱吗?

    支抗钉(微型种植体)绝对不能代替种植牙来修复缺失的牙齿,它们是两种功能、设计目的、应用场景和生物学要求完全不同的牙科器械,以下是详细的解释:🧩1.根本目的不同支抗钉:目的:提供正畸治疗中的支抗,它是一个临时性、可移动的骨内锚固点,功能...

    2025-11-07
    3 0 0
  • 2025天坛口腔医院种植牙靠谱吗?

    2025天坛口腔医院种植牙靠谱吗?

    看到你在寻找天坛附近技术好的口腔医院做种植牙,我能理解你的需求,种植牙确实是一项需要技术和经验的重要治疗,选择一家靠谱的医院对最终效果至关重要,北京作为医疗资源丰富的城市,天坛附近确实有几家在种植牙领域表现突出的机构,我来为你详细分析一下:...

    2025-11-07
    2 0 0
  • 2025深圳种植牙哪家医院靠谱?最新口碑推荐!

    2025深圳种植牙哪家医院靠谱?最新口碑推荐!

    在深圳选择种植牙医院确实需要仔细考量,因为选择直接影响手术效果、费用和后续维护,深圳作为一线城市,口腔医疗资源丰富,但水平参差不齐,以下是我为你整理的几个关键方向和建议,希望能帮你做出明智决定:🏥一、主流选择类型及代表机构🏥1.公立三...

    2025-11-07
    2 0 0