拜博口腔网

  • 济南种植牙费用大概是多少?一颗牙种植要花多少钱?

    济南种植牙费用大概是多少?一颗牙种植要花多少钱?

    济南种植牙的费用是一个高度个性化的问题,没有统一的标准答案,价格受多种因素影响,波动范围较大,以下是对济南种植牙费用的详细分析和估算:📍主要影响价格的因素种植体品牌和类型:国产种植体:价格相对较低,通常在2000-5000元/颗...

    2025-11-26
    3 0 0
  • 北京种植牙什么医院好呢?如何挑选靠谱的?看资质、口碑还是技术?

    北京种植牙什么医院好呢?如何挑选靠谱的?看资质、口碑还是技术?

    选择北京种植牙医院确实是个需要仔细考虑的问题,因为"好"的定义因人而异,取决于你的具体需求、预算、地理位置以及对服务、技术、医生经验等方面的侧重,没有绝对"最好"的医院,但有"最适合"你的选择,以下是一些在北京口碑较好、技术实力强的种植牙医...

    2025-11-26
    2 0 0
  • 江阴口腔病防治所种植牙

    江阴口腔病防治所种植牙

    核心信息概览机构性质:公立口腔医疗机构,这是江阴市卫健委批准设立的、承担口腔疾病防治和基本医疗服务的公立单位,定位:主要侧重于基础口腔医疗、预防保健、常见病多发病治疗,种植牙属于其开展的口腔修复领域的高端项目之一,资质与可靠性:正规资质...

    2025-11-26
    2 0 0
  • 郑州种植牙哪家医院好?附正规资质与口碑推荐

    郑州种植牙哪家医院好?附正规资质与口碑推荐

    选择郑州哪家医院进行种植牙,需要综合考虑多个因素,包括医院资质、医生技术、设备水平、价格、服务、口碑以及你的具体需求和预算,郑州提供种植牙服务的医院主要有以下几类:🏥一、公立三甲医院(技术权威,综合实力强,但可能排队久、费用相对较高)郑州...

    2025-11-26
    2 0 0
  • 郑州种植牙和镶牙的价格分别是多少,大概费用多少?

    郑州种植牙和镶牙的价格分别是多少,大概费用多少?

    在郑州,种植牙和镶牙(主要指活动假牙和固定桥)的价格差异较大,主要取决于选择的修复方式、材料品牌、技术难度以及就诊机构等,以下是一个大致的价格范围和影响因素分析,供你参考:🦷一、种植牙价格范围(单颗)种植牙的费用通常由三部分组成:种植体(...

    2025-11-26
    3 0 0
  • 郑州种植牙多钱

    郑州种植牙多钱

    郑州种植牙的价格差异很大,没有一个固定的“一口价”,受多种因素影响,单颗种植牙的总费用(包含种植体、基台、牙冠)大致在5000元到30000元人民币之间,甚至更高,以下是影响郑州种植牙价格的主要因素,了解这些能帮助你更好地预估费用:🦷1....

    2025-11-26
    4 0 0
  • 济南种植牙价格是多少钱?一颗种植牙费用多少?

    济南种植牙价格是多少钱?一颗种植牙费用多少?

    济南种植牙的价格确实是一个大家非常关心的问题,但需要明确的是,没有一个固定的、统一的价格,它受到多种因素的综合影响,价格范围跨度较大,以下是对济南种植牙价格的详细分析和说明:📊一、影响济南种植牙价格的主要因素种植体品牌和类型:高端进口品牌...

    2025-11-26
    2 0 0
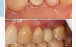
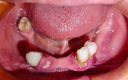
  • 牙周炎患者能做满口种植牙吗?需先控制炎症吗?

    牙周炎患者能做满口种植牙吗?需先控制炎症吗?

    看到你提到“牙周炎满口种植牙”,我能理解你此刻的困扰和期望,满口牙齿因牙周炎问题严重,现在希望通过种植牙恢复咀嚼功能和美观,这种心情完全可以理解,但作为经历过口腔问题的人,我必须坦诚地告诉你:对于牙周炎患者,尤其是满口牙齿都受影响的情况,进...

    2025-11-26
    2 0 0
  • 北京种植牙品牌怎么选?靠谱品牌有哪些?

    北京种植牙品牌怎么选?靠谱品牌有哪些?

    看到你在了解北京的种植牙品牌,这确实是个需要认真考虑的问题!种植牙是一项重要的口腔修复投资,选择合适的品牌确实能影响效果和耐用性,我来帮你梳理一下北京常见的种植牙品牌,以及如何选择最适合你的方案,🦷一、北京常见的种植牙品牌分类种植牙品牌主...

    2025-11-26
    3 0 0
  • 牙防所做种植牙效果怎么样?价格贵不贵?技术靠谱吗?值得信赖吗?

    牙防所做种植牙效果怎么样?价格贵不贵?技术靠谱吗?值得信赖吗?

    “牙防所”通常指的是牙病防治所,在中国很多城市都设有这样的机构,它们是公立性质的口腔医疗机构,主要承担口腔疾病预防、基础治疗和公共卫生服务的职能,关于牙防所做种植牙,你需要了解以下几点:牙防所是否可以做种植牙?可以,但并非所有牙防所都常规开...

    2025-11-26
    3 0 0