儿童牙齿畸形矫正是很多家长关注的话题,它不仅关系到孩子的口腔健康,还可能影响咀嚼功能、面部发育甚至心理健康,牙齿畸形的表现形式多样,从简单的牙列拥挤到复杂的颌骨发育异常,都需要及时发现和干预,下面将从畸形类型、成因、矫正时机、方法及注意事项等方面展开详细说明。
儿童牙齿畸形常见类型及潜在影响
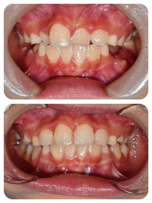
牙齿畸形并非单一问题,不同类型的畸形对孩子的影响也各有侧重,通过表格可以更清晰地了解其主要表现和危害:

| 畸形类型 | 临床表现 | 潜在影响 |
|---|---|---|
| 牙列拥挤 | 牙齿排列不齐,互相重叠 | 难以清洁,易龋齿;咬合紊乱,咀嚼效率低 |
| 龅牙(上颌前突) | 上门牙突出,嘴唇难以自然闭合 | 影响美观;易咬伤上唇;可能伴随凸面型 |
| 地包天(反颌) | 下前牙覆盖上前牙,下巴前突 | 咀嚼功能受限;面部比例失调;颞下颌关节负担加重 |
| 开颌 | 上下牙齿无法咬合,前牙区出现缝隙 | 发音不清;咬合无力;可能因异常吐舌习惯导致 |
| 深覆颌 | 上前牙覆盖下前牙过多,甚至咬到下牙龈 | 牙齿磨损;牙龈创伤;颞下颌关节紊乱风险增加 |
牙齿畸形的成因:先天与后天因素交织
儿童牙齿畸形的形成并非偶然,而是先天遗传与后天习惯共同作用的结果。
先天因素中,遗传是主要原因之一,如果父母存在牙齿拥挤、龅牙等问题,孩子出现畸形的概率会显著增加,胚胎期发育异常也可能导致牙齿问题,比如母亲在孕期营养不良、感染病毒或接触有害物质,可能影响胎儿颌骨和牙齿的发育。
后天因素则更为多样,且多数可通过家长干预避免,不良口腔习惯是“头号杀手”:长期吮指、咬嘴唇、吐舌、口呼吸等,会持续对牙齿和颌骨施加异常力量,导致牙齿移位、颌骨发育异常,吮指可能使上前牙前突、开唇露齿;口呼吸则会因舌位降低导致牙弓狭窄、腭盖高拱,乳牙早失(如蛀牙脱落)或滞留(乳牙未脱落恒牙已长出)会破坏“占位空间”,导致恒牙错位萌出;喂养方式不当(如长期使用奶瓶、平躺喝奶)也可能影响颌骨发育;替牙期多生牙、先天缺失牙等问题,则直接打破了牙齿排列的平衡。
把握矫正黄金期:不同阶段的干预重点
儿童牙齿矫正并非“越早越好”,而是要根据生长发育阶段选择合适时机,才能达到事半功倍的效果。

- 乳牙期(3-5岁):此阶段主要针对功能性畸形和不良习惯,发现“地包天”、下颌后缩(小下巴)或严重口腔习惯(如吮指、口呼吸),应及时干预,通过活动矫治器或功能训练,可引导颌骨正常发育,纠正不良习惯,避免问题恶化。
- 替牙期(6-12岁):这是“颌骨发育的黄金期”,也是矫正的关键阶段,此时孩子乳牙逐渐脱落,恒牙萌出,颌骨仍处于生长活跃期,对于牙列拥挤、龅牙、面部不对称等问题,可通过功能矫治器(如FRⅢ、twin-block)引导颌骨发育,为恒牙排列创造空间,甚至避免成年后正颌手术。
- 恒牙早期(12-15岁):此时大部分恒牙已萌出,颌骨发育接近完成,是全面调整咬合关系的最佳时机,通过固定矫治器(如传统金属托槽、陶瓷托槽)或隐形矫治器,可精细排齐牙齿,调整咬合功能,改善面部美观。
儿童牙齿矫正的常见方法
随着技术发展,儿童牙齿矫正已从传统的“钢牙”发展为多种方式,可根据孩子年龄、畸形类型和配合度选择:
- 活动矫治器:适用于乳牙期和替牙期早期,由树脂和钢丝制成,可摘戴,用于纠正简单畸形(如个别牙齿错位、不良习惯),优点是舒适、方便清洁,但矫正力度有限,需孩子配合佩戴。
- 固定矫治器:即常见的“钢牙套”,由托槽、弓丝和结扎丝组成,粘在牙齿上无法摘除,适用于替牙期中后期及恒牙早期,能精准控制牙齿移动,解决复杂错颌问题,优点是矫正力度强、效率高,但需注意口腔卫生,避免食物残留。
- 功能矫治器:专门用于替牙期,通过调整颌骨位置和肌肉功能,引导颌骨正常生长,如治疗“地包天”的FRⅢ矫治器、改善下颌后缩的twin-block,需每天佩戴12-14小时,配合颌骨训练。
- 隐形矫治器:由透明高分子材料制成,可摘戴,外观几乎不可见,适合替牙期后期及恒牙早期的合作儿童,通过一系列牙套逐步移动牙齿,优点是美观、舒适,可自行摘戴刷牙,但价格较高,需严格佩戴(每天20小时以上)。
矫正期间的注意事项
牙齿矫正是一场“持久战”,家长和孩子需共同配合才能保证效果。口腔卫生是重中之重:佩戴固定矫治器时,牙齿和托槽易残留食物,需使用正畸牙刷、牙缝刷、冲牙器彻底清洁,避免龋齿和牙龈炎。饮食需调整:避免过硬(如坚果、骨头)、过黏(如口香糖、软糖)食物,防止托槽脱落;用前牙啃咬时需小心,以免损坏矫治器。定期复诊:一般4-6周复诊一次,医生会检查牙齿移动情况,调整加力力度,若托槽脱落需及时粘接。关注心理变化:部分孩子可能因戴牙套感到自卑,家长应多鼓励,帮助孩子树立信心,说明矫正对长期健康的重要性。
家长如何配合矫正?
家长在儿童矫正中扮演着“监督者”和“支持者”的角色,日常需监督孩子认真刷牙,检查口腔是否有食物残留;提醒孩子避免咬硬物、玩弄矫治器;帮助孩子记录复诊时间,提前做好准备;若发现孩子牙齿疼痛、托槽脱落或口腔溃疡,及时联系医生处理,家长还需以身作则,引导孩子养成良好的口腔习惯,如用鼻子呼吸、不吐舌、不咬唇,从根本上预防畸形复发。
相关问答FAQs
Q1:儿童矫正期间牙齿松动正常吗?会不会影响换牙?
A:牙齿松动是矫正过程中的正常现象,矫治器通过施加轻微力量,使牙齿在牙槽骨中移动,因此会出现暂时性松动,这种松动是可控的,当牙齿移动到目标位置后,松动会逐渐消失,牙槽骨也会重建,恢复稳定性,对于替牙期儿童,若矫正时乳牙尚未脱落,医生会提前评估乳牙牙根吸收情况,避免影响恒牙萌出;若恒牙已萌出,矫正不会损伤恒牙牙根,反而能为恒牙排列创造空间,确保正常替换。

Q2:矫正后牙齿会复发吗?如何保持效果?
A:牙齿畸形存在复发的可能性,尤其是颌骨发育异常(如龅牙、地包天)或不良习惯未纠正者,为预防复发,矫正结束后需佩戴“保持器”:前1-2年除吃饭、刷牙外全天佩戴,之后逐渐减少至仅夜间佩戴,需彻底纠正吮指、口呼吸等习惯,定期复查(每3-6个月一次),以便医生及时发现并处理复发倾向,保持器的佩戴时间因人而异,一般建议持续2-3年,甚至更长时间,以稳定矫正效果。
