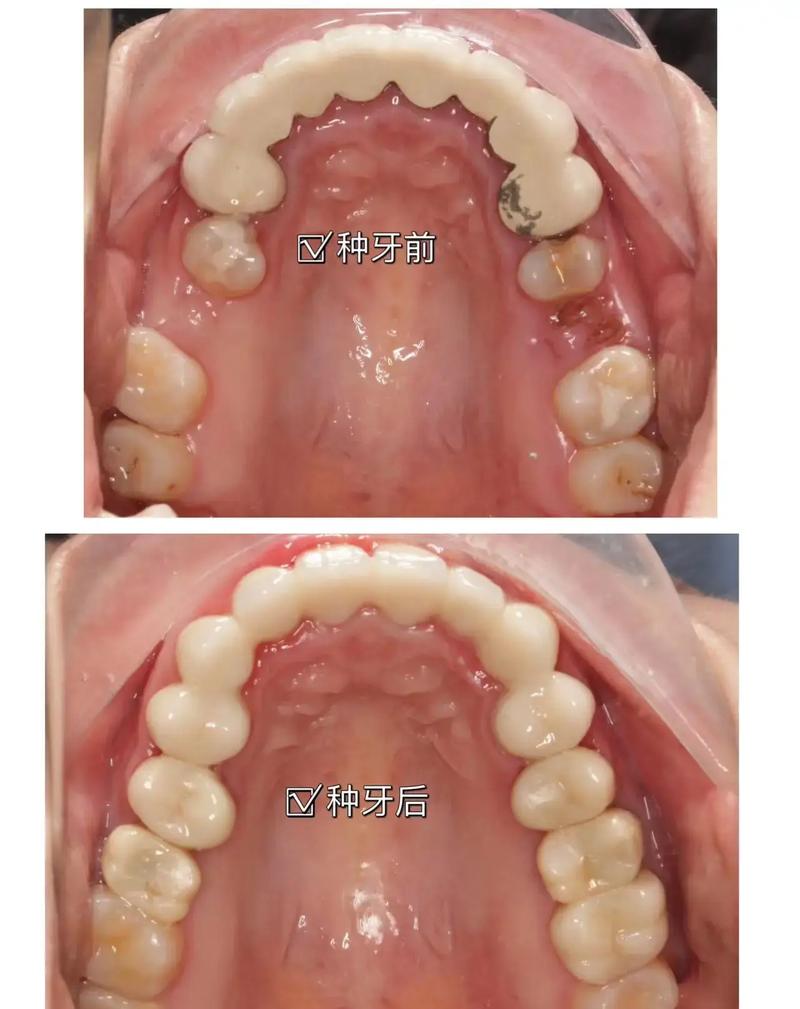
种植牙前后的牙龈沟变化是一个涉及生物学、解剖学和临床技术的复杂过程,其变化对种植体的长期成功至关重要,以下是种植牙前后牙龈沟变化的主要阶段和关键点:
种植牙前的牙龈沟状态
-
目标状态(理想情况):
(图片来源网络,侵删)- 深度: 健康天然牙的牙龈沟深度通常在 1-3毫米 之间。
- 形态: 牙龈组织紧密附着在牙根表面,形成“袖口”状结构,封闭龈沟底。
- 健康: 探诊不出血或轻微出血,无溢脓,无附着丧失。
- 骨量: 牙槽骨高度和宽度充足,能容纳种植体并支持周围软组织。
-
常见问题(术前可能存在):
- 牙龈炎/牙周炎: 牙龈沟深度可能增加(>3mm),探诊出血,可能有溢脓,附着丧失,牙槽骨吸收。这是种植手术的绝对禁忌或需要先期治疗。
- 牙龈退缩: 牙龈边缘向根方退缩,导致牙龈沟变浅甚至消失,牙根面暴露。
- 牙龈增生: 牙龈组织异常肥厚,覆盖部分牙面,可能影响手术视野或修复。
- 牙槽骨缺损: 牙槽骨高度或宽度不足,可能需要植骨手术。
- 软组织不足: 牙龈量过少,难以形成理想的袖口形态。
种植牙过程中的变化(手术期)
-
手术创伤:
- 初期炎症反应: 种植体植入手术本身是一种创伤,会导致局部组织(牙龈、骨)出现急性炎症反应,表现为肿胀、充血、疼痛。
- 牙龈沟暂时性加深/变形: 切开、翻瓣、缝合等操作会暂时性地改变牙龈组织的原始位置和形态,牙龈沟深度和形态在术后早期会发生变化(可能加深、变浅或形态不规则)。
-
愈合与骨结合期(通常3-6个月):
- 软组织愈合: 切口愈合,牙龈组织逐渐覆盖种植体顶部(如果采用埋入式愈合),牙龈沟开始尝试在种植体周围形成新的附着。
- 骨结合: 种植体表面与周围牙槽骨发生直接的骨性结合,这是种植体成功的基础。
- 牙龈沟形态重建: 在此期间,牙龈组织会努力适应种植体这个“异物”,试图在种植体表面形成类似天然牙的袖口结构,这个过程是动态的,最终形态取决于多种因素(见下文影响因素)。
种植牙修复完成后的牙龈沟状态(长期目标)
-
理想状态(成功种植体的标志):
(图片来源网络,侵删)- 深度: 形成一个稳定、健康的牙龈沟深度,通常在 2-3毫米 之间(类似健康天然牙)。
- 形态: 形成圆钝、健康的牙龈袖口,紧密包裹在种植体基台周围,封闭龈沟底,这是防止细菌入侵种植体-骨界面的关键屏障。
- 健康: 探诊不出血或轻微出血(与天然牙标准一致),无溢脓,无附着丧失(种植体周围附着丧失是种植体周围炎的早期指标)。
- 颜色与质地: 龈缘颜色粉红、质地坚韧、有弹性。
- 美观: 与邻牙牙龈协调,高度、弧度自然。
-
常见变化(可能出现的非理想状态):
- 牙龈退缩: 牙龈边缘向根方退缩,导致牙龈沟变浅甚至消失,种植体基台或甚至部分金属暴露,影响美观和功能,增加食物嵌塞和菌斑堆积风险,原因包括:手术创伤过大、软组织处理不当、基台位置不佳、咬合力过大、口腔卫生差、吸烟等。
- 牙龈增生: 牙龈组织过度生长,覆盖部分基台甚至牙冠,可能影响咬合、美观,并成为菌斑堆积的温床,原因包括:基台与牙冠连接处设计不当、口腔卫生差、药物影响(如某些降压药)。
- 牙龈沟加深/袋形成: 超过3mm的深度,提示可能存在种植体周围炎的早期迹象(软组织炎症)或进展期(伴骨吸收),探诊出血是重要信号。
- 龈沟溢脓: 明确提示存在感染(种植体周围炎)。
- 附着丧失: 探诊深度增加且附着水平降低,是种植体周围炎的核心诊断指标。
- 牙龈颜色改变: 发红、苍白或色素沉着,可能提示炎症或血供问题。
影响牙龈沟变化的关键因素
-
手术技术与软组织处理:
- 微创操作: 减少创伤有助于软组织更好地愈合和塑形。
- 精准的瓣设计: 保证良好的视野和血供。
- 精细的缝合技术: 无张力关闭伤口,促进理想龈袖口形成。
- 引导性骨再生/软组织增量: 在骨量或软组织不足时应用,为理想龈沟形态创造基础。
- 即刻种植/即刻负重: 对软组织处理要求极高,影响最终龈沟形态。
-
种植体和基台设计:
- 基台外形: 锥形、光滑的基台边缘有助于形成更健康的袖口,平台转移设计(基台直径小于种植体平台)有助于减少骨吸收,改善软组织封闭。
- 表面处理: 种植体和基台的表面处理影响细胞附着和软组织整合。
-
修复体设计:
(图片来源网络,侵删)- 牙冠外形: 仿生化的牙冠外形(邻接点、舌侧形态)有利于自洁和健康牙龈的维持。
- 咬合关系: 咬合创伤会导致牙龈退缩和骨吸收。
-
患者因素:
- 口腔卫生维护: 这是决定种植体长期成功和牙龈健康的最关键因素! 必须掌握有效的菌斑控制方法(专用牙刷、牙线、冲牙器、专业洁治)。
- 吸烟: 显著增加种植失败、牙龈退缩和种植体周围炎的风险。
- 全身健康状况: 如糖尿病控制不佳、骨质疏松、免疫缺陷等可能影响愈合和长期稳定。
- 菌斑生物膜: 细菌是种植体周围炎的始动因子。
-
术后维护与复查:
- 定期复查: 术后1周、1个月、3个月、6个月、1年,之后每年至少1次专业检查(包括探诊深度、附着水平、出血指数、影像学检查)。
- 专业维护: 定期进行种植体专业的洁治和刮治(使用特殊器械),清除龈下菌斑和结石。
- 患者宣教: 强调日常口腔卫生的重要性和方法。
种植牙前后的牙龈沟变化是一个从可能存在的病理状态(炎症、退缩、缺损),经历手术创伤和愈合重建,最终目标是达到一个稳定、健康、有良好封闭功能的袖口结构(深度2-3mm,探诊不出血,无附着丧失) 的过程。种植体周围健康的牙龈沟是防止种植体周围炎、确保种植体长期成功的天然屏障。
理解并重视这些变化,严格遵循医嘱进行术前准备、精湛的手术操作、精心的修复设计,以及至关重要的术后维护(尤其是患者日常口腔卫生和专业定期复查),是获得理想牙龈沟形态和种植体长期成功的核心保障。 如果发现牙龈退缩、出血、溢脓等异常,应立即就医。
