理解你想通过图片直观了解微创种植牙的过程和效果,这确实是个好主意!直接提供一个“图片大全”链接或大量图片存在几个问题:
- 版权与隐私: 大多数专业的医疗图片(尤其是包含患者面部或口腔特写的)都受到版权保护,并且涉及患者隐私,不能随意公开传播。
- 个体差异巨大: 种植牙的效果(美观度、功能)高度依赖患者的骨骼条件、牙龈状况、医生技术、牙冠材料等,别人的图片对你来说可能完全不具备参考价值,甚至引起不必要的焦虑或误解。
- 缺乏专业解读: 图片脱离了专业医生的解读,很容易被误解,一张看起来“完美”的图片背后可能经历了复杂的骨增量手术;一张“不完美”的图片可能只是恢复期的正常现象。
- 平台限制: 我无法直接提供外部链接或大量图片库访问权限。
我无法直接给你一个“图片大全”,我可以为你提供非常详细的文字描述、步骤解释,并指导你如何安全、有效地找到专业、有参考价值的微创种植牙图片和案例**。

🦷 一、微创种植牙的核心概念与优势(文字描述)
-
什么是微创种植牙?
- 传统种植牙手术往往需要切开牙龈、翻瓣(翻开牙龈组织),充分暴露牙槽骨,然后进行备洞(钻孔)和植入植体,这创伤相对较大,术后肿胀、疼痛、恢复期较长。
- 微创种植牙则利用数字化技术(如CBCT扫描、3D打印导板)进行精准规划和导航,医生在术前就能精确设计种植体的植入位置、角度、深度。
- 手术中,医生在不翻瓣或仅做微小切口(约3-4mm)的情况下,通过数字化导板引导,精准地将种植体植入预定位置,这大大减少了对软硬组织的损伤。
-
微创种植牙的主要优势:
- 创伤小: 切口微小,不翻瓣或微创翻瓣,出血少。
- 疼痛轻: 手术操作精准,损伤小,术后疼痛感显著减轻。
- 肿胀轻: 组织创伤小,术后肿胀程度和持续时间明显低于传统手术。
- 恢复快: 由于创伤小,术后恢复期大大缩短,通常能更快地恢复正常生活。
- 精准度高: 数字化导板确保种植体植入位置、角度、深度高度理想,为后续修复奠定良好基础。
- 手术时间可能缩短: 精准定位减少了术中调整的时间(尤其对于复杂病例)。
- 更舒适: 整个体验感更好。
📸 二、如何安全有效地找到专业、有参考价值的微创种植牙图片和案例
与其盲目搜索“图片大全”,不如有策略地寻找专业、权威、有详细说明的资源:
-
大型、知名牙科医院的官方网站或公众号:
(图片来源网络,侵删)- 搜索关键词:
[医院名称] 种植科 微创种植 案例或[医院名称] 种植牙 图片 - 特点: 这些医院通常会有专门的“案例展示”或“科普”板块,图片会经过筛选,有基本的患者情况(如缺牙位置、骨条件)、手术方案(是否使用导板)、术前术后对比(口内照、X光片)、医生点评等。这是最可靠、最安全的来源之一。
- 举例: 北京大学口腔医院、上海第九人民医院、华西口腔医院、广州光华口腔医院等官网或官方公众号。
- 搜索关键词:
-
权威牙科专业学会/协会的网站:
- 搜索关键词:
中华口腔医学会 种植专委会 案例或国际口腔种植学会 ITI 案例 - 特点: 这些学会会发布一些高质量的学术案例或科普文章,包含图片和详细说明,更具专业性和权威性。
- 搜索关键词:
-
知名、正规的私立连锁齿科品牌:
- 搜索关键词:
[齿科品牌名称] 微创种植 案例或[齿科品牌名称] 种植牙 图片(如:瑞尔齿科、马泷齿科、德伦口腔等 - 注意选择全国性、口碑好的品牌) - 特点: 这些机构非常重视品牌形象和患者教育,其官网和宣传资料通常会有精心挑选的案例图片和视频,并配有详细文字说明。关键是要选择正规、口碑好的连锁机构。
- 搜索关键词:
-
专业牙科医学数据库/期刊(需一定医学背景):
- 平台: PubMed, Medline, CNKI (中国知网) 等。
- 搜索关键词:
Minimally invasive dental implantation,Flapless implant surgery,Guided implant surgery,Case report。 - 特点: 可以找到发表在专业期刊上的详细病例报告,包含高清的术前、术中、术后影像(口内照、CBCT、全景片)和医生详细的技术描述,但需要一定的专业知识才能理解。
-
谨慎使用搜索引擎(如百度图片、谷歌图片):
(图片来源网络,侵删)- 搜索关键词:
微创种植牙 术前术后对比,数字化导板种植牙 案例,All-on-4 微创种植(如果你对特定技术感兴趣)。 - 注意事项:
- 警惕广告: 排除明显的商业广告软文。
- 注意来源: 点击图片,查看其原始来源网站,优先选择上面提到的医院官网、专业学会、正规齿科品牌的网站。
- 关注描述: 寻找那些有详细文字说明的图片,了解患者情况、手术方式、使用的设备(如导板)、术后效果评价等,没有说明的图片参考价值有限。
- 个体差异: 反复提醒自己,别人的成功案例不代表你一定能达到同样的效果,你的口腔条件是独一无二的。
- 警惕过度美化: 有些图片可能经过过度美化处理,或选择展示特别理想的情况。
- 搜索关键词:
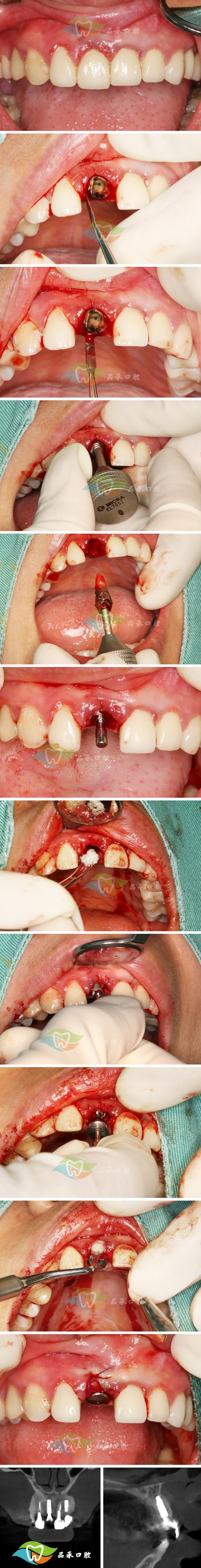
🦷 三、微创种植牙的主要步骤(文字描述,帮助理解图片)
当你看到图片时,可以对照以下步骤理解:
-
术前检查与设计:
- 图片可能显示: 患者的口内照(缺牙状态)、CBCT三维影像(评估骨量、神经血管位置)、3D打印的数字化导板(透明或蓝色,戴在模型或口内)。
- 微创体现: CBCT和导板是微创的核心,实现精准规划。
-
手术植入种植体:
- 传统翻瓣图片: 会显示牙龈被翻开,暴露骨面,医生用钻头备洞。
- 微创图片:
- 可能只显示一个微小的牙龈切口(像个小点)。
- 医生可能戴着数字化导板进行操作。
- 可能使用特殊器械(如超声骨刀)进行更精准、创伤更小的备骨。
- 术中X光片(根尖片或CBCT)显示种植体已精准植入预定位置。
- 微创体现: 切口小、不翻瓣、导板引导精准。
-
愈合期(骨结合):
- 图片可能显示: 术后即刻的口内照(微小伤口、缝线)、术后几天或几周的恢复情况(牙龈愈合良好,无明显肿胀),X光片显示种植体在骨中。
- 微创体现: 术后反应轻,恢复快。
-
二期手术(安装愈合基台/取模):
- 图片可能显示: 微小切口后,暴露种植体顶部,安装一个低位的愈合基台(引导牙龈成型),或者安装取模基台进行印模。
- 微创体现: 同样是微小切口。
-
牙冠修复:
- 图片可能显示: 最终完成的牙冠(牙冠本身)、戴入牙冠后的口内照(美观、逼真)、X光片显示牙冠与种植体连接良好、周围骨组织健康。
- 微创体现: 整个过程创伤小,最终效果是微创的目标之一(功能与美观)。
⚠ 四、重要提醒
- 图片仅供参考: 网络图片不能替代专业医生的诊断和治疗方案,每个人的口腔条件、需求、期望值都不同。
- 务必面诊: 只有通过专业的口腔检查(包括口腔检查、拍片、取模等),医生才能评估你是否适合微创种植牙,以及采用哪种具体的微创技术(是否需要导板?是否需要植骨?)。
- 选择正规机构和医生: 微创种植牙对医生的技术和经验要求很高,务必选择有资质、经验丰富的种植专科医生和正规医疗机构。
- 理解“微创”的相对性: 微创是相对于传统翻瓣手术而言,它仍然是外科手术,存在一定风险和术后反应(即使轻微),不要期望完全无痛、无肿胀、即刻完美。
- 术后护理至关重要: 无论手术多微创,良好的术后护理(遵医嘱用药、保持口腔卫生、定期复诊)是种植牙长期成功的关键。
与其寻找一个无法保证质量和安全的“图片大全”,不如主动去大型正规医院官网、权威学会网站或知名连锁齿科品牌的案例展示区,寻找那些有详细文字说明、来源可靠的微创种植牙案例图片,结合我上面提供的详细文字描述,你就能更清晰地理解微创种植牙的过程、优势和效果。最终的决定必须基于你自己的专业面诊结果! 希望这些信息能帮助你更好地了解微创种植牙,做出明智的选择,祝你拥有一口健康的好牙!💪🏻
