核心概念
-
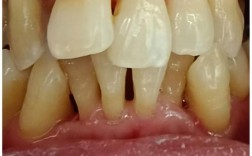
桩冠假牙:
- 本质: 是一种固定义齿(假牙),属于牙冠修复的一种特殊形式。
- 原理: 利用经过根管治疗(杀神经)后剩余的健康牙根作为基础,牙医会在牙根内打入一个金属或纤维桩(桩),增强其强度和固位力,然后在桩和牙根外面制作一个牙冠(假牙),恢复牙齿的形态、功能和美观。
- 关键点: 必须依赖自身残留的牙根,没有健康的牙根,就无法做桩冠。
-
种牙(种植牙):
(图片来源网络,侵删)- 本质: 是一种独立的修复体,模拟天然牙的结构(牙根+牙冠)。
- 原理: 通过外科手术,将一个人工牙根(种植体) 植入到缺牙位置的牙槽骨内,经过几个月的愈合期(骨结合),种植体与牙槽骨牢固地长在一起,然后在种植体上安装基台,最后再安装牙冠。
- 关键点: 不依赖任何天然牙根,而是通过手术在颌骨内植入人工牙根,获得支持和固位力。
主要区别对比表
| 特点 | 桩冠假牙 | 种牙(种植牙) |
|---|---|---|
| 修复基础 | 依赖自身残留的牙根(必须做过根管治疗) | 不依赖天然牙根,植入人工牙根(种植体) |
| 适用情况 | 单颗或多颗牙(尤其是前牙)牙根尚存且稳固,但牙体大面积缺损或变色。 | 单颗、多颗或全口牙齿缺失,牙槽骨条件允许。 |
| 手术操作 | 相对简单,主要是牙科椅旁操作(打桩、取模、戴冠)。 | 需要外科手术(切开牙龈、植入种植体、缝合),有创伤和恢复期。 |
| 对邻牙影响 | 如果做固定桥修复多颗缺牙,需要磨小健康的邻牙作为基牙。 | 不损伤邻牙,独立修复,不影响邻牙健康。 |
| 固位方式 | 依靠残留牙根和桩的固位力,粘接在牙根上。 | 依靠种植体与牙槽骨的骨结合获得强大的固位力。 |
| 咀嚼效率 | 较好,但可能不如天然牙和成功的种植牙。 | 非常高,接近天然牙水平,能承受较大咬合力。 |
| 使用寿命 | 相对较短,平均5-15年,牙根可能再发炎、折裂,桩冠可能松动、脱落。 | 非常长,维护得当可使用数十年甚至终身,种植体失败率低。 |
| 维护要求 | 需要良好口腔卫生,防止继发龋和牙周病。 | 需要良好口腔卫生,定期复查(检查种植体周围炎)。 |
| 费用 | 相对较低(尤其单颗桩冠)。 | 较高(包含种植体、基台、牙冠及手术费用)。 |
| 修复周期 | 较短,通常1-2周即可完成(根管治疗后)。 | 较长,通常需要3-6个月甚至更久(包括骨结合时间)。 |
| 美观性 | 可以做得很好,但牙颈部边缘可能在牙龈下,长期可能影响美观。 | 极佳,牙冠独立,边缘在牙龈上,形态、颜色逼真。 |
| 舒适度 | 固定修复,无异物感。 | 固定修复,无异物感,感觉自然。 |
| 主要风险 | 牙根折裂、桩脱落、继发龋、牙周病、牙冠损坏。 | 手术风险(感染、出血)、种植体失败(骨结合不良)、种植体周围炎、骨吸收。 |
| 骨吸收 | 残留牙根存在,能一定程度维持牙槽骨,但长期可能仍会吸收。 | 有效刺激和维持牙槽骨,防止骨吸收。 |
总结与选择建议
-
桩冠假牙:
- 优点: 费用较低、修复周期短、技术相对成熟、不需要大手术。
- 缺点: 依赖残根,有失败风险(根折、感染)、寿命相对较短、可能需要磨小邻牙(做桥时)、长期可能伴随骨吸收。
- 适合人群: 牙根尚存且健康(根管治疗后)、牙体缺损严重但不想拔牙、预算有限、急于修复、身体条件不适合手术者。
-
种牙(种植牙):
- 优点: 不损伤邻牙、功能强大(咀嚼效率高)、美观自然、使用寿命长、有效防止牙槽骨吸收、独立修复。
- 缺点: 费用昂贵、需要外科手术、有创伤和恢复期、周期长、有手术风险和种植失败风险(虽然概率低)、需要良好的骨条件(可能需要植骨)。
- 适合人群: 单颗或多颗牙齿缺失、牙槽骨条件良好(或可通过植骨改善)、追求长期稳定效果、注重保护邻牙和牙槽骨、预算充足、身体条件允许手术者。
如何选择?
- 首要看牙根情况: 如果你的牙齿还有健康的牙根(即使做过根管治疗),并且牙根稳固,那么桩冠是一个可行的、经济的选择,如果牙根已经损坏、松动或不存在,那么只能考虑种牙或活动假牙。
- 看缺牙数量和位置: 缺一颗牙,种牙和桩冠(如果牙根好)都可以,缺多颗牙,种牙是更好的选择(做种植桥),避免磨小健康邻牙。
- 看牙槽骨条件: 种牙需要足够的骨量和骨密度,如果骨量不足,可能需要植骨,增加费用、时间和风险,桩冠对骨量要求不高,主要看牙根情况。
- 看预算和时间: 如果预算紧张或希望尽快修复,桩冠是更快捷的选择,如果预算充足且愿意等待,种牙是更长期、更可靠的选择。
- 看整体口腔健康状况和全身健康状况: 种牙需要良好的口腔卫生和全身健康状况(如糖尿病控制良好、无严重骨质疏松等)。
最终建议
务必咨询专业的牙医或口腔种植医生! 医生会通过详细的口腔检查(包括拍X光片、CT等)评估你的具体牙根情况、牙槽骨条件、咬合关系、全身健康状况等,然后才能给出最适合你个人情况的修复方案建议,不要自行决定,专业医生的评估至关重要。

