深圳作为一线城市,拥有众多先进的口腔医疗机构,提供All-on-4种植牙技术,这是一种针对全口或半口缺牙的高效、美观、功能强大的解决方案,以下是关于深圳All-on-4种植牙的详细信息:
🦷 All-on-4种植牙的核心概念与优势
-
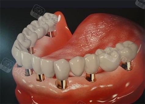
技术原理:
(图片来源网络,侵删)- 在牙槽骨中仅植入4颗特殊设计的种植体(通常为倾斜植入)。
- 利用这4颗种植体作为支撑,通过一个坚固的金属支架(桥架),连接并固定一整排(通常10-14颗)人工牙冠。
- 种植体的倾斜设计可以避开重要的解剖结构(如下牙槽神经),并利用现有骨量,减少甚至避免植骨手术。
-
主要优势:
- 高效快速: 通常在1天内完成手术并戴上临时牙冠(即刻负重),大大缩短了治疗周期和缺牙等待期。
- 减少手术创伤: 只需4颗种植体手术,比传统全口种植(需要8颗或更多)创伤小、手术时间短、恢复相对更快。
- 避免或减少植骨: 倾斜种植技术充分利用后牙区骨量,尤其适合牙槽骨条件不佳的患者,大大降低了植骨的必要性。
- 美观与功能恢复: 提供接近天然牙的外观和强大的咀嚼功能,发音改善明显,自信满满。
- 长期稳定性: 种植体与骨组织结合(骨整合)后,效果稳定持久,维护得当可使用多年甚至终身。
- 维护相对简单: 整体桥设计,日常清洁方式类似活动假牙(但需要更仔细),无需摘戴。
🏥 深圳提供All-on-4种植牙的机构类型
-
大型公立医院口腔科/口腔医院:
- 北京大学深圳医院口腔科: 综合实力强,医生经验丰富,价格相对透明。
- 深圳市第二人民医院口腔科: 技术设备先进,开展All-on-4技术成熟。
- 深圳市人民医院口腔科: 老牌三甲医院,种植技术有保障。
- 香港大学深圳医院口腔科: 引进国际先进理念和技术,服务流程规范。
- 深圳市口腔医院: 专科医院,专注口腔领域,技术更集中。
- 优势: 医生资质高,技术规范,收费相对合理,医保报销范围可能更明确(但种植体本身通常不报销)。
- 劣势: 挂号难,等待时间可能较长,服务体验可能不如私立机构个性化。
-
知名连锁口腔诊所/高端齿科:
- 马泷齿科: 国际知名品牌,技术先进,服务高端,环境舒适。
- 德伦口腔: 本土大型连锁,在深圳有多家分院,技术实力强,市场占有率高。
- 美莱口腔: 连锁品牌,提供All-on-4等复杂种植服务。
- 拜博口腔: 全国连锁,在深圳布局广泛,种植项目成熟。
- 瑞华口腔: 深圳本土知名机构,口碑较好。
- 优势: 服务体验好,预约方便,环境舒适,医生团队专业性强(尤其擅长种植),技术更新快,常提供分期付款等便利。
- 劣势: 价格通常高于公立医院,选择时需仔细甄别机构资质和医生真实水平。
💰 深圳All-on-4种植牙的费用范围
- 影响因素众多: 费用差异较大,主要取决于:
- 机构类型: 公立医院 < 连锁私立诊所 < 国际高端齿科。
- 医生资质与经验: 资深专家、院长级医生收费更高。
- 种植体品牌: 瑞士Straumann(士卓曼)、瑞典Nobel Biocare(诺贝尔)、美国Zimmer(捷迈)、德国Ankylos(安格斯)等一线品牌价格高;韩国品牌(如Osstem、Dentium)相对亲民。
- 牙冠材料: 全锆冠(氧化锆)是主流,美观耐用;烤瓷冠(内冠金属)价格较低但美观性、生物相容性稍逊。
- 是否需要植骨/上颌窦提升: 如果额外需要增加骨量,费用会显著增加。
- 是否包含检查、设计、临时牙、复查等: 报价是否全面。
- 是否包含麻醉、药品等。
- 大致参考范围(单颌):
- 公立医院: 通常在 8万 - 15万人民币 左右。
- 连锁私立诊所: 通常在 10万 - 20万人民币 左右,高端品牌或专家操作可能更高。
- 国际高端齿科: 可能 20万人民币以上。
- (注意: 这是单颌(上颌或下颌)的大致范围,做全口(上下颌)则需翻倍,务必要求机构提供详细的、包含所有项目的书面报价单。)
🩺 选择深圳All-on-4种植牙的关键考量因素
-
机构资质与医生经验:
(图片来源网络,侵删)- 核心!核心!核心! 选择有正规《医疗机构执业许可证》的机构。
- 种植医生资质: 确认医生是否有口腔种植专业认证(如ITI会员、ICOI认证等),丰富的All-on-4临床案例经验至关重要!要求查看医生的案例照片或视频。
- 团队协作: All-on-4是团队项目,需要种植外科医生、修复医生、技师、护士的紧密配合。
-
全面细致的术前评估:
- 必须进行口腔CT(CBCT)检查,精确评估骨量、骨密度、重要解剖结构位置。
- 进行口腔检查、全身健康状况评估(如糖尿病、心脏病、吸烟史等)。
- 制定个性化、详细的数字化治疗方案(包括种植体位置、角度、修复体设计等)。
-
材料选择:
与医生充分沟通,了解不同种植体品牌、牙冠材料的优缺点、价格差异,选择最适合自己预算和需求的产品,一线品牌在长期稳定性和成功率上通常更有保障。
-
价格透明度:
(图片来源网络,侵删)- 要求机构提供书面、详细、包含所有项目的报价单,避免后期隐形消费,问清楚是否包含所有检查费、种植体费、手术费、基台费、牙冠费、麻醉费、药品费、临时牙费、复查费等。
-
服务与保障:
- 了解机构的售后服务政策(如质保期、出现问题如何处理)。
- 询问术后维护指导和定期复查安排。
- 考虑机构的地理位置、交通便利性、预约便利性。
-
沟通与信任:
- 选择一位耐心沟通、详细解答疑问、让你感到安心和信任的医生非常重要。
📌 在深圳做All-on-4种植牙的步骤(简述)
- 咨询与检查: 初步咨询,进行全面口腔检查、拍片(CBCT等)、健康评估。
- 方案设计与沟通: 医生根据检查结果制定个性化方案,与患者充分沟通细节、选择材料、确定费用。
- 术前准备: 如有需要,进行牙周治疗、拔残根等,术前禁食水等。
- 手术阶段(通常1天完成):
- 局部麻醉(或镇静/全麻)。
- 拔除残留的残根(如有)。
- 在预定位置、角度植入4颗种植体(可能结合骨粉/骨膜)。
- 安装临时基台和临时牙冠(即刻负重)。
- 愈合期(骨整合): 3-6个月,种植体与牙槽骨牢固结合(期间佩戴临时牙)。
- 最终修复:
- 拆除临时牙冠,安装永久基台。
- 安装最终制作的、更美观耐用的全锆或烤瓷牙冠(桥)。
- 定期复查与维护: 遵医嘱定期复查,进行专业清洁和检查。
⚠ 重要提醒
- All-on-4并非适合所有人: 严重未控制的全身性疾病、严重磨牙症、口腔卫生极差、对治疗期望不切实际者需谨慎评估。
- 效果预期: 虽然效果显著,但咀嚼力、美观度、使用寿命仍可能略逊于天然牙,且需要良好的维护。
- 术后维护: 非常重要!需要像爱护真牙一样认真清洁(使用专用牙缝刷、冲牙器等),并严格按照医嘱定期复查。
- 避免低价陷阱: 远远低于市场平均价的“超优惠”All-on-4套餐,可能存在使用劣质材料、简化流程、增加额外收费等风险,务必谨慎。
在深圳进行All-on-4种植牙,是一个技术含量高、效果显著但投入也相对较大的选择。成功的关键在于选择一家资质正规、技术过硬、经验丰富(尤其擅长All-on-4)的口腔机构和医生。 建议您:
- 多方咨询: 至少咨询2-3家不同类型的机构(公立+私立)。
- 重点考察医生: 查看医生的资质、认证、案例经验。
- 要求详细方案和报价: 透明沟通,了解所有费用。
- 信任你的直觉: 选择让你感到专业、可靠、安心的团队。
做足功课,选择合适的机构和医生,All-on-4种植牙能为您带来焕然一新的口腔功能和自信笑容!祝您早日找到满意的解决方案!🦷✨
