“21000元”这个价格本身并不能直接告诉你“种的是啥牙”(具体是哪个品牌、哪个型号的种植体),因为种植牙的价格由多个因素共同决定,而不是仅仅由种植体品牌决定。
我们可以根据这个价格范围(21000元)来推断它可能对应的是哪种档次或配置的种植牙:

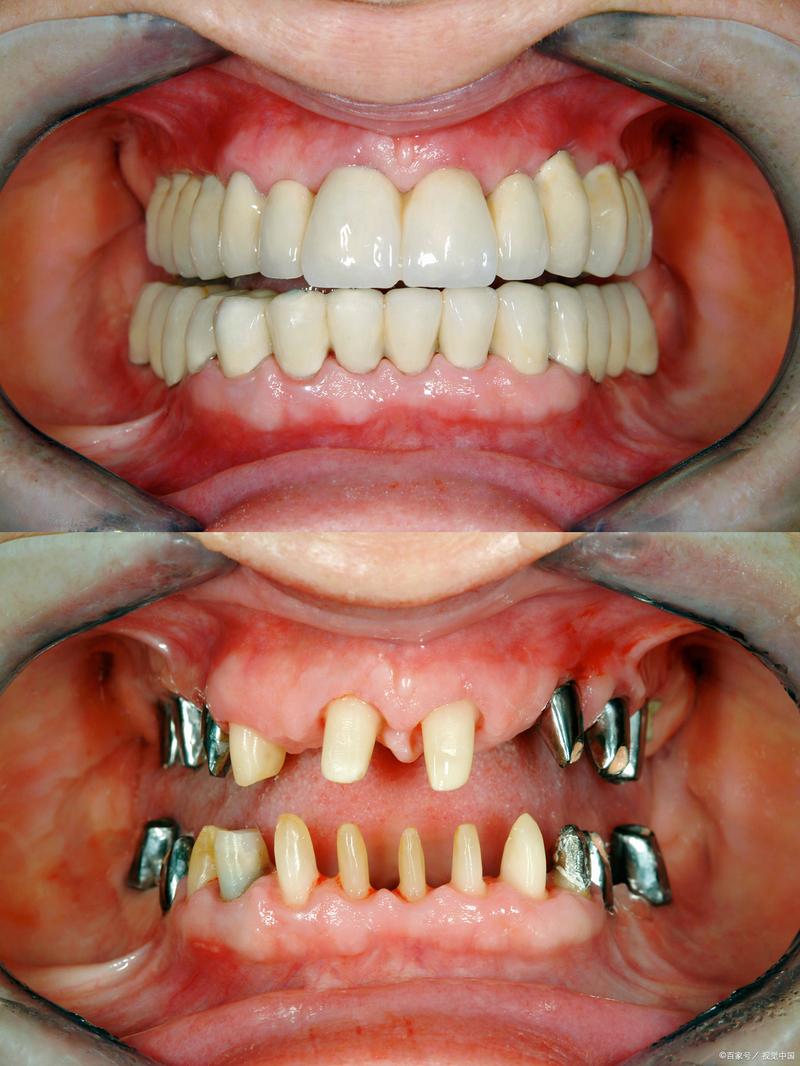
(图片来源网络,侵删)
📍 1. 种植体品牌(核心因素)
- 高端/顶级品牌: 这个价位极有可能对应的是国际一线高端品牌的种植体系统。
- 瑞士Straumann(士卓曼):尤其是其亲水表面(如BLT、SLActive)或特定系列(如Roxolid钛锆合金),价格通常在单颗8000元-15000元甚至更高。
- 瑞典Nobel Biocare(诺贝尔):其 NobelActive、NobelReplace 等系列,尤其是钛锆合金或特定表面处理,价格也常在8000元-15000元+。
- 美国Zimmer(捷迈):其特定系列(如T3P锥形)或表面处理技术,价格也常在7000元-12000元+。
- 德国Ankylos(安格斯):其独特的锥形设计和封闭式平台,价格也常在7000元-12000元+。
- 瑞典Astra Tech(阿斯特拉):其 Osseospeed 表面技术,价格也常在7000元-12000元+。
- 中高端品牌: 也可能是一些技术领先、口碑很好的中高端品牌,但通常搭配了更高级的牙冠材料或附加服务。
📍 2. 牙冠材料(显著影响价格)
- 全瓷牙冠(氧化锆): 这是目前最主流、美观和强度最好的选择,21000元的价格几乎肯定包含了高品质的氧化锆全瓷牙冠(如德国威兰德、泽康,或国产高端品牌),普通烤瓷牙冠(含金属内冠)在这个价位下是不可能的。
- 可能包含的附加服务: 有时这个价格会包含一些前期检查(如CBCT拍片)、基础手术费、甚至术后保修等。
📍 3. 手术复杂程度(重要变量)
- 简单种植: 如果牙槽骨条件非常好,不需要植骨、上颌窦提升等复杂附加手术,那么21000元主要就是种植体+基台+全瓷牙冠的费用。
- 复杂种植: 如果需要植骨、上颌窦内/外提升、骨劈开、软组织移植等附加手术,那么21000元可能是整个治疗包(包含附加手术费)的总价,这意味着种植体本身的品牌可能稍低一些(比如中高端品牌),但附加手术推高了总价。反之,如果骨条件极好,这个价位可能只对应一个非常高端的种植体品牌+全瓷冠。
📍 4. 地区与诊所定位
- 一线城市核心商圈/高端诊所: 在北京、上海、广州、深圳等一线城市,以及定位高端的私人诊所或大型连锁齿科,同样的种植体品牌和配置,价格会比二三线城市或普通诊所高很多,21000元在一线城市高端诊所可能是中高端配置,在普通诊所则可能是顶级配置。
- 诊所运营成本: 高端诊所通常在设备(如CBCT、数字化导板)、环境、服务、医生资质上投入更大,成本会反映在价格上。
📍 5. “啥牙”的理解
- 种植体品牌: 如上所述,很可能是瑞士、瑞典、美国或德国的高端/顶级品牌(Straumann, Nobel, Zimmer, Ankylos, Astra Tech等)。
- 牙冠类型: 高品质的氧化锆全瓷牙冠。
- 整体档次: 属于中高端到高端的种植牙修复方案,21000元在中国大陆的种植牙市场中,绝对不属于低价位,而是定位中高端甚至高端。
- “21000元的种植牙”种的是啥牙? 最核心的答案是:它极大概率对应的是国际知名高端品牌的种植体(如瑞士Straumann、瑞典Nobel等)+ 高品质的氧化锆全瓷牙冠。
- 具体是哪个品牌? 无法仅凭价格确定。 你需要查看诊所提供的详细治疗方案和费用清单,上面会明确写出使用的种植体品牌、型号、牙冠材料、包含的项目以及是否有附加手术费。
- 这个价格意味着什么? 意味着你选择的方案在种植体技术和牙冠材料上都达到了相当高的水准,通常在注重品质、长期效果和美观度的患者中比较常见。
📣 重要建议
- 索要详细方案和报价单: 务必要求诊所提供书面的、包含所有项目和费用的详细治疗方案和报价单,上面会明确列出:
- 种植体品牌、型号、表面处理
- 基台品牌/类型(原厂基台通常更贵)
- 牙冠品牌、材料(全瓷?什么品牌?)
- 包含的检查项目(如CBCT)
- 手术费、麻醉费
- 是否包含植骨、上颌窦提升等附加手术(如果需要)
- 费用包含范围(如是否包含术后保修)
- 面诊检查: 这个价格是基于你个人口腔状况(骨量、软组织、咬合等)制定的,必须经过专业医生面诊和拍片检查(CBCT)才能确定最终方案和费用。
- 多咨询比较: 可以咨询2-3家不同定位的诊所(包括公立医院口腔科和知名私立齿科),了解他们的方案和报价,进行综合比较,选择最适合自己需求和预算的方案,不要只看价格数字,更要看方案是否合理、医生技术如何、诊所口碑如何。
21000元种植牙通常指向的是高品质的种植体(高端品牌)+ 高端全瓷牙冠的组合,但具体是“啥牙”,必须以诊所提供的详细方案为准。 去面诊时带上笔记本,仔细询问每个项目的费用和品牌,这样心里才有底。💪🏻

(图片来源网络,侵删)
