关于长沙周权医生的正畸技术是否靠谱,根据公开信息和行业普遍评价,周权医生是一位经验丰富、技术扎实、口碑较好的资深正畸专家,以下是一些关键点,供你参考:
✅ 周权医生的主要优势(靠谱的支撑点)
-
资历深厚,经验丰富:
(图片来源网络,侵删)- 周权医生是长沙美奥口腔医院的院长,在口腔正畸领域拥有超过20年的临床经验,这种资历意味着他处理过大量复杂病例,技术娴熟。
- 他毕业于知名医学院校,并持续接受国内外正畸领域的前沿技术和理念培训。
-
技术专长突出:
- 隐形矫正专家: 周医生在隐形矫正(如隐适美Invisalign、时代天使Angelalign等) 方面造诣很深,是该领域的资深认证医师,隐形矫正对医生的设计能力和经验要求极高,周医生能熟练运用各类隐形矫治器解决复杂错颌畸形问题。
- 复杂病例处理能力强: 除了隐形矫正,他也精通传统托槽矫正(金属、陶瓷)、自锁托槽矫正等多种技术,尤其擅长处理骨性畸形、成人矫正、疑难病例等,这表明他的技术全面且功底扎实。
- 注重美学与功能结合: 优秀的正畸医生不仅要排齐牙齿,更要兼顾咬合功能、面部美观、长期稳定性,周医生在方案设计中通常会综合考虑这些因素。
-
学术与行业认可:
- 作为院长级专家,他在湖南省口腔正畸领域有一定的学术地位和影响力,经常参与学术交流。
- 通常拥有中华口腔医学会正畸专业委员会(COS)会员等资质,这是专业能力的体现。
-
患者口碑较好:
- 在各大平台(如大众点评、知乎、小红书等)和美奥口腔内部,可以找到不少患者对周医生技术、耐心、沟通效果给予的正面评价,很多患者反馈他讲解方案清晰、操作细致、矫正效果满意。
📌 如何进一步验证其“靠谱性”(建议你这样做)
虽然周医生的整体评价是正面的,但“靠谱”与否最终需要结合你个人的具体情况和感受来判断,强烈建议你:

-
亲自面诊咨询:
- 这是最重要的一步! 不要仅凭网络信息做决定,预约周医生的面诊。
- 在面诊中,重点观察:
- 检查是否全面: 是否拍摄了全景片、头颅侧位片(必要时CBCT)?是否进行了口腔模型、口内口外照片等全面检查?这些是制定科学方案的基础。
- 沟通是否耐心细致: 他是否认真倾听你的诉求和担忧?是否用你能理解的方式解释你的牙齿问题、可能的矫正方案、预期效果、所需时间、费用构成、可能的风险?方案是否个性化?
- 方案是否合理: 他给出的方案是否针对你的具体情况?是否提供了多种选择(如不同矫治器类型)及其优缺点对比?方案是否兼顾功能、美观、稳定?
- 你自己的感受: 你是否信任这位医生?沟通是否顺畅舒适?这非常重要,因为矫正周期长,良好的医患关系是成功的关键。
-
查看案例(Before & After):
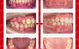
- 在面诊时,主动要求查看周医生处理过的与你情况相似的矫正案例(特别是难度相当的复杂病例或隐形矫正案例),亲眼看到真实的矫正效果,比任何评价都更有说服力,注意观察牙齿排列、咬合关系、面部轮廓的变化。
-
了解机构背景:
- 周医生所在的长沙美奥口腔医院是国内知名的连锁口腔品牌,通常在设备、消毒、服务流程、质控体系上有一定保障,选择正规连锁机构也是对医生技术和安全性的一个间接背书。
-
多方对比:
(图片来源网络,侵删)不要只咨询一位医生,可以再咨询1-2位其他有经验的正畸医生(可以是其他连锁机构或知名公立医院的专家),比较他们的方案、报价、沟通风格,这能让你更全面地了解自己的问题和可能的治疗路径,也能验证周医生方案的合理性。
⚠ 需要注意的点
- 价格: 作为院长级专家且擅长隐形矫正,周医生的收费通常处于较高水平,隐形矫正本身费用就高于传统矫正,在面诊时务必了解清楚总费用包含哪些项目(是否包含保持器、复诊调整等),以及是否有分期付款等选项。
- 预约难度: 资深专家的号源可能比较紧张,需要提前预约。
- 效果个体差异: 正畸效果受多种因素影响(患者配合度、骨骼条件、医生技术等),即使医生技术再好,也需要患者良好的配合(如按时复诊、保持口腔卫生、佩戴橡皮筋等)。
- 综合来看,长沙周权医生是一位技术过硬、经验丰富、在隐形矫正和复杂病例方面有专长的资深正畸专家,在业内和患者中口碑较好,属于“靠谱”的选择。
- 但“靠谱”与否最终需要你亲自面诊体验。 建议你务必预约周医生进行全面的检查和咨询,重点关注检查的全面性、沟通的耐心度、方案的合理性以及你个人的信任感。
- 同时进行对比咨询,结合自身情况(预算、时间、对美观的要求等)做出最适合自己的选择。
最终决定前,请务必进行面诊! 这是你评估周医生是否“靠谱”以及是否适合你的最直接有效的方式,祝你矫正顺利,收获一口整齐健康的牙齿和自信的笑容!🦷✨
