选择种植牙还是固定假牙(通常指固定桥)并没有绝对的“哪个更好”,而是取决于你的具体口腔情况、个人需求、预算、健康状况以及期望达到的效果,两者都是修复缺失牙的有效方法,但各有显著的优缺点。
以下是详细的对比分析,帮助你做出更适合自己的选择:

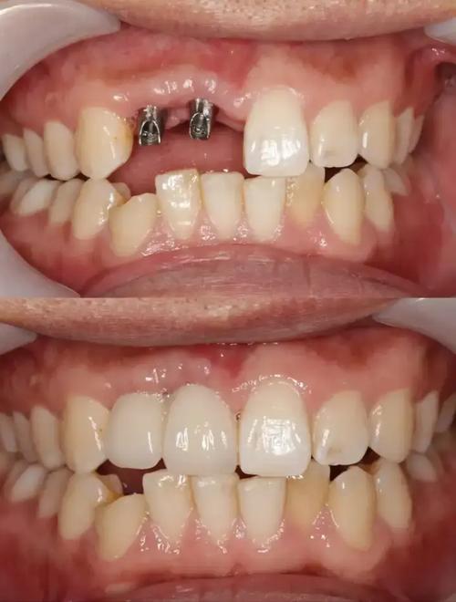
🦷 1. 种植牙 (Dental Implant)
- 原理: 将纯钛(或钛合金)的种植体(类似人工牙根)通过手术植入缺牙区的牙槽骨内,待种植体与牙槽骨牢固结合(骨结合)后,在种植体上方安装基台和牙冠。
- 优点:
- 功能与美观最佳: 咀嚼效率极高,接近天然牙,感觉最自然、舒适,美观效果通常优于固定桥。
- 不损伤邻牙: 是独立修复,不需要磨削邻牙来支撑,最大程度保护了健康的邻牙。
- 防止牙槽骨吸收: 种植体刺激牙槽骨,能像天然牙根一样阻止骨流失,维持面部轮廓和口腔健康。
- 长期稳定性: 如果维护得当(良好的口腔卫生和定期复诊),使用寿命非常长,甚至可能终身使用。
- 清洁方便: 像真牙一样刷牙、使用牙线即可,清洁无死角。
- 舒适度高: 无异物感,稳固,不会松动或影响发音。
- 缺点:
- 费用最高: 是三种主要修复方式(活动假牙、固定桥、种植牙)中初期投入最大的。
- 治疗周期长: 需要手术,骨结合通常需要3-6个月甚至更长时间,整个治疗过程可能持续数月。
- 需要手术: 存在手术风险(虽然现代技术成熟,风险很低,如感染、神经损伤、出血、种植体失败等)。
- 对全身健康和牙槽骨要求高: 需要足够的健康牙槽骨高度和宽度(骨量不足可能需要植骨等额外手术),患有严重未控制的全身性疾病(如严重心脏病、未控制的糖尿病、骨质疏松症、长期服用抗凝药物等)或长期吸烟者,种植失败风险增加。
- 并非所有人都能做: 需要专业医生评估是否适合种植。
🦷 2. 固定假牙 (Fixed Dental Bridge)
- 原理: 利用缺牙区两侧的健康牙齿(基牙)作为支撑,通过磨小(预备)这两颗牙齿,制作一个“桥体”(中间是假牙,两侧是牙冠),粘接在磨小的基牙上,从而修复缺失的牙。
- 优点:
- 费用相对较低: 比种植牙便宜很多。
- 治疗周期相对较短: 通常需要2-3次就诊,几周内即可完成。
- 无需手术: 只需进行牙体预备和取模等常规牙科操作,没有手术风险。
- 初期感觉稳定: 粘固后不会像活动假牙那样活动,咀嚼功能较好。
- 美观尚可: 如果制作精良,外观效果也不错。
- 缺点:
- 必须磨削健康邻牙: 这是最大的缺点!为了安放桥体,需要磨小(预备)两侧健康的邻牙(基牙),这是不可逆的损伤,如果基牙未来出现问题(如龋坏、牙髓炎、折裂),整个桥体可能需要拆除或重做。
- 无法阻止牙槽骨吸收: 桥体下方没有牙根刺激,会导致缺牙区的牙槽骨逐渐萎缩吸收。
- 清洁困难: 桥体与牙龈之间、桥体与基牙连接处容易藏匿食物残渣和菌斑,需要使用特殊的牙线(桥体线)或冲牙器进行精细清洁,否则容易导致基牙龋坏、牙周病等问题,最终导致修复失败。
- 使用寿命相对较短: 平均使用寿命约5-10年,甚至更短,长期来看,维护和更换的成本可能累积起来接近甚至超过种植牙。
- 可能增加基牙负担: 基牙需要额外承担桥体的咀嚼力,长期负荷可能导致基牙损伤或松动。
- 适应症受限: 如果缺牙区两侧没有足够健康的牙齿作为基牙,或者基牙位置、角度不合适,就无法制作固定桥。
📌 总结与选择建议
| 特点 | 种植牙 | 固定假牙 (固定桥) |
|---|---|---|
| 修复原理 | 植入人工牙根,独立支撑 | 磨小邻牙作为支撑,桥体连接 |
| 对邻牙 | 不损伤邻牙 | 必须磨削健康邻牙 (不可逆损伤) |
| 牙槽骨 | 有效防止吸收 | 无法防止吸收,长期会导致骨萎缩 |
| 功能/美观 | 最佳,接近天然牙 | 良好,但略逊于种植牙 |
| 清洁 | 方便,如真牙一样 | 困难,需特殊工具,易藏污纳垢 |
| 费用 | 最高 | 相对较低 |
| 治疗周期 | 长 (需手术,骨结合需数月) | 较短 (几周内完成) |
| 手术风险 | 有 (低风险) | 无 |
| 全身/骨要求 | 高 (需足够骨量,全身健康条件较好) | 低 (只要有健康邻牙即可) |
| 使用寿命 | 长 (维护得当可数十年甚至终身) | 相对较短 (平均5-10年,需更换) |
| 长期成本 | 可能更低 (避免后期邻牙问题和骨流失治疗) | 可能更高 (基牙问题、骨流失、更换成本) |
| 适用情况 | 单颗、多颗、半口、全口缺牙;骨量充足;全身健康条件允许 | 缺牙区两侧有健康邻牙;预算有限;无法耐受手术;骨量不足但不愿植骨 |
📌 如何选择?
-
首要考虑口腔条件和健康状况:
- 缺牙区牙槽骨量充足? 如果是,种植牙是首选。
- 缺牙区两侧有足够健康、坚固的邻牙? 如果是,固定桥是一个可行的选择(但需权衡磨牙风险)。
- 全身健康状况如何? 是否有严重系统性疾病?是否长期吸烟?这些因素会影响种植牙的成功率和可行性。
- 邻牙本身是否有问题? 如果邻牙已经有蛀牙、牙髓炎、牙周病或做过根管治疗,磨削它们风险更大,种植牙更优。
-
考虑预算和长期成本:
- 种植牙初期投入高,但长期维护成本低,且避免了邻牙损伤和骨流失带来的潜在高昂治疗费用。
- 固定桥初期便宜,但基牙可能出问题需要治疗(根管治疗、拔除、重做桥),牙槽骨吸收可能需要后期修复(如种植),长期成本可能不低。
-
考虑个人需求和期望:
- 追求最自然、最舒适、最长效的修复效果? 种植牙无疑是最佳选择。
- 对手术有顾虑? 固定桥不需要手术。
- 治疗时间紧迫? 固定桥周期短。
- 清洁习惯如何? 如果难以坚持精细清洁(如使用桥体线),种植牙更易维护。
-
咨询专业医生:
(图片来源网络,侵删)- 这是最重要的一步! 务必找经验丰富的口腔种植科或修复科医生进行详细检查。
- 检查应包括:口腔检查、拍X光片(全景片)、可能需要做CBCT(三维锥形束CT)来精确评估牙槽骨的厚度、高度、密度以及神经血管位置。
- 医生会根据你的具体情况,分析两种方案的可行性、优缺点、风险、费用和预期效果,并给出个性化的专业建议,有时可能还需要结合活动假牙等其他方案一起讨论。
- 从长远效果、保护口腔健康(邻牙和牙槽骨)、舒适度和使用寿命来看,种植牙通常是更优的选择,尤其是对于口腔条件允许的患者,它被视为修复缺失牙的“黄金标准”。
- 固定假牙(固定桥)在特定情况下仍有其价值:当患者预算非常有限、对手术有禁忌或恐惧、缺牙区两侧有非常健康的邻牙且患者能保证精细清洁时,它是一个可行的替代方案。
最终决定权在你手中,但一定要建立在充分了解信息并与专业医生深入沟通的基础上,不要只看价格或听信单一信息源,综合评估自身情况,选择最适合自己的修复方式。 希望你能找到最适合自己的解决方案,早日恢复健康的笑容!😊

