数字化、微创、即刻、精准
浙江的全口种植技术发展核心围绕着数字化流程、微创手术、即刻负重和长期稳定性这几个关键词展开。
主流先进技术
-
数字化种植导板技术:
(图片来源网络,侵删)- 技术核心: 利用CBCT(锥形束CT)扫描获取患者颌骨的精确三维数据,结合口内扫描或模型扫描,在专业设计软件中模拟种植体植入的位置、角度、深度,然后通过3D打印技术制作出个性化的手术导板。
- 优势:
- 精准定位: 极大提高种植体植入的精确度,避开重要神经血管,保护健康骨组织。
- 微创高效: 通常只需小切口甚至翻瓣手术,减少创伤、出血和术后肿胀疼痛。
- 可预见性强: 术前即可预知最终效果,医患沟通更直观。
- 缩短手术时间: 导板引导下操作更快捷。
- 应用: 是浙江各大口腔医院和高端诊所进行复杂全口种植(如All-on-4/6)的标准配置。
-
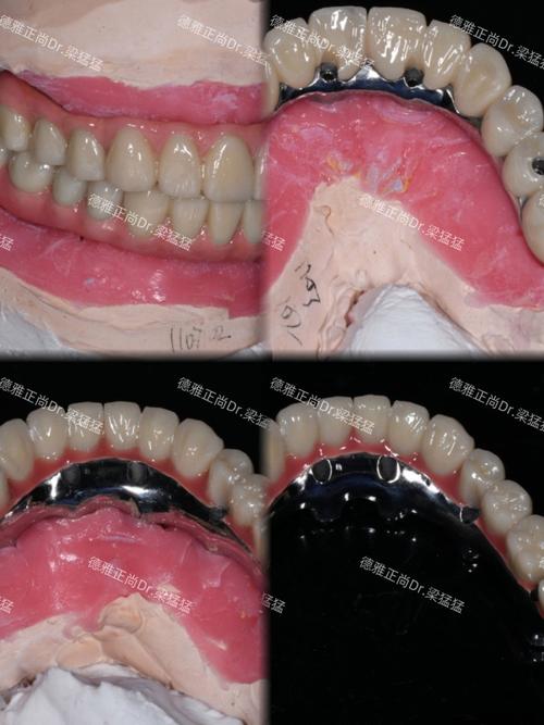
All-on-4 / All-on-6 立即负重技术:
- 技术核心: 利用4颗(All-on-4)或6颗(All-on-6) strategically placed( strategically placed - 精心选择位置)的种植体,通过倾斜植入等方式,最大化利用现有骨量,支撑起一整排(上颌或下颌)的固定修复体(牙桥)。
- 关键优势:
- 当天戴牙: 在符合条件的情况下(骨量充足、种植体初期稳定性好),可以在种植手术当天或术后几天内戴上临时固定牙桥,实现“即刻负重”,快速恢复美观和部分咀嚼功能。
- 减少手术次数: 避免了传统全口种植需要多次手术、等待骨结合(3-6个月)的漫长过程。
- 避免植骨: 对于牙槽骨严重萎缩的患者,通过倾斜植入技术,常常可以避免或减少复杂的植骨手术。
- 固定修复: 提供类似真牙的固定修复体验,比活动义齿更舒适、稳固、美观。
- 应用: 这是目前浙江乃至全球范围内,解决无牙颌问题最主流、最受欢迎的技术之一,浙江的顶尖口腔医院和大型连锁机构普遍成熟开展,并不断优化。
-
微创/超声骨刀种植技术:
- 技术核心: 使用超声骨刀等先进设备进行种植窝洞预备和骨修整,超声骨刀利用高频超声振动切割骨组织,对软组织(神经、血管、牙龈)具有选择性,不易损伤。
- 优势:
- 创伤极小: 切口更小,出血更少,术后肿胀、疼痛感显著减轻。
- 安全性高: 降低神经损伤风险,尤其在下颌神经管区域操作更安全。
- 视野清晰: 术野更清晰,便于医生精细操作。
- 术后恢复快: 患者舒适度大幅提升,恢复期缩短。
- 应用: 在浙江追求舒适化医疗的诊所和医院中越来越普及,常与数字化导板技术结合使用。
-
亲水表面处理种植体技术:
- 技术核心: 种植体表面经过特殊处理(如SLActive, SLActive, Osseospeed, Roxolid等),使其具有更强的亲水性,能更快吸附血液中的蛋白质和生长因子,加速骨细胞附着和增殖。
- 优势:
- 加速骨结合: 显著缩短骨结合时间(可能从3-6个月缩短到几周),为更早的负重(如即刻负重)提供更可靠的生物学基础。
- 提高初期稳定性: 在骨条件稍差的情况下也能获得更好的初期稳定性。
- 长期成功率更高: 大量临床研究证实其长期稳定性和成功率优异。
- 应用: 浙江各大医院和高端诊所使用的进口高端种植体(如Nobel Biocare, Straumann, Dentsply Sirona等)普遍采用此类先进表面处理技术,国产种植体也在快速跟进。
-
数字化全流程管理:
(图片来源网络,侵删)- 技术核心: 从初诊检查(CBCT、口扫)、方案设计(3D模拟)、导板打印、手术导航(部分高端设备)、到最终修复体设计(CAD/CAM)和制作,全程数字化数据流转和精准控制。
- 优势:
- 无缝衔接: 各环节信息共享,避免误差传递。
- 效率提升: 大大缩短治疗周期。
- 质量可控: 每一步都可追溯、可优化。
- 个性化定制: 为每位患者量身定制最佳治疗方案和修复体。
- 应用: 是浙江顶尖口腔机构的标准配置,代表了种植修复的未来方向。
其他值得关注的技术/概念
- 动态导航种植技术: 在数字化导板基础上,结合实时影像导航(如X-ray导航),在手术过程中实时显示手术器械与患者解剖结构的位置关系,提供更高精度的术中引导,浙江少数顶尖医院和大型机构已开始引进。
- 3D打印个性化基台与修复体: 利用CAD/CAM和3D打印技术,为患者制作高度个性化、完美贴合的基台和最终修复体(全瓷冠/桥),优化美学和功能效果,浙江大型机构已广泛应用。
- 骨增量技术的精细化应用: 对于骨量严重不足的患者,浙江的专家团队熟练掌握并创新应用各种骨增量技术(如GBR, 上颌窦提升,骨劈开,骨牵引成骨等),并结合数字化技术进行精准设计和引导,为种植成功创造条件。
- 种植体品牌与材料的多样化: 浙江市场提供丰富的国际一线品牌(如Nobel, Straumann, Zimmer Biomet, Dentsply Sirona等)和快速进步的国产优质品牌(如威高、百康特、莱顿等),医生会根据患者具体情况(骨条件、经济预算、美学要求等)选择最合适的种植系统。
浙江的优势
- 医疗资源集中: 杭州、宁波、温州等大城市拥有众多三甲医院口腔科/口腔医院(如浙江省口腔医院、浙江大学医学院附属口腔医院等)和大型高端民营连锁口腔机构(如杭州口腔医院集团、宁波牙科医院、德维口腔等),技术力量雄厚。
- 数字化程度高: 无论是公立还是大型民营机构,都普遍引进了先进的CBCT、口内扫描仪、CAD/CAM系统、3D打印机等设备,数字化流程应用广泛。
- 医生经验丰富: 拥有一批经过严格培训、经验丰富的口腔种植专科医生,尤其在处理复杂全口种植病例方面技术成熟。
- 技术更新快: 紧跟国际前沿,新技术、新设备引进和应用速度快。
- 服务意识强: 民营机构尤其注重患者体验,提供舒适化治疗、预约制、分期付款等服务。
选择建议
- 明确需求与预算: 全口种植是重大治疗,费用较高(通常在10万-30万人民币甚至更高,取决于技术、材料、医院等级),需评估自身对美观、功能、舒适度的要求以及经济承受能力。
- 选择正规机构与医生:
- 资质: 优先选择有《医疗机构执业许可证》且设有口腔种植科的正规医院或大型连锁口腔机构。
- 医生: 重点考察医生的资质(如口腔种植专业委员会认证)、经验(特别是全口种植案例数量和成功率)、技术理念(是否采用数字化、微创、即刻负重等先进技术),可以要求查看医生的案例。
- 设备: 了解机构是否配备CBCT、口扫仪、消毒灭菌设备等。
- 充分沟通与检查: 进行详细的口腔检查(包括CBCT拍摄、模型取模等),与医生充分沟通,了解治疗方案、预期效果、风险、费用明细及术后维护要求。
- 警惕过度营销: 对承诺“绝对成功”、“超低价”、“当天种牙当天啃排骨”等宣传保持理性判断,个体差异很大,需科学评估。
- 重视术后维护: 种植牙需要与真牙一样良好的口腔卫生维护和定期复查(建议每半年到一年),这是保证其长期使用寿命的关键。
浙江在全口种植牙技术方面处于国内领先水平,数字化导板引导下的All-on-4/6即刻负重技术是目前解决无牙颌问题的主流和核心技术,结合微创手术、亲水表面种植体、数字化全流程管理等先进手段,为患者提供了创伤小、恢复快、功能好、美观度高的解决方案,选择经验丰富的医生和正规的医疗机构进行详细评估和个性化治疗规划至关重要。

