反颌 (Malocclusion - Crossbite)
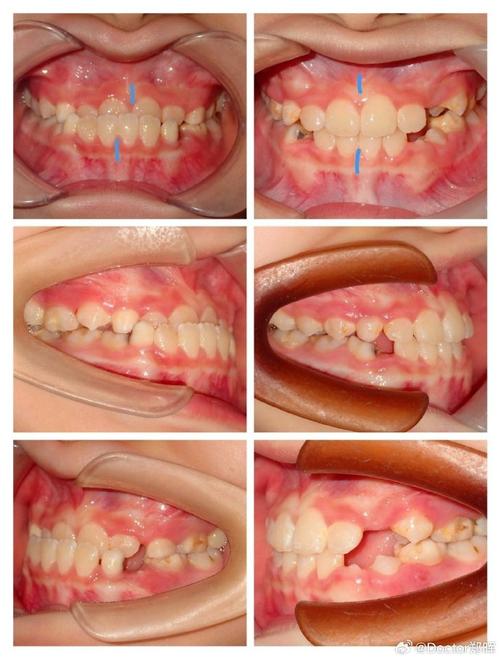
- 定义: 反颌是一种常见的错颌畸形,指的是下颌牙齿(下牙弓)相对于上颌牙齿(上牙弓)位于更靠前的位置,通俗地说,就是俗称的“地包天”或“兜齿”。
- 表现:
- 前牙反颌: 最常见,上前牙咬合在下前牙的舌侧(里面),这会导致面中部凹陷,下巴前突(小下巴),侧貌呈“月牙形”或“猿猴状”。
- 后牙反颌: 下后牙咬合在上后牙的颊侧(外面),这会导致面下1/3宽度不对称,可能影响咀嚼功能和颞下颌关节。
- 原因:
- 遗传因素: 父母有反颌,子女风险较高。
- 不良习惯: 长期吮指、咬上唇、咬物、口呼吸等。
- 替牙期障碍: 乳牙早失、滞留、多生牙等导致恒牙萌出位置异常。
- 骨骼因素: 上颌骨发育不足(上颌后缩)或下颌骨发育过度(下颌前突)。
- 功能性因素: 不良的咀嚼习惯、扁桃体肥大导致口呼吸等。
偏颌 (Malocclusion - Facial Asymmetry / Mandibular Deviation)
- 定义: 偏颌是指面部左右两侧明显不对称,通常表现为下颌骨(下巴)相对于面部中线向一侧偏移或旋转,这种不对称可以是骨骼性的,也可以是牙齿性的,或者两者兼有。
- 表现:
- 中线偏斜: 上下牙列的中线不一致,或与面部中线不一致。
- 下颌偏斜: 下巴尖向左或向右偏移。
- 颏点偏移: 下巴最前点偏离面部中线。
- 面部不对称: 两侧面颊、下颌角、耳屏前区等高度或宽度不一致,笑时更明显。
- 咬合干扰: 咬东西时,一侧牙齿早接触或干扰,另一侧可能咬合不上。
- 原因:
- 骨骼性偏颌:
- 先天性: 半侧颜面短小症、髁突肥大等。
- 获得性: 儿童时期下颌髁突骨折、感染、肿瘤、关节疾病(如颞下颌关节紊乱病)导致下颌发育不对称。
- 牙齿性偏颌:
- 严重拥挤: 一侧牙齿严重拥挤,导致中线偏移。
- 早失牙: 一侧牙齿过早缺失,对颌牙伸长,导致咬合平面倾斜。
- 不良习惯: 长期单侧咀嚼(偏侧咀嚼)。
- 乳牙滞留/早失: 影响恒牙萌出位置。
- 混合性偏颌: 骨骼和牙齿因素共同作用。
- 骨骼性偏颌:
掩饰性正畸 (Camouflage Orthodontics)
- 定义: 掩饰性正畸是一种非手术的、仅通过移动牙齿来改善错颌畸形外观和部分功能的方法,它主要用于那些存在明显骨骼性畸形(如严重的反颌、偏颌、开颌、深覆颌等),但因各种原因(如患者拒绝手术、年龄过大、全身健康状况不适合手术、经济原因等)无法或不愿接受正颌手术的患者。
- 核心思想: “用牙齿的移动来掩饰骨骼的问题”,通过精心设计的拔牙、移动牙齿(尤其是前牙),在骨骼畸形无法改变的情况下,尽可能地将牙齿排列整齐,改善咬合关系,并在一定程度上改善面部美观(尤其是侧貌和前牙区)。
- 应用场景(常与反颌、偏颌相关):
- 轻度骨骼性反颌: 通过拔除上颌前牙或下颌后牙,将上前牙唇向移动(排齐、内收),下前牙舌向移动,试图建立前牙正常覆颌覆盖关系,改善“地包天”外观,但无法改变骨骼结构。
- 轻度骨骼性偏颌:
- 通过拔牙(通常在偏斜严重的一侧拔牙)来为牙齿移动创造空间。
- 利用牙齿的倾斜移动、整体移动,结合颌间牵引(橡皮筋),尝试将偏斜的牙列和下颌中线尽可能调整到接近正常位置。
- 重点改善中线对称性和前牙区的美观。
- 其他情况: 如开颌、深覆颌、双颌前突等骨骼问题的掩饰治疗。
- 方法:
- 拔牙矫治: 最常用的手段,提供移动空间。
- 强支抗: 使用种植钉、支抗钉、口外弓等工具,控制牙齿移动方向,防止不需要移动的牙齿移动。
- 颌间牵引: 利用橡皮筋在上下颌牙齿之间施加力量,调整咬合关系和下颌位置。
- 精细的牙齿移动: 包括倾斜移动、整体移动、转矩控制等,以达到理想的牙位和咬合。
- 隐形矫正: 在掩饰性正畸中应用也越来越广泛,提供美观和便利性。
- 局限性:
- 无法改变骨骼: 这是最大的局限,掩饰性正畸只能改变牙齿的位置和排列,无法改变颌骨的大小、形状和位置关系。
- 效果有限: 对于严重的骨骼畸形,掩饰性正畸能改善的程度有限,可能无法达到理想的美观和功能效果。
- 可能带来副作用: 如牙根吸收、牙龈退缩、颞下颌关节问题风险增加(尤其在需要大范围移动牙齿时)、咬合关系不稳定等。
- 复发风险: 由于骨骼问题未解决,治疗后复发风险相对较高,需要更长的保持期。
- 对医生技术要求极高: 需要医生有丰富的临床经验和精湛的技术,精确设计治疗方案和精细控制牙齿移动。
三者之间的关系
-
反颌与偏颌可以独立存在,也可以同时存在:
- 一个患者可能只有反颌(地包天),但面部对称。
- 一个患者可能只有偏颌(下巴歪),但咬合关系正常(前牙对刃或正常覆颌)。
- 更常见的是两者并存: 长期的“地包天”可能导致下颌习惯性前伸和偏斜;严重的单侧后牙反颌本身就会导致下颌偏斜;骨骼性的上颌发育不足(导致反颌)和下颌发育不对称(导致偏颌)可能同时存在。
-
掩饰性正畸是处理反颌和偏颌(尤其是骨骼性)的一种替代方案:
(图片来源网络,侵删)- 当患者存在骨骼性反颌或偏颌,但无法或不愿接受正颌手术时,掩饰性正畸成为主要的治疗选择。
- 对于轻度的骨骼性反颌或偏颌,掩饰性正畸有时能达到相对满意的效果。
- 对于中重度的骨骼性反颌或偏颌,掩饰性正畸的效果会打折扣,医生需要与患者充分沟通,明确预期效果和局限性。
-
掩饰性正畸在反颌和偏颌治疗中的目标:
- 反颌掩饰: 主要目标是改善前牙区的“地包天”外观(建立正常覆颌覆盖),排齐牙齿,改善侧貌轮廓。
- 偏颌掩饰: 主要目标是改善面部中线对称性(尤其是牙列中线),调整咬合平面,使下颌在正中位时尽可能居中,改善面部不对称外观。
- 反颌(地包天) 是上下牙弓位置关系异常,上前牙在下前牙里面。
- 偏颌 是面部左右不对称,下巴偏离中线。
- 掩饰性正畸 是一种非手术的正畸方法,通过移动牙齿来“掩盖”骨骼性畸形(如反颌、偏颌),改善外观和部分功能,但无法改变骨骼本身。
- 关系: 反颌和偏颌常相伴出现,都是骨骼性或牙齿性的错颌畸形,掩饰性正畸是治疗这些畸形(尤其当手术不可行时)的一种重要但有限制的手段,其效果取决于畸形的严重程度和医生的技术水平。
重要提示: 如果你或你认识的人有反颌、偏颌等面部或牙齿问题,强烈建议咨询专业的正畸医生和口腔颌面外科医生,医生会进行全面检查(包括X光片、模型、面部分析等),评估骨骼和牙齿的具体情况,明确诊断,并讨论所有可行的治疗方案(包括正颌手术和掩饰性正畸),帮助你做出最适合自己情况的选择,不要自行判断或尝试掩饰性正畸,其复杂性和潜在风险需要专业评估。

