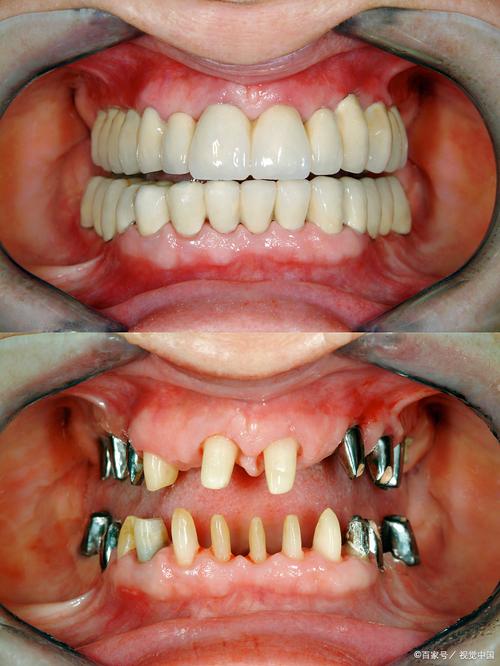
种植牙是目前最接近天然牙的牙齿修复方式,但它并非100%等同于天然牙,它在很多方面都能达到“像真牙一样”的效果,但存在一些根本性的差异。
以下从几个关键方面进行对比,帮助你理解种植牙和天然牙的异同:

🦷 一、高度相似之处(像真牙一样的地方)
-
外观与美观度:
- 牙冠: 种植牙的牙冠(通常是全瓷或烤瓷)可以根据你邻牙的颜色、形状、大小进行高度定制,达到以假乱真的效果,在美观度上,肉眼很难区分。
- 牙龈形态: 成功的种植手术和修复,能塑造出与天然牙相似的牙龈轮廓,让整体看起来非常自然。
-
功能与咀嚼效率:
- 咀嚼力: 种植体(人工牙根)与牙槽骨形成牢固的骨结合(Osseointegration),能承受强大的咀嚼力,咀嚼效率非常高,通常能达到天然牙的90%以上甚至更高,足以满足日常饮食需求。
- 稳定性: 植入在牙槽骨内的种植体提供稳固的支撑,牙冠不会像活动假牙那样松动或脱落,说话、进食都非常自信。
-
使用感受:
- 无异物感: 种植牙是固定在口腔内的,没有基托、卡环等部件,没有异物感,感觉就像自己长出来的牙一样。
- 发音: 由于固定稳固,不会影响发音,与天然牙无异。
-
维护方式:
(图片来源网络,侵删)- 日常清洁: 种植牙需要像对待天然牙一样,每天刷牙、使用牙线(或牙缝刷、冲牙器)进行清洁,以维护种植体周围组织的健康。
- 定期复查: 需要定期(通常每3-6个月或遵医嘱)到牙医处进行专业检查和洁治(洗牙),特别是种植体周围组织的检查和维护至关重要。
🧬 二、根本性的差异(与真牙不一样的地方)
-
结构与生物学基础:
- 天然牙: 有牙根(通过牙周韧带与牙槽骨相连)、牙髓(包含神经、血管、淋巴管),具有感觉(冷热酸甜刺激)、营养和防御功能,牙周韧带能缓冲咀嚼力。
- 种植牙: 没有牙髓(因此没有感觉),无法感知冷热酸甜刺激,种植体是直接与牙槽骨形成骨结合(一种类似愈合的紧密连接),没有牙周韧带,这意味着:
- 无感觉: 种植牙本身不会感到疼痛或不适(除非周围组织发炎),如果咬到硬物或用力过猛,种植体周围组织可能受损,但种植牙本身不会“提醒”你。
- 缓冲能力弱: 缺乏牙周韧带的缓冲,过大的咬合力可能直接传递到种植体和牙槽骨上,长期可能增加骨吸收或种植体周围炎的风险。
-
维护的侧重点与风险:
- 天然牙: 主要风险是龋齿(蛀牙)、牙周病(牙龈炎、牙周炎)、牙髓炎、根尖周炎等,龋齿可以通过补牙治疗。
- 种植牙:
- 种植体周围炎: 这是种植牙最主要的长期风险,类似于天然牙的牙周病,是由于细菌感染导致种植体周围软硬组织发炎、破坏,最终可能导致种植体松动、脱落。预防的关键在于极其严格的口腔卫生维护和定期专业复查清洁。
- 无龋齿风险: 种植体(钛或锆)本身不会蛀牙,但连接种植体和牙冠的基台(如果位于龈下)以及牙冠的边缘是细菌容易堆积的地方,如果清洁不到位,可能引发炎症或导致美观问题,牙冠材料(全瓷)本身也不会蛀,但边缘密合度差也可能导致继发龋(如果下方有天然牙结构残留)。
- 机械并发症: 牙冠可能崩瓷、开裂,或螺丝松动、折断,这些相对容易修复或更换。
- 种植体失败: 极少数情况下,种植体可能无法与骨结合(骨结合失败)或后期松动脱落,可能需要重新种植。
-
寿命与耐久性:
- 天然牙: 在健康维护下可以伴随终身,但受到龋齿、外伤、严重磨损等因素影响,可能提前脱落。
- 种植牙:
- 种植体: 在良好的口腔卫生和维护下,成功率非常高(95%以上),长期存活率也很高(10年可达90%以上,20年可达80%以上甚至更高),理论上可以伴随终身。
- 牙冠: 作为机械部件,其寿命相对有限,通常在10-15年左右,可能因磨损、崩瓷、边缘不密合等原因需要更换,更换牙冠比重新种植要简单得多。
-
手术与时间:
(图片来源网络,侵删)- 天然牙: 不需要手术。
- 种植牙: 需要外科手术将种植体植入牙槽骨,通常需要3-6个月的骨结合期(有时可即刻负重或即刻种植),之后才能安装牙冠,整个治疗周期较长。
- 种植牙是目前最理想的牙齿缺失修复方式,在美观、功能、稳定性、使用感受上,都能达到“像真牙一样”甚至超越活动义齿的效果。 对于单颗牙缺失、多颗牙缺失或全口牙缺失,它都是首选。
- 但种植牙并非天然牙:
- 没有感觉(无神经)。
- 没有牙周韧带,缓冲能力较弱。
- 主要风险是种植体周围炎(需要极其严格的维护),而非蛀牙。
- 牙冠作为机械部件有使用寿命限制。
- 需要外科手术和较长的治疗周期。
种植牙非常接近天然牙,在绝大多数日常使用场景下,感觉和效果就像真牙一样,它是目前科技水平下,最理想的牙齿替代品,它本质上仍是人工修复体,在生物学结构、感觉、维护重点和长期风险方面,与天然牙存在根本性差异。
可以说“种牙像真的真牙一样”在功能和外观体验上是非常贴切的描述,但理解其与天然牙的本质区别,并认识到严格维护的重要性,对于长期成功至关重要。 如果你考虑种植牙,务必选择经验丰富的种植医生,并严格遵守医嘱进行维护。💪🏻
