是的,南京鼓楼医院完全可以进行种植牙手术。
以下是关于在南京鼓楼医院种植牙的详细信息:

-
医院资质与实力:
- 南京鼓楼医院是江苏省内顶尖的三级甲等综合医院,拥有强大的综合医疗实力和先进的医疗设备。
- 其口腔科(或口腔颌面外科) 是医院的重点科室之一,技术力量雄厚,医生经验丰富,在口腔疾病诊疗、口腔颌面外科手术等方面具有很高的声誉。
-
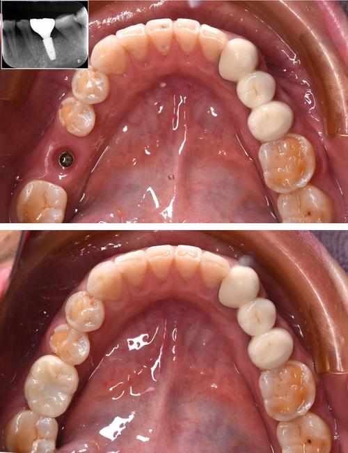
种植牙服务:
- 南京鼓楼医院的口腔科(或口腔颌面外科)常规开展种植牙业务。
- 通常设有专门的种植中心或种植牙团队,配备经验丰富的口腔种植专科医生。
- 医院拥有进行种植牙手术所需的先进设备,如CBCT(锥形束CT)、数字化口扫仪、手术室等,能够精准评估牙槽骨条件,制定个性化种植方案,并确保手术的安全性和成功率。
-
优势:
- 技术可靠: 作为大型三甲医院,其医疗技术、设备、消毒流程等都有严格保障,种植手术的安全性高。
- 医生专业: 种植医生通常具有扎实的专业背景和丰富的临床经验,能够处理各种复杂的种植病例(如骨量不足、即刻种植、全口/半口种植等)。
- 综合实力强: 如果患者有全身性疾病(如糖尿病、心脏病等)可能影响种植手术,鼓楼医院强大的综合内科、麻醉科等科室可以提供强有力的支持,确保手术安全。
- 术后维护: 种植牙完成后,可以在医院进行定期的复查和维护,确保种植牙长期稳定使用。
-
就诊建议:
(图片来源网络,侵删)- 挂号: 建议通过南京鼓楼医院的官方渠道(官网、官方APP、微信公众号、电话预约等)提前挂号,选择口腔科或口腔颌面外科,并尽量选择种植牙专科医生或知名专家的号源,知名专家号源可能比较紧张,需提前规划。
- 初诊检查: 挂号后到口腔科就诊,医生会进行详细的口腔检查(包括视诊、探诊、拍片等,通常需要拍摄CBCT),评估您的口腔状况(缺牙位置、牙槽骨高度、宽度、密度、邻牙情况、咬合关系等)、全身健康状况,判断您是否适合种植牙以及适合哪种种植方案。
- 方案制定: 根据检查结果,医生会与您沟通,制定个性化的种植方案,包括种植体品牌、数量、手术方式、费用预估等。
- 预约手术: 方案确定并同意后,医生会为您安排手术时间。
- 术后复诊: 按照医嘱进行术后复查和牙冠修复(通常在种植体骨结合完成后进行)。
-
费用:
- 种植牙的费用因多种因素而异,包括:
- 种植体品牌(如瑞士Straumann、瑞典Nobel、美国Zimmer、韩国Osstem/Dentium等)
- 牙冠材料(全瓷、烤瓷等)
- 手术复杂程度(是否需要植骨、上颌窦提升等附加手术)
- 医生级别
- 作为三甲医院,其收费通常在合理范围内,符合国家物价部门规定,具体费用需在面诊后由医生根据您的实际情况告知。
- 种植牙的费用因多种因素而异,包括:
南京鼓楼医院是进行种植牙手术的可靠选择,凭借其强大的综合实力、专业的口腔种植团队、先进的设备和严格的质量控制,能够为患者提供安全、有效、高质量的种植牙服务。
建议您:
- 提前通过官方渠道挂号(口腔科/口腔颌面外科)。
- 初诊时详细沟通您的需求和期望。
- 配合医生完成各项检查,了解种植方案和风险。
- 选择适合自己情况和经济条件的种植体和牙冠。
如果您有全身性疾病,务必在初诊时告知医生,以便医生全面评估手术风险,祝您种植顺利!
