价格、方式、医生案例一文读懂,2025年最新政策与优惠指南
“牙齿不齐,不敢大笑”“矫正是不是很贵?”“拜博口腔靠谱吗?”……面对牙齿矫正的需求,你是否也有这样的困惑?作为连接口腔健康与自信笑容的重要桥梁,牙齿矫正已成为越来越多人的选择,而在众多口腔机构中,拜博口腔凭借全国连锁的品牌实力、专业的正畸团队和数字化技术,成为不少人的信赖之选,本文将围绕“拜博口腔牙齿矫正”核心,结合2025年最新医疗医保政策、价格体系、矫正方式、医生团队及案例效果,为你全方位解析,助你做出明智决策。
先明确:牙齿矫正≠“小折腾”,这些基础问题先搞懂
在深入了解拜博口腔之前,我们需要先厘清牙齿矫正的核心问题——为什么要矫正?矫正适合谁?医保能报销吗?

牙齿矫正的“刚需”与“改善”需求
牙齿矫正并非单纯“变美”,更是健康需求:
- 健康层面:解决牙齿拥挤(易导致蛀牙、牙周病)、龅牙(影响咬合,导致颞下颌关节紊乱)、地包天(阻碍咀嚼,甚至影响面部发育)等问题;
- 功能层面:改善发音、咀嚼效率,提升生活质量;
- 心理层面:整齐的牙齿能增强自信,改善社交形象。
矫正黄金年龄:青少年(12-18岁,恒牙列早期,颌骨仍发育,矫正效率高)是黄金期,但成年人同样可矫正(只要牙周健康,无严重骨性问题,任何年龄都可开始)。
2025年医保政策:牙齿矫正能报销吗?
这是用户最关心的问题之一。明确结论:目前大部分地区的医保(含职工医保、居民医保)不报销牙齿矫正费用。
原因在于:牙齿矫正属于“医疗美容”或“非疾病治疗”范畴(除非因严重牙齿不齐导致功能障碍,如咬合紊乱引发头痛、关节疼痛等,可能部分项目可尝试走医保“诊疗项目”报销,但实际操作中通过率极低)。

商业保险和机构分期政策可减轻负担:
- 部分商业保险(如高端医疗险)包含牙齿矫正报销,需具体看条款;
- 拜博口腔与多家金融机构合作,提供“免息分期”服务(如12期、24期免息),降低单次支付压力。
拜博口腔牙齿矫正:为什么值得选?3大核心优势解析
作为全国连锁的口腔医疗品牌,拜博口腔在牙齿矫正领域深耕20余年,积累了扎实的技术实力和用户口碑,其核心优势可概括为“专业团队+数字化技术+标准化服务”。
优势一:正畸医生团队——经验与资质双重保障
牙齿矫正的效果,70%取决于医生,拜博口腔的正畸团队严格遵循“三甲医院背景+硕士及以上学历+5年以上正畸经验”标准:
- 专家级配置:团队包含中华口腔医学会正畸专委会委员、隐适美/时代天使认证讲师、隐适美钻石/白金级医生(隐适美认证等级中,钻石级医生需完成300+例案例,代表行业顶尖水平);
- 细分领域专长:针对青少年、成人、骨性错颌等不同需求,有专门的医生组(如青少年早期干预专家、成人隐形矫正专家、复杂骨性矫正联合正颌外科团队等);
- 案例积累丰富:累计完成正畸案例超50万例,涵盖从简单排齐到复杂骨性矫正等各类病例,技术成熟度高。
优势二:数字化矫正技术——精准、高效、舒适
传统矫正依赖医生经验,而拜博口腔全面引入“数字化正畸体系”,实现“精准诊断-方案设计-矫正执行”全流程升级:

- 3D口扫+AI方案设计:用iTero口扫设备替代传统取模,5分钟获取牙齿3D模型,AI系统自动生成初步方案,医生结合患者面型、咬合习惯个性化调整,误差<0.1mm;
- 数字化导板技术:针对复杂病例(如种植体支抗、骨皮质切开等),通过3D打印导板精准操作,减少创伤,缩短矫正周期;
- 远程复诊监控:隐形矫正患者可通过拜博APP上传牙齿移动情况,医生实时跟踪调整方案,减少到院次数(尤其适合异地或忙碌的上班族)。
优势三:标准化服务流程——从咨询到维护,全程无忧
拜博口腔建立“1对1专属服务+终身维护”体系:
- 初诊阶段:含口腔检查(含CT、牙周检查)、方案设计(含3D效果预演)、价格透明化(无隐形消费),患者可“先看效果,再决定是否矫正”;
- 矫正阶段:每颗托槽粘接、每副牙套佩戴均由医生亲自操作,护士全程辅助,确保舒适度;
- 维护阶段:矫正结束后提供终身保持器免费调整服务(非人为损坏),定期回访跟踪牙齿稳定情况,降低复发风险。
拜博口腔牙齿矫正全方案:价格、方式、适用人群对比
“矫正方式怎么选?价格多少?”这是用户最关心的实操问题,拜博口腔提供多种矫正方式,满足不同需求,价格从1.5万到8万+不等,具体如下:
金属托槽矫正:性价比之选,适合预算有限者
- 特点:传统“钢牙”,通过金属托槽和弓丝施加力量,价格最低,技术成熟;
- 升级版:自锁金属托槽(如Damon自锁),减少弓丝与托槽摩擦,缩短矫正周期(约6-18个月),复诊间隔延长至6-8周,舒适度高于传统金属;
- 价格:传统金属1.5万-2.5万;自锁金属2万-3.5万;
- 适用人群:牙齿拥挤、不齐较轻,预算有限的学生党或青少年。
陶瓷托槽矫正:兼顾美观与性价比,适合对“美观”有初步需求者
- 特点:托槽为透明陶瓷材质,接近牙齿颜色,比金属更隐形,强度高,不易染色;
- 注意:弓丝仍为金属,远观可见,且陶瓷托槽硬度较高,可能磨损牙釉质(需医生选择软性托槽);
- 价格:2.5万-4万;
- 适用人群:职场新人、教师等,需一定美观度,但预算不足以选择隐形矫正。
隐形矫正:美观舒适首选,适合成人、白领
- 特点:通过透明牙套(如隐适美、时代天使、正雅)逐步移动牙齿,可自行摘戴,不影响饮食、刷牙,几乎完全隐形;
- 品牌细分:
- 进口隐适美:品牌知名度高,材料弹性好,适合复杂病例,价格3.5万-8万;
- 国产时代天使/正雅:性价比高,针对亚洲人牙齿设计,复杂程度适中,价格2.5万-5万;
- 矫正周期:12-24个月,复诊间隔4-6周;
- 适用人群:成人、对美观要求高、牙齿拥挤/稀疏/轻度龅牙等。
舌侧矫正:隐形天花板,适合追求极致美观者
- 特点:托槽粘接在牙齿内侧(舌侧面),完全从外部看不到,是“隐形”的终极形态;
- 技术门槛:对医生技术和设备要求极高(需数字化设计托槽位置),价格昂贵;
- 价格:5万-10万+;
- 适用人群:演员、主播等对形象要求极高,且预算充足者。
儿童早期干预矫正:抓住“黄金干预期”,降低成人矫正难度
- 特点:针对替牙期儿童(7-10岁),通过功能性矫治器(如MRC、罗慕)引导颌骨发育,纠正口呼吸、地包天、龅牙等,避免错颌加重;
- 优势:利用儿童颌骨发育潜力,简化成人矫正难度,甚至避免成年后正颌手术;
- 价格:1.5万-3万(根据矫治器类型);
- 适用人群:替牙期存在地包天、下颌后缩、牙列严重拥挤、口呼吸等问题的儿童。
真实案例分享:从“牙齿拥挤”到“自信笑容”,他们这样改变
为了让更直观感受矫正效果,分享3个拜博口腔的真实案例(已获患者授权,使用化名):
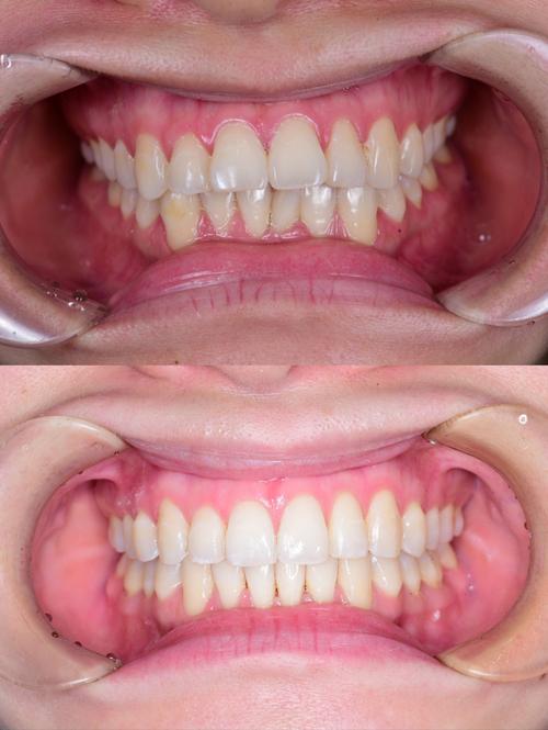
案例1:大学生小林——传统金属矫正,1年半收获整齐牙齿
- 背景:21岁女大学生,牙齿严重拥挤,上门牙部分扭转,不敢露齿笑;
- 方案:传统金属自锁托槽矫正+拔牙4颗(为拥挤牙齿排齐空间);
- 过程:矫正12个月后牙齿排齐,6个月精细调整咬合,总周期18个月;
- 效果:牙齿整齐,咬合关系改善,笑容自然开朗,小林反馈:“现在拍照敢露齿了,整个人都自信了!”
案例2:职场人王先生——隐适美隐形矫正,悄悄变美不影响工作
- 背景:28岁程序员,牙齿稀疏,轻度龅牙,担心“钢牙”影响形象;
- 方案:隐适美隐形矫正(拔牙2颗+邻面去釉);
- 过程:每天佩戴牙套20小时以上,每副牙套戴1周,复诊时医生通过APP监控牙齿移动情况,矫正周期20个月;
- 效果:牙齿排列整齐,龅牙内收,侧脸线条更柔和,同事都没发现他在矫正,“隐形矫正真的太适合上班族了!”
案例3:儿童朵朵——早期干预矫正,避免“地包天”加重
- 背景:8岁女孩,下牙包住上牙(地包天),且有口呼吸习惯;
- 方案:罗慕矫治器早期干预,引导上颌骨发育,抑制下颌骨过度生长;
- 过程:佩戴1年后地包天改善,6个月保持观察,7岁开始替牙期,后续无需复杂矫正;
- 效果:牙齿咬合正常,口呼吸习惯纠正,面型改善明显,妈妈说:“幸好早点干预,不然孩子长大后会更自卑!”
2025年拜博口腔牙齿矫正最新优惠与预约指南
为帮助更多人实现“整齐牙齿”梦想,拜博口腔2025年推出多项优惠活动,结合“线上预约+线下体验”模式,方便用户选择:
最新优惠活动(具体以门店为准)
- 初诊福利:19.9元抢“牙齿矫正检查套餐”(含口腔检查、3D口扫、方案设计,原价300元);
- 学生党专享:凭学生证享金属矫正立减2000元,隐形矫正立减5000元;
- 家庭套餐:两人及以上同时矫正,每人再减1000元;
- 老带新奖励:老用户推荐新用户,双方各获500元代金券(可用于正畸或洗牙等项目)。
预约方式(3步搞定,省时省心)
- 线上预约:关注“拜博口腔”官方公众号→点击“在线咨询”→选择“牙齿矫正”→填写信息(姓名、电话、城市)→等待客服联系确认时间;
- 电话预约:拨打全国统一客服400-001-3366,提供“牙齿矫正”需求,就近安排门店;
- 到院咨询:直接前往拜博口腔全国600+门店(覆盖北京、上海、广州、深圳等30+城市),现场与医生沟通。
选择拜博口腔的3个“避坑”提醒
- 认准“医生资质”:矫正前务必查看医生执业证书、正畸专科培训经历、案例数量(要求医生展示相似案例效果);
- 警惕“低价陷阱”:低于市场价的“超低价矫正”(如金属矫正低于1万)可能存在“隐形消费”(如拔牙费、保持器费额外收取),务必签订“价格协议”;
- 重视“方案沟通”:好的方案需结合“牙齿功能、面型美观、个人需求”,拒绝“千篇一律”的模板方案,要求医生详细讲解矫正步骤、预期效果、风险及应对措施。
牙齿矫正是一笔“健康+自信”的投资,选对机构是关键
牙齿矫正不仅是“排齐牙齿”,更是对长期健康和生活质量的投入,拜博口腔凭借专业的医生团队、数字化技术、标准化服务和透明的价格体系,成为值得信赖的选择,2025年,无论是青少年早期干预,还是成人隐形矫正,拜博口腔都能提供个性化解决方案,让你在轻松舒适的过程中,收获一口整齐好牙和自信笑容。
最后提醒:矫正前务必到院进行详细检查(含CT、牙周评估),结合自身情况选择方案,现在预约还可享受初诊优惠,赶紧行动起来,开启你的“笑容蜕变之旅”吧!
