关于拔牙正畸前后脸型变化图,我理解你想直观了解这种治疗方式对面部轮廓的影响,确实,拔牙正畸是改变脸型效果最显著的正畸方式之一,但请务必注意以下几点:
📌 核心要点(非常重要!)
- 个体差异巨大: 每个人的骨骼结构、肌肉厚度、软组织弹性、拔牙数量和位置、移动牙齿的幅度、原有牙齿和面部基础都不同。不存在两张完全相同的脸,也没有一个“标准”的拔牙正畸脸型变化图能适用于所有人。
- 核心原理: 拔牙正畸的核心目的是解决严重的牙齿拥挤或前突(龅牙),通过拔除通常是一颗或四颗前磨牙(最常见的是上颌第一或第二前磨牙),为内收前牙(尤其是门牙)创造空间。牙齿的内收会带动覆盖在牙齿和牙槽骨上的牙龈、肌肉、皮肤等软组织发生相应变化。
- 主要变化区域:
- 侧面轮廓(最显著):
- 改善“嘴凸”(龅牙): 这是拔牙正畸最主要、最直观的效果,门牙和前牙整体向口腔内移动,减少了嘴唇的突度,使侧面线条更流畅、更柔和,下巴看起来更明显(相对而言)。
- 改善“凸嘴”伴下巴后缩: 对于牙齿前突导致下巴看起来后缩的情况,内收牙齿后,下巴的相对位置会前移,侧面轮廓更协调。
- 鼻唇角改善: 门牙内收后,上唇基点(上唇与牙齿交接点)可能后移,使得鼻唇角(鼻子与上唇形成的夹角)增大,显得更自然、更美观。
- 中面部(颧骨下方):
- 可能略微内收: 整个牙弓(包括后牙)可能会轻微内收,可能导致中面部(颧骨下方到嘴角区域)有非常轻微的收紧感,但这通常不是主要目标,且变化非常细微,有时甚至不明显。
- 下颌角(腮帮子):
- 通常不会变小: 拔牙正畸的主要目标是移动牙齿,不是直接改变下颌骨的形状或大小,如果下颌角宽大,主要是由骨骼和咬肌决定的,正畸本身无法缩小下颌角。
- 可能略微改善“嘟嘟脸”: 对于因牙齿严重前突导致下唇和下巴肌肉代偿性前突、显得面部“膨胀”或“嘟嘟”的情况,牙齿内收后,这种膨胀感会减轻,面部线条可能更紧致一些,但这并非直接缩小了骨骼或肌肉。
- 下巴:
- 相对位置改善: 如前所述,对于下巴后缩者,牙齿内收后下巴的相对位置会前移,显得更突出,但绝对大小不会改变。
- 侧面轮廓(最显著):
- 不会导致“脸塌”或“显老”: 这是常见的误解,专业的正畸医生会谨慎设计拔牙方案,确保在解决牙齿问题的同时,维持甚至改善面部支撑,内收牙齿是整体移动,不会造成局部塌陷,只要不是过度内收或拔除过多牙齿(现代正畸极少需要),面部饱满度通常能维持,甚至因咬合改善、肌肉放松而显得更年轻。
- 效果取决于医生技术: 拔牙方案的设计、牙齿移动的精确控制、支抗的运用、面部软组织的反应等,都高度依赖正畸医生的专业技术和经验,优秀的医生能最大化正效果,最小化风险。
📸 如何寻找和参考“拔牙正畸前后脸型变化图”?
-
最可靠来源:正规医疗机构和医生案例库
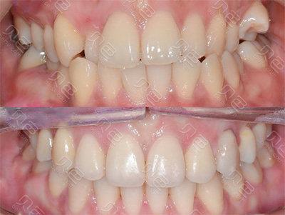
(图片来源网络,侵删)- 大型口腔医院/诊所的正畸科官网/公众号: 很多医院或知名诊所会在官网或公众号展示经过患者同意的真实案例对比图(包括正面、侧面、45度角照片),这些图片通常有详细的诊断、治疗方案说明和变化分析,可信度最高。
- 正畸医生的个人网站/社交媒体: 一些有口碑的正畸医生会在其个人网站、微博、小红书等平台分享案例。注意甄别来源是否专业、案例是否真实完整。
- 专业医学期刊/学术会议: 更学术化的图片,可能不够直观,但科学性强。
-
参考平台(需谨慎甄别)
- 知乎、豆瓣小组等: 搜索关键词如“拔牙正畸”、“正畸脸型变化”、“龅牙矫正”,会有很多真实的患者分享经历和前后对比图。务必注意:
- 个体差异: 看到别人的效果不代表你也能达到。
- 图片质量: 光线、角度、表情、妆容、发型等都会影响观感。
- 时间点: 前后照片拍摄时间间隔、拍摄角度是否一致。
- 信息真实性: 部分分享可能存在夸大或片面性。
- 某些医美平台(如新氧、更美等): 搜索“正畸”、“牙齿矫正”。极度谨慎! 这些平台主要面向医美,正畸案例可能混杂,且存在过度营销、图片美化、甚至P图的可能,务必以专业医疗机构的信息为准。
- 知乎、豆瓣小组等: 搜索关键词如“拔牙正畸”、“正畸脸型变化”、“龅牙矫正”,会有很多真实的患者分享经历和前后对比图。务必注意:
-
关键观察点(看图时注意):
- 侧面轮廓线: 重点看嘴唇(尤其是上唇)的突度变化,下巴的相对位置变化,鼻唇角的变化。
- 中面部饱满度: 看颧骨下方区域是否有明显凹陷(正常情况下不应有)。
- 下颌角轮廓: 看腮帮子是否有明显缩小(通常不会有显著变化)。
- 笑容变化: 牙齿排列整齐、咬合改善对笑容美观度的提升。
- 整体协调性: 面部各部分比例是否更和谐。
📌 给你的建议
- 明确你的核心诉求: 你主要是想解决牙齿问题(拥挤、不齐、龅牙),还是对面型有特定担忧(如嘴凸、下巴后缩)?拔牙正畸是解决严重牙齿问题的有效手段,脸型改善是伴随效果。
- 寻求专业评估: 最重要的一步! 去正规口腔医院或诊所找专业的正畸医生进行面诊,医生会:
- 拍摄X光片(头颅侧位片、全景片等)。
- 取牙齿模型。
- 进行全面的口腔检查和面部分析。
- 根据你的具体情况(牙齿问题、骨骼情况、面部基础、软组织厚度等)判断你是否需要拔牙、拔哪几颗、拔牙后能达到什么样的效果(包括对脸型可能的影响)。
- 向你展示与你情况相似的真实案例对比图(这是最有参考价值的)。
- 充分沟通: 和医生详细讨论你的期望和担忧,了解拔牙的必要性、具体方案、风险、预期效果以及可能的替代方案(如不拔牙能否达到理想效果)。
- 管理预期: 理解拔牙正畸的主要目标是健康和功能(牙齿整齐、咬合稳定),脸型改善是附加的、因人而异的效果,不要期望变成另一个人,而是追求更协调、更自然的自己。
- 选择经验丰富的医生: 拔牙正畸技术要求高,选择有大量成功案例、口碑好的正畸医生至关重要。
拔牙正畸确实能显著改善因牙齿严重拥挤或前突导致的“嘴凸”问题,使侧面轮廓更流畅、下巴相对更突出,对笑容美观度提升巨大,但它不是整形手术,不能改变骨骼结构(如下颌角大小),也不会导致脸塌或显老(在专业操作下)。
最可靠的信息和图片参考来源,是你面诊时正畸医生提供的、与你情况相似的、真实的案例资料。 请务必以专业医生的评估和建议为准,不要仅凭网络图片做决定,希望你能找到最适合自己的正畸方案,拥有健康整齐的牙齿和更自信的笑容!😊


