正畸治疗中是否在5个月时更换方丝,不能简单地用“快”或“慢”来评判,这完全取决于你个人的牙齿状况、治疗计划以及医生的具体判断。
以下是详细分析:

📍 1. 正畸治疗的基本流程(简化版)
- 初期排齐与整平: 通常使用较细的圆形镍钛丝(或超弹性丝),目的是将拥挤或扭转的牙齿排齐,并将咬合平面整平,这个阶段一般需要 3-6个月,有时更长。
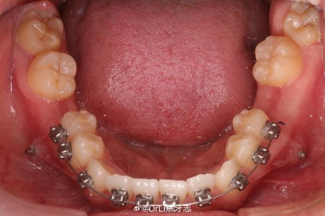
- 关闭间隙与精细调整: 当牙齿基本排齐后,医生会开始使用方形丝(方丝),方丝具有更好的刚性和三维控制能力(能控制牙齿的舌倾/颊倾、转矩、旋转等),用于:
- 关闭拔牙后留下的间隙(如果需要拔牙)。
- 调整牙齿的倾斜度和转矩,使牙齿达到理想的最终位置和咬合关系。
- 精细调整咬合。
- 保持阶段: 治疗结束后,需要佩戴保持器维持效果。
📍 2. 5个月时换方丝意味着什么?
- 排齐阶段可能已完成: 5个月的时间点,如果你的牙齿原本拥挤不严重,或者移动速度较快,排齐和整平阶段可能已经基本完成,这时更换方丝是正常且常见的步骤,标志着治疗进入了更精细、更关键的调整阶段。
- 治疗进度较快(相对而言): 对于排齐阶段来说,5个月完成算是比较顺利的进度,说明牙齿对矫正力的反应良好,移动效率较高,从这个角度看,可以说进度“快”了。
- 并非绝对“快”: 如果你的牙齿非常拥挤,或者存在严重的扭转、深覆合深覆盖等问题,排齐阶段可能需要6个月甚至更长时间,那么5个月换方丝,对你个人情况来说,可能就是“刚刚好”甚至“有点早”了(但医生如果决定换,一定有理由)。
📍 3. 医生决定何时换方丝的依据
医生不会只看时间,会综合评估:
- 牙齿排齐程度: 是否还有明显的拥挤或扭转?牙齿是否基本在牙弓线上?
- 咬合整平程度: 上下颌的咬合平面是否相对平整?
- 牙齿移动的反应: 对初始弓丝的反应是否良好?移动是否达到预期?
- 治疗计划: 是否需要拔牙?拔牙间隙是否准备好开始关闭?是否需要开始调整咬合关系?
- 个体差异: 年龄、骨骼状况、牙齿移动速度等。
📍 4. 换方丝的时机是否合适?
- 合适的情况: 如果医生检查后认为你的牙齿已经达到了更换方丝的标准(排齐整平良好),那么5个月换方丝是非常合理且必要的,这表明治疗进入了高效期,方丝能更好地控制牙齿向最终目标移动,反而可能缩短后续的精细调整时间。
- 可能偏早的情况: 如果牙齿还有明显的拥挤未解决,或者某些关键牙齿位置还没到位,医生强行换方丝,可能会导致:
- 牙齿移动效率降低甚至停滞。
- 增加不适感。
- 增加后续调整难度和时间。
- 影响最终效果。
- 可能偏晚的情况: 如果牙齿已经排齐很久了(比如超过6个月),医生迟迟不换方丝,可能会延迟进入高效的间隙关闭和精细调整阶段,延长总疗程。
📍 总结与建议
- 5个月换方丝是可能的,且对于排齐顺利的患者来说,是正常的进度。 它标志着治疗从“粗放排齐”进入了“精细调整”阶段。
- 关键在于医生的专业判断。 医生会根据你牙齿的实际状况和治疗效果来决定是否换方丝。“快”或“慢”是相对的,核心是“是否到了合适的时机”。
- 不要单纯以时间长短来判断进度好坏。 重要的是牙齿是否在按照治疗计划向目标移动。
- 与你的正畸医生充分沟通: 这是最重要的!你可以直接问医生:
- “医生,我现在换方丝,是因为我的牙齿已经排齐了吗?”
- “换方丝后,我们接下来的治疗重点是什么?”
- “您觉得我目前的进度是快、慢还是正好?”
- “换方丝后需要注意什么?”
正畸5个月时更换方丝完全可能,并且对于排齐顺利的患者来说,是合理的进度,它不代表治疗“快”了,而是治疗进入了新的阶段。请务必信任并遵循你的正畸医生的专业判断,他是根据你牙齿的具体情况做出这个决定的。 有任何疑问,及时与医生沟通是最佳选择。💪🏻

