诊断与风险评估的精细化
-
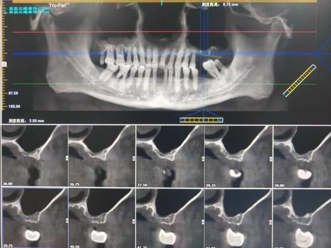
锥形束CT(CBCT)的普及与标准化应用:
- 核心进展: CBCT已成为评估上颌窦与牙根关系的金标准,它提供三维立体图像,清晰显示:
- 上颌窦底形态(平坦、凹陷、气化程度)。
- 牙根与窦底的距离(关键指标)。
- 牙根是否已穿入窦腔(穿孔大小、位置)。
- 窦内粘膜厚度、是否有炎症或囊肿。
- 骨量评估(种植或正畸移动所需)。
- 研究热点:
- 定量分析: 开发软件自动测量骨厚度、窦底最低点位置、牙根-窦底距离等参数,建立风险预测模型。
- 动态评估: 利用CBCT追踪正畸移动过程中牙根位置的变化和骨改建情况。
- 辐射剂量优化: 探索低剂量CBCT扫描方案,在保证诊断质量的前提下减少患者辐射暴露。
- 核心进展: CBCT已成为评估上颌窦与牙根关系的金标准,它提供三维立体图像,清晰显示:
-
数字化模型与影像融合:
(图片来源网络,侵删)- 核心进展: 将口内扫描获取的数字化牙颌模型与CBCT影像进行精确配准融合。
- 研究热点:
- 可视化模拟: 在三维空间中直观模拟牙齿移动路径,预测牙根与上颌窦壁的潜在接触或穿通风险。
- 虚拟手术规划: 对于需要手术干预(如开窗术)的病例,进行术前虚拟规划,提高精准度。
正畸治疗策略的优化与创新
-
安全移动范围的界定与生物力学控制:
- 核心进展: 基于CBCT研究,明确了不同个体、不同牙位(第一磨牙、第二磨牙)在正畸移动时与上颌窦的安全距离阈值(通常认为牙根尖与窦底距离<1-2mm为高风险)。
- 研究热点:
- 轻力矫治: 强调使用持续、轻柔的矫治力(如镍钛丝、微种植体支抗),减少牙根吸收和骨创伤风险。
- 倾斜移动 vs. 整体移动: 对于骨量不足或牙根接近窦底的病例,研究倾斜移动(减少根尖移动距离)的可行性及长期稳定性。
- 分段移动: 对于复杂病例,采用分阶段移动策略,逐步调整位置,降低单次移动风险。
-
微种植体支抗的应用与安全性:
- 核心进展: 微种植体支抗为控制上颌后牙(尤其是需要远中移动或压低)提供了强有力的支抗,避免了传统支抗(如口外弓、Nance弓)的依赖。
- 研究热点:
- 植入位点优化: 基于CBCT精确设计植入位置,避开上颌窦、牙根和重要神经血管,颧牙槽嵴区、上颌结节区是常用安全区域。
- 即刻负载 vs. 延迟负载: 研究微种植体植入后即刻负载的成功率和稳定性。
- 并发症预防: 如何避免微种植体植入时或负载后损伤上颌窦(如穿通、感染)。
-
上颌窦开窗术与正畸联合治疗:
- 核心进展: 对于牙根已穿入或严重接近上颌窦底,且需要显著移动(如远中移动、压低)的病例,采用上颌窦底提升术(开窗术)创造骨空间,为安全移动提供保障。
- 研究热点:
- 时机选择: 开窗术与正畸移动的先后顺序(先开窗后移动 vs. 先移动后开窗)及其优缺点。
- 骨增量材料: 研究不同骨移植材料(自体骨、异体骨、人工骨)在上颌窦开窗术后正畸移动过程中的稳定性和骨改建效果。
- 愈合与移动间隔: 确定开窗术后骨愈合所需的最短时间,以及何时开始正畸移动最为安全有效。
-
数字化导板辅助的正畸治疗:
(图片来源网络,侵删)- 核心进展: 利用3D打印技术制作个性化正畸导板,辅助复杂病例的牙齿移动。
- 研究热点:
- 安全移动导板: 设计导板精确控制牙齿移动路径和幅度,确保牙根不进入上颌窦。
- 手术导板: 对于需要开窗术的病例,辅助精准的手术切口和开窗范围。
生物材料与再生医学的应用
-
引导骨再生技术在上颌窦区域的应用:
- 核心进展: 在上颌窦开窗术或正畸移动导致的骨缺损区域,应用GBR技术(骨移植+屏障膜)促进骨再生,为后续正畸移动或种植提供稳定骨支持。
- 研究热点:
- 新型生物材料: 研究具有骨诱导活性(如BMPs, PRP, 富血小板纤维蛋白PRF)的生物材料,提高骨再生效率和速度。
- 屏障膜技术: 优化可吸收膜的选择和应用,防止软组织长入骨缺损区。
-
组织工程学探索:
- 核心进展: 探索利用干细胞、生长因子和生物支架构建组织工程骨,修复上颌窦区域的大范围骨缺损。
- 研究热点: 虽然仍处于实验室和初步临床研究阶段,但为未来解决严重骨缺损问题提供了新思路。
临床指南与循证医学
- 风险分层管理: 基于大量临床研究和CBCT数据,建立更完善的上颌窦相关正畸风险分层系统,指导临床决策(如是否需要CBCT、是否需要手术干预、选择何种移动策略)。
- 多学科协作: 强调正畸医生、颌面外科医生、影像科医生、牙周病医生之间的紧密合作,制定综合治疗方案。
- 长期效果评估: 加强对采用复杂策略(如开窗术后正畸)治疗病例的长期随访研究,评估牙齿稳定性、骨维持情况和患者满意度。
总结与未来展望
上颌窦正畸牙研究的核心目标是:在保证正畸治疗效果的同时,最大程度地降低上颌窦相关并发症(如穿孔、感染、出血、骨吸收)的风险。
-
趋势:
(图片来源网络,侵删)- 精准化: 依赖CBCT和数字化技术实现个体化风险评估和治疗规划。
- 微创化: 探索更微创的手术方式(如内窥镜辅助开窗)和更轻柔的正畸力。
- 生物化: 应用先进的生物材料和技术促进骨再生,为安全移动创造条件。
- 智能化: 利用AI辅助诊断、风险预测和治疗方案优化。
- 一体化: 正畸、种植、修复的多学科联合治疗成为常态。
-
挑战:
- 降低CBCT辐射暴露。
- 优化复杂病例的治疗流程和成本效益。
- 提高生物材料在上颌窦环境中的长期稳定性和可预测性。
- 建立更广泛认可的循证临床指南。
上颌窦正畸牙研究正朝着更精准、更安全、更高效的方向发展,为解决这一临床难题提供了越来越多的科学依据和技术手段,临床医生需要持续关注这些进展,并结合患者的具体情况制定最优化的治疗方案。
