核心概念区别
-
全瓷冠桥修复:
- 原理: 这是一种固定桥修复,它利用两侧健康的天然牙齿(或种植体)作为“桥墩”(基牙),将一个或多个“假牙”(桥体)连接起来,粘固在基牙上。
- 关键点:
- 需要磨牙: 为了给牙冠腾出空间并获得固位力,必须磨小(预备)作为基牙的两侧天然牙齿,这是它最大的特点之一。
- 依赖邻牙: 修复体的稳定和咀嚼力完全依赖于两侧被磨小的基牙的健康状况。
- 修复范围: 主要用于少量牙缺失(通常1-3颗),且缺牙区两侧有健康的天然牙可以作为基牙,也可以用于单颗牙严重损坏(如大面积龋坏、牙根折裂)后,用全瓷冠保护起来(此时是单冠,不是桥)。
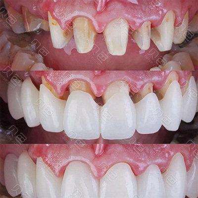
- 材料: “全瓷”指的是整个修复体(牙冠和桥体)都是由陶瓷材料制成,不含金属基底,美观性和生物相容性极佳。
-
种植牙修复:
(图片来源网络,侵删)- 原理: 这是一种种植义齿修复,通过外科手术,将一个纯钛或钛合金制成的“人工牙根”(种植体) 植入缺失牙位置的牙槽骨内,待种植体与牙槽骨牢固结合(骨结合)后,在种植体上安装基台,再在基台上安装牙冠(可以是全瓷冠)。
- 关键点:
- 不磨邻牙: 不需要磨小任何健康的天然牙齿,种植体是独立支撑的。
- 独立修复: 每颗种植体可以独立支撑一颗牙冠,也可以通过基台连接修复多颗牙(如种植桥)。
- 修复范围: 适用于各种情况的牙缺失:单颗、多颗、半口、全口缺失,对于缺牙区没有足够健康邻牙的情况尤其适用。
- 基础要求: 需要足够的牙槽骨高度、宽度和密度来支持种植体,骨量不足可能需要植骨手术。
- 材料: 种植体主体是钛基合金,牙冠可以是全瓷、烤瓷等,但最常用且美观的是全瓷冠。
详细对比表格
| 特性 | 全瓷冠桥修复 | 种植牙修复 |
|---|---|---|
| 修复原理 | 固定桥,利用两侧天然牙作为基牙支撑桥体 | 种植体植入牙槽骨作为人工牙根,支撑牙冠 |
| 对天然牙的影响 | 必须磨小(预备)两侧作为基牙的天然牙 | 完全不磨除任何天然牙 |
| 修复独立性 | 依赖两侧基牙,基牙出问题会影响整个桥 | 每颗种植体独立支撑,互不影响(除非设计为桥) |
| 适用情况 | 少量牙缺失(1-3颗),两侧有健康天然牙基牙 | 各种牙缺失:单颗、多颗、半口、全口;无牙区 |
| 牙槽骨要求 | 对牙槽骨高度宽度要求相对较低(只要能容纳桥体) | 必须有足够健康的牙槽骨(高度、宽度、密度)支持种植体;骨量不足需植骨 |
| 手术需求 | 无需手术,主要是牙体预备和取模等口腔操作 | 需要外科手术植入种植体 |
| 治疗周期 | 相对较短:通常2-3次就诊,2-3周完成 | 较长:通常3-6个月或更久(含骨结合期),多次就诊 |
| 费用 | 相对较低(单颗或小跨度桥) | 较高(种植体+手术+牙冠),但长期看可能更经济 |
| 舒适度与异物感 | 初期可能有异物感,需适应 | 接近天然牙,异物感小,舒适度高 |
| 咀嚼功能 | 良好,但略逊于天然牙和种植牙 | 非常接近天然牙,咀嚼效率高 |
| 美观性 | 极佳(全瓷材料,通透性、色泽逼真) | 极佳(全瓷冠,与牙龈结合自然,无金属暴露) |
| 维护清洁 | 需使用牙线、牙缝刷等特殊工具清洁桥体下方 | 接近天然牙,正常刷牙、牙线、牙缝刷即可;种植体周围需特别注意清洁 |
| 使用寿命 | 相对较短:平均10-15年,基牙龋坏、牙周病、崩瓷等风险需更换 | 较长:维护得当可使用20年以上,甚至终身 |
| 主要风险/并发症 | 基牙敏感、龋坏、牙髓炎、牙周病、崩瓷、桥体折断、基牙松动脱落 | 手术风险(感染、神经损伤、出血等)、种植体周围炎、种植体失败(松动、脱落)、骨吸收、崩瓷 |
| 对邻牙保护 | 损害邻牙:磨牙导致牙体组织永久性损失 | 保护邻牙:不损伤任何天然牙 |
| 适应症限制 | 基牙必须健康且足够强壮;缺牙间隙不能过大 | 全身健康状况(严重未控糖尿病、骨质疏松、放疗史等需谨慎);口腔卫生习惯差者风险高;吸烟者成功率降低 |
如何选择?关键考虑因素
-
缺牙数量和位置:
- 缺1-3颗牙,且两侧有健康的好牙?冠桥是传统选择。
- 缺1颗牙,但不想磨邻牙?种植牙是更优选择。
- 缺多颗牙(尤其跨度大),或半口/全口缺牙?种植牙(尤其是种植桥、All-on-4/6等)是主流且效果更好的方案。
- 缺牙区后方没有牙齿(末端游离端)?种植牙是修复游离端缺牙的理想方式,而传统活动义齿舒适度差。
-
口腔状况:
- 邻牙健康状况: 如果邻牙本身有蛀牙、隐裂、牙周病或做过根管治疗且脆弱,磨牙风险很高,应优先考虑种植牙,如果邻牙非常健康且强壮,冠桥也是可行的。
- 牙槽骨条件: 这是种植牙的决定性因素,拍CT评估骨量,骨量充足,种植牙是首选,骨量不足,需要评估植骨的可行性、费用和风险,骨量严重不足且植骨困难或患者不愿植骨,则考虑活动义齿或冠桥(如果条件允许)。
- 口腔卫生: 种植牙患者需要极佳的口腔卫生习惯,否则易患种植体周围炎,冠桥也需要认真清洁,但种植牙清洁要求更高。
-
全身健康状况:
- 种植牙是手术,需要评估全身健康状况(如糖尿病控制情况、心脏病、凝血功能、免疫系统疾病、是否服用双膦酸盐类药物等),有严重系统性疾病者,需医生评估手术风险。
- 冠桥修复无手术风险,主要依赖口腔局部条件。
-
个人期望与经济能力:
(图片来源网络,侵删)- 舒适度与功能: 种植牙在舒适度、咀嚼功能、保护邻牙方面优势明显。
- 美观要求: 两者都能达到很好的美观效果(尤其全瓷冠)。
- 时间: 冠桥治疗周期短;种植牙周期长。
- 费用: 种植牙初期投入显著高于冠桥,但考虑到冠桥可能需要10-15年更换,以及磨牙带来的长期风险,从长期总成本和健康效益看,种植牙可能更划算。
- 维护意愿: 种植牙需要更精细的长期维护(定期专业洁治、家庭清洁)。
总结建议
- 种植牙是目前公认的最优修复方式之一: 它最大的优势在于不损伤邻牙、功能强大、舒适美观、使用寿命长,只要牙槽骨条件允许且全身健康状况允许,对于大多数缺牙情况(尤其是单颗缺牙、多颗缺牙、游离端缺牙、半口/全口缺牙),种植牙通常是首选推荐方案。
- 全瓷冠桥修复仍有其价值:
- 当缺牙数量少(1-3颗)且两侧有非常健康强壮的天然牙作为基牙时。
- 当患者因经济、时间或全身健康状况(无法耐受手术) 等原因无法选择种植牙时。
- 当单颗牙严重损坏需要保护时(全瓷冠)。
- 当牙槽骨条件极差且无法植骨时(但此时活动义齿也可能是选项)。
最重要的步骤:
- 咨询专业口腔医生(最好是种植专科医生或修复科医生): 进行全面的口腔检查,包括口腔检查、X光片(全景片)、CBCT(锥形束CT,精确评估骨量)。
- 充分沟通: 告诉医生你的期望、担忧、预算、时间安排、全身健康状况。
- 获取个性化方案: 医生会根据你的具体情况,分析两种方案的可行性、优缺点、风险、费用,并给出最适合你的个性化治疗建议。
没有绝对的好坏,只有是否适合,在专业医生的指导下,结合自身情况(口腔条件、全身健康、经济能力、个人期望),才能做出最明智的选择。

