种牙后戴牙冠是整个种植牙修复的最后一步,也是让种植体真正发挥功能、恢复美观和咀嚼的关键环节,这个过程通常在种植体植入后等待骨结合完成(一般需要3-6个月,具体时间因人而异)后进行。
以下是戴牙冠的详细步骤和注意事项:

📌 一、 前提条件:骨结合完成
- 关键点: 在戴永久牙冠之前,必须确保种植体与周围的牙槽骨已经牢固地结合在一起(即“骨结合”),这是种植牙成功的核心基础。
- 确认方式: 医生会通过临床检查(种植体无松动、无叩痛)和拍摄X光片(观察种植体周围骨密度、无透射影)来确认骨结合是否完成,只有确认骨结合良好,才能进行下一步。
📌 二、 戴牙冠的具体步骤
-
术前评估与准备:
- 检查: 医生会再次检查种植体周围软组织(牙龈)的健康状况,确保没有炎症、红肿或感染。
- 拍片: 可能会拍摄X光片,确认种植体位置、深度和周围骨情况。
- 沟通: 与您讨论牙冠的材质(全瓷、烤瓷、金属等)、颜色、形态,确保您的期望与医生的专业建议达成一致。
- 麻醉(可选): 通常在局部麻醉下进行,过程基本无痛,如果牙龈组织敏感或您紧张,医生可能会建议使用麻醉。
-
取模(印模):
- 目的: 制作一个精确的模型,用于技工室制作牙冠。
- 方法:
- 传统印模法: 使用专用的印模材料(如硅橡胶、藻酸盐)在您的口腔内取模,包括种植体基台(连接种植体和牙冠的中间部件)的形态和位置。
- 数字化取模(口内扫描): 这是目前更先进、更舒适的方法,医生使用口内扫描仪(如iTero, CEREC等)在您口内直接扫描,获取高精度的三维数字模型,无需传统印模材料,数据直接发送给技工所。
- 临时牙冠处理: 如果之前戴了临时牙冠,此时会将其拆除。
-
基台选择与试戴:
- 基台选择: 根据您的口腔情况、咬合关系和牙冠类型,医生会选择合适的基台(成品基台或个性化基台)。
- 试戴基台: 将选定的基台连接到种植体上,检查其高度、角度、位置是否合适,是否影响咬合和邻牙关系,必要时进行调整。
-
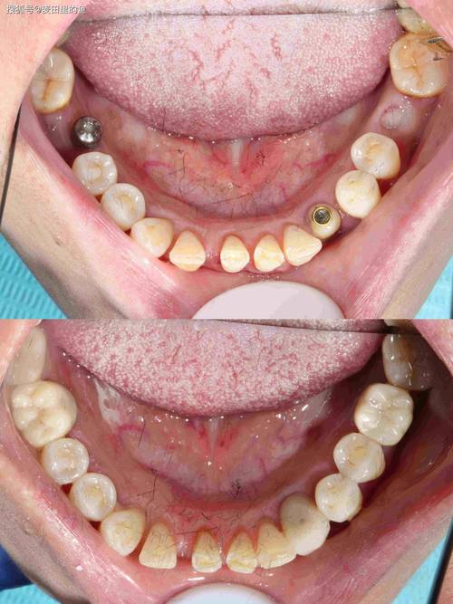
牙冠试戴(核心步骤):
(图片来源网络,侵删)- 目的: 在牙冠最终粘接或螺丝固位前,进行精细的调整,确保完美匹配。
- 过程:
- 将制作好的牙冠(通常是临时粘接在基台上)戴入基台。
- 检查密合度: 检查牙冠与基台、牙冠与邻牙、牙冠与对颌牙之间的接触点是否紧密、均匀,用探针检查边缘是否密合,没有缝隙。
- 检查咬合关系: 这是极其重要的一步!
- 让您做各种咬合动作(正中咬合、前伸咬合、侧向咬合)。
- 使用咬合纸(蓝色或红色薄纸片)检查咬合接触点。
- 医生会精确调整牙冠的咬合接触点,确保:
- 在正中咬合时,受力均匀分布,没有早接触点(某个点先受力)。
- 在前伸和侧向咬合时,避免有干扰性接触,保护种植体和周围组织。
- 检查颜色与形态: 在自然光下,仔细观察牙冠的颜色是否与邻牙协调、自然,形态是否符合您的脸型和微笑线。
- 检查边缘: 确保牙冠边缘与牙龈组织贴合良好,没有悬突或压迫牙龈。
- 调整: 如果发现任何问题(咬合高点、颜色不匹配、形态不自然、边缘不密合等),医生会进行相应的调整,有时可能需要将牙冠送回技工所进行修改,甚至重新制作(虽然较少见,但可能发生)。
-
最终固位:
- 清洁: 彻底清洁牙冠内壁、基台表面和种植体连接处。
- 固位方式选择:
- 粘接固位:
- 将牙冠内壁涂布专用的粘接剂(通常是树脂类)。
- 将牙冠戴入基台,施加轻微压力,确保就位。
- 去除多余的粘接剂(尤其牙龈边缘处,否则会刺激牙龈)。
- 使用光固化灯固化粘接剂。
- 优点: 表面光滑美观,无螺丝孔。缺点: 拆卸困难,若出现问题需破坏性拆除。
- 螺丝固位:
- 将牙冠通过中央的螺丝孔,用专用螺丝刀将牙冠固定在基台上。
- 拧紧螺丝至预设的扭矩值。
- 用与牙冠颜色相近的树脂材料封闭螺丝孔。
- 优点: 拆卸方便,便于日后维护和修理。缺点: 中央有螺丝孔,可能影响前牙美观(但后牙影响小),螺丝孔处可能微渗漏。
- 粘接固位:
-
术后检查与指导:
- 最终检查: 再次确认咬合关系、牙冠位置、牙龈状况。
- 清洁指导: 详细指导您如何使用牙线、牙缝刷、冲牙器等工具清洁牙冠和种植体周围,这是保证长期成功的关键。
- 饮食建议: 告诉您近期避免用该侧咀嚼过硬、粘性大的食物。
- 复诊安排: 告知您下次复诊的时间(通常在戴牙冠后1-2周,检查是否有不适或咬合问题),以及后续的定期复查计划(通常每6个月到1年一次)。
📌 三、 戴牙冠后的注意事项
- 饮食: 初期(1-2周)避免用修复侧咀嚼过硬、韧性大、粘性强的食物(如坚果、硬糖、口香糖、牛肉干等),之后可逐渐恢复正常饮食,但仍避免啃咬硬物(如螃蟹壳、骨头)。
- 口腔卫生: 至关重要!
- 刷牙: 认真刷牙,包括牙冠表面和牙龈交界处。
- 牙线/牙缝刷: 每天必须使用! 清洁牙冠与邻牙之间的缝隙,以及牙冠与牙龈之间的缝隙,牙缝刷对清洁种植体周围特别有效。
- 冲牙器: 使用冲牙器可以更有效地清洁牙缝和牙龈沟。
- 专业洁牙: 按时(通常每6个月)进行专业的牙周洁治和种植体维护清洁。
- 避免外力: 避免咬硬物、用牙开瓶盖等,防止牙冠崩瓷或种植体过载。
- 关注异常: 如果出现以下情况,立即联系医生:
- 牙冠松动或脱落。
- 咬合疼痛、酸痛或不适。
- 牙龈红肿、出血、流脓。
- 牙冠崩瓷、裂纹。
- 感觉咬合改变(如高、低)。
- 定期复查: 按时复诊,让医生检查牙冠状况、种植体周围骨组织、牙龈健康以及咬合关系。
戴牙冠是种植牙修复的“临门一脚”,需要医生的专业技术和您的密切配合,整个过程的核心在于精确的取模、精细的试戴调整(尤其是咬合)以及可靠的最终固位,戴牙冠后,良好的口腔卫生维护和定期复查是保证种植牙长期成功、发挥最佳功能的关键,请务必遵从医嘱,认真护理您的“新牙齿”💪🏻。

