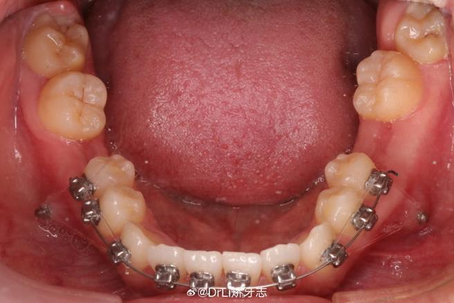
看到你的门牙被推簧顶歪了,我能理解你的焦虑!这种情况在正畸治疗中确实可能发生,但请别太担心,及时联系你的正畸医生是解决问题的第一步,推簧(螺旋弹簧)是正畸中常用的工具,用于打开间隙或移动牙齿,但如果力量控制不当、方向偏差或牙齿本身反应异常,就可能导致牙齿移动方向不理想,看起来“歪了”。
🧐 为什么会发生这种情况?
-
力量过大或方向偏差:
(图片来源网络,侵删)- 推簧施加的力量如果过大,或者力量没有精确地沿着牙齿移动的轴心方向施加,就容易导致牙齿发生倾斜、旋转或整体位置偏移,而不是单纯地按预期方向移动。
- 医生在放置推簧时,可能没有精确地定位在牙齿的“中心”,或者弹簧本身发生了变形、移位。
-
牙齿移动的“副作用”:
牙齿在移动过程中,尤其是在初期,可能会发生一些非预期的、轻微的倾斜或旋转,这是牙齿在适应新位置和受力时的自然反应,通常随着治疗的进展,这些“副作用”会被后续的弓丝或其他附件纠正回来。
-
附件问题:
如果牙齿上粘接的托槽或颊管(用于固定推簧的装置)在放置推簧时发生了松动、脱落或者位置不精确,也会导致推簧施加的力量方向错误,从而影响牙齿移动。
(图片来源网络,侵删) -
牙齿本身因素:
牙齿的牙根形态、牙周组织的健康状况、牙槽骨的密度等个体差异,也会影响牙齿对正畸力量的反应方式,有些牙齿可能更容易发生非预期的移动。
-
推簧本身问题:
推簧材质不均匀、变形、或者安装时没有完全展开到位,也可能导致力量施加不均。
🚑 你现在应该怎么做?
-
立即联系你的正畸医生: 这是最重要的一步! 不要自行尝试调整或拆除推簧,向医生详细描述情况:
- 是哪颗门牙(左上/右上/左下/右下)?
- 什么时候开始觉得歪了?是突然歪的,还是逐渐变化的?
- 有没有伴随疼痛、不适或牙齿松动?
- 推簧是否还在原位?看起来有没有变形或移位?
- 最近有没有吃过硬的食物或外力撞击?
-
尽快预约复诊: 医生需要亲自检查才能确定具体原因和严重程度,不要拖延,越早处理越好。
-
在复诊前注意:
- 保持口腔卫生: 继续认真刷牙,特别是门牙周围,避免食物残渣堆积引起炎症,可以使用牙线或冲牙器。
- 避免刺激: 尽量不要用舌头、手或其他东西去顶或拨弄那颗歪了的门牙和推簧,以免加重问题。
- 观察变化: 如果疼痛加剧、牙齿明显松动或移动速度过快,要立即联系医生。
🦷 医生可能会怎么做?
-
详细检查评估:
- 检查推簧的位置、形态、是否在位。
- 评估门牙的移动方向、倾斜角度、是否有旋转、松动度。
- 检查相关牙齿的托槽/颊管是否牢固、位置是否正确。
- 拍摄X光片(可能需要)了解牙根位置和牙槽骨情况。
- 询问你的感受和观察到的变化。
-
分析原因: 根据检查结果,判断是力量过大、方向偏差、附件问题还是牙齿本身的反应。
-
制定调整方案:
- 调整推簧: 如果推簧位置偏移或力量方向不对,医生可能会重新放置、调整推簧的角度或更换新的推簧。
- 更换附件: 如果托槽或颊管有问题,需要重新粘接。
- 改变矫治力: 可能需要减小推簧的力量,或者更换其他类型的矫治器(如更细的弓丝、橡皮圈等)来施加更柔和或更精确的力量。
- 增加辅助装置: 可能需要在牙齿上增加一些小的附件(如舌侧扣)来帮助控制牙齿移动的方向,防止倾斜或旋转。
- 等待观察: 如果判断是牙齿移动初期的轻微“副作用”,且在可控范围内,医生可能会选择暂时观察,相信后续的矫治步骤能将其纠正。
- 修改方案: 在极少数情况下,如果问题严重或复杂,医生可能需要重新评估整个治疗计划。
-
解释沟通: 医生会向你解释问题的原因、拟采取的解决方案以及预期效果。
📌 重要提醒
- 不要自行处理: 绝对不要自己尝试用工具调整推簧或牙齿,这极易造成牙齿损伤、疼痛甚至更严重的移动偏差。
- 保持耐心: 牙齿移动是一个缓慢的过程,有时需要时间来调整和纠正,相信你的医生,积极配合治疗。
- 沟通是关键: 在整个治疗过程中,有任何疑问或不适,都要及时与医生沟通。
正畸治疗就像在雕刻牙齿,每一毫米的移动都需要精确的力量和方向控制。 门牙被顶歪虽然令人担忧,但通过专业医生的及时调整,通常都能得到有效纠正。你的牙齿正在经历一场精密的旅程,偶尔的偏离是正常的,关键在于及时校准方向。 请务必尽快联系你的正畸医生,他们会帮你找到最适合的解决方案,祝你早日拥有一口整齐健康的牙齿!💪😊
