上颌后牙种植体偏腭侧(偏向口腔顶部方向)是一个需要关注的问题,它可能带来一系列的并发症和风险,以下是关于这个问题的详细分析:
🧩 一、为什么会出现上颌后牙种植体偏腭侧?
-
术前评估不足:
(图片来源网络,侵删)- 影像学检查不充分: 术前CBCT(锥形束CT)拍摄不准确或解读有误,未能精确评估牙槽骨的宽度、高度、密度、形态以及与邻牙、上颌窦、神经管等重要解剖结构的关系,特别是颊侧骨板厚度不足时,未能提前预判。
- 骨量评估错误: 未能准确判断牙槽骨的实际可用空间,尤其是颊侧骨量不足时,医生可能未充分意识到风险或低估了骨缺损的程度。
- 手术导板设计或使用不当: 如果使用了手术导板,导板的设计可能存在偏差,或者在手术过程中未能精确就位、固定牢固,导致最终种植位置偏离预定轨迹。
-
手术操作因素:
- 方向控制偏差: 在备洞过程中,钻头方向控制不精准,尤其是在较深的窝洞制备时,容易发生角度偏差,导致种植体最终偏向腭侧。
- 术野受限: 上颌后牙区(尤其是磨牙区)操作空间相对狭小,视野有时受限,尤其是在腭侧有腭大动脉/神经等结构时,医生操作可能更谨慎,容易偏向视野相对开阔的腭侧。
- 骨条件限制:
- 颊侧骨板薄/吸收: 上颌后牙区颊侧骨板通常比腭侧薄,更容易吸收,如果患者存在严重的颊侧骨吸收,种植体在植入时缺乏足够的骨支撑,容易向骨量相对较多的腭侧倾斜或偏移。
- 上颌窦底位置低: 上颌窦气化明显,底壁位置低,导致颊侧骨高度不足,种植体为了避开上颌窦或获得足够的初期稳定性,可能被迫偏向腭侧。
- 初期稳定性追求: 在骨条件不佳时,医生为了获得更好的初期稳定性,可能会选择在骨密度相对较高或骨量更充足的区域(有时是腭侧)植入,导致位置偏移。
- 经验不足: 年轻医生或对上颌后牙区解剖不熟悉的医生,操作时更容易出现方向控制失误。
-
患者自身因素:
- 牙槽骨严重吸收: 严重的牙周病或长期缺牙导致牙槽骨大量吸收,尤其是颊侧骨板菲薄或缺失,为种植体植入带来巨大挑战。
- 解剖变异: 个别患者上颌窦位置异常低、牙根形态异常(如弯曲)等,增加了手术难度和偏移风险。
⚠ 二、种植体偏腭侧可能带来的问题
-
咬合干扰与功能问题:
- 早接触: 偏腭侧的种植体牙冠可能与对颌牙或邻牙发生早接触,导致咬合不平衡,引起咀嚼疼痛、颞下颌关节紊乱(TMJ问题)。
- 侧向力过大: 种植体位置异常可能导致承受过大的非轴向力(侧向力),增加种植体周围骨的负担,长期可能影响种植体存活率和稳定性。
- 咀嚼效率下降: 不理想的咬合关系会影响咀嚼效率。
-
邻牙损伤:
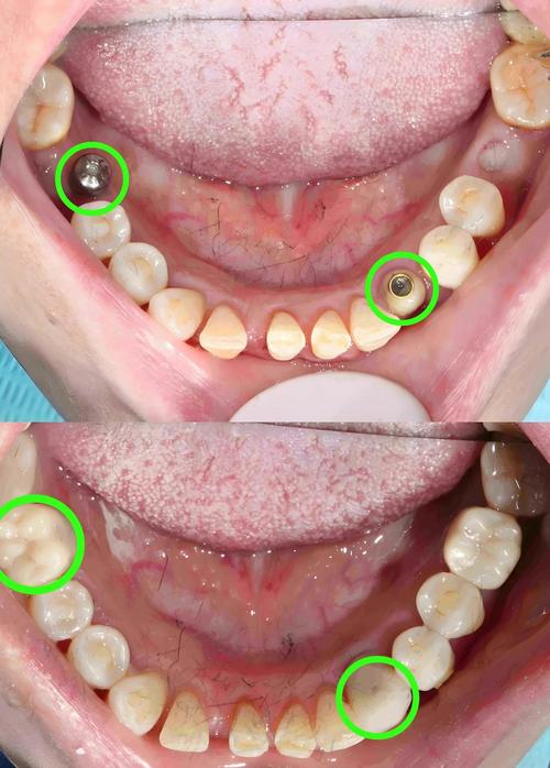
(图片来源网络,侵删)- 邻牙牙根吸收: 偏腭侧的种植体可能压迫或摩擦到邻牙的牙根,导致牙根吸收,严重时可能造成邻牙松动或丧失。
- 邻牙松动: 异常的咬合力或种植体直接接触邻牙可能导致邻牙松动。
-
美观问题:
- 牙冠形态异常: 为了适应偏腭侧的种植体位置,牙冠可能需要制作得异常宽大或形态扭曲,影响美观,尤其在前磨牙区更明显。
- 牙龈形态不良: 偏移可能导致牙龈乳头形态不佳或黑三角形成。
-
清洁困难:
- 邻间隙过小: 偏腭侧可能导致种植体与邻牙之间的邻间隙过小,患者难以用牙刷或牙线有效清洁,容易堆积食物残渣和菌斑,增加种植体周围炎的风险。
- 舌侧清洁障碍: 腭侧偏移可能使舌侧清洁变得困难。
-
发音影响: 对于前磨牙区,位置偏移可能影响发音清晰度。
-
上颌窦并发症风险: 虽然偏腭侧可能避开上颌窦底,但如果角度过于倾斜,仍有可能导致上颌窦黏膜穿孔或感染。
(图片来源网络,侵删) -
修复体并发症:
- 螺丝松动/折断: 不理想的受力可能导致修复体螺丝更容易松动或折断。
- 瓷崩裂: 咬合力异常可能导致牙冠瓷层崩裂。
🛠 三、如何处理偏腭侧的种植体?
处理方案取决于偏移的严重程度、是否出现症状、骨条件、邻牙状况以及患者的整体口腔健康状况:
-
密切观察(无症状、轻微偏移):
如果偏移非常轻微,没有引起任何咬合问题、邻牙损伤或清洁困难,且种植体初期稳定、骨结合良好,可以选择定期复查(每6个月到1年拍CBCT和临床检查),严密监控骨吸收、咬合变化和种植体周围健康状况。
-
调改咬合(轻微早接触):
如果仅存在轻微的咬合早接触,可以通过精细调磨牙冠的咬合面来消除干扰,恢复平衡咬合。
-
修复体修改(改善清洁或美观):
- 如果邻间隙过小影响清洁,可以通过修改牙冠形态(如制作更平的邻面)或使用特殊的清洁工具来改善。
- 如果美观问题突出,可以考虑更换修复体,优化牙冠形态和牙龈形态。
-
重新种植(严重偏移、症状明显、骨条件允许):
- 拔除偏移种植体: 如果偏移严重,导致明显症状(疼痛、咬合紊乱、邻牙损伤风险高),或者骨条件允许,最彻底的解决方案是拔除该种植体。
- 植骨: 拔除后,通常需要等待3-6个月进行植骨(GBR),以恢复足够的骨量(尤其是颊侧),为重新种植创造条件。
- 重新种植: 在骨条件改善后,在精确规划的位置重新植入种植体。强烈建议使用手术导板以确保位置精准。
- 风险: 重新种植需要额外的手术、费用和较长的治疗周期,且存在再次失败的风险。
-
特殊植体或技术(骨条件有限时):
- 短种植体: 在垂直骨高度不足但颊腭向宽度尚可时,可以考虑使用较短的种植体,有时能避免过度偏移。
- 倾斜植入: 在特定条件下(如骨量不足但有一定倾斜空间),可以考虑将种植体适当倾斜植入以避开解剖限制或利用骨量,但这需要非常精确的规划和经验,且对修复体制作要求极高,需谨慎评估。
- 即刻负重/即刻种植: 在严格适应症和良好初期稳定性下,可能减少手术次数,但位置要求更精准。
-
替代修复方案(不适合重新种植时):
- 如果骨条件极差,无法进行有效植骨或重新种植,或者患者拒绝再次手术,可以考虑:
- 固定桥: 以邻牙或远端种植体为基牙,制作固定桥修复缺失牙。
- 可摘局部义齿: 传统或附着体支持的义齿。
- 种植支持的覆盖义齿: 如果有其他种植体可用。
- 如果骨条件极差,无法进行有效植骨或重新种植,或者患者拒绝再次手术,可以考虑:
🛡 四、如何预防上颌后牙种植体偏腭侧?
-
详尽的术前评估:
- 高质量CBCT: 必须拍摄,精确评估骨量、骨密度、重要解剖结构位置。
- 模型分析: 研究模型,分析咬合关系和空间。
- 数字化规划: 利用种植设计软件进行虚拟植入,模拟最佳位置和角度。
-
精准的手术导板:
- 对于上颌后牙区,尤其是骨条件复杂或初次种植时,强烈推荐使用数字化手术导板,它能最大程度保证种植体按预定位置和角度植入。
-
经验丰富的医生: 选择在种植外科,尤其是上颌后牙区种植方面有丰富经验和良好口碑的医生。
-
精细的手术操作:
- 严格控制备洞方向,使用方向指示器。
- 术中充分暴露术野,必要时使用牵开器。
- 避免过度追求初期稳定性而牺牲位置准确性。
-
充分沟通: 医生应向患者充分说明手术风险、可能出现的并发症以及预防措施。
上颌后牙种植体偏腭侧是一个可能带来多种并发症的问题,其发生原因复杂,涉及术前评估、手术技术和患者骨条件。预防是关键,依赖于详尽的影像学检查、数字化规划和手术导板的应用,一旦发生,处理方案需个体化评估,从密切观察到重新种植不等。如果您怀疑自己的种植体位置偏移或出现相关症状(咬合痛、邻牙不适、清洁困难等),务必尽快找您的种植医生进行专业评估和必要的影像学检查(如CBCT),以便及时制定合适的处理方案,避免问题恶化。 🦷
