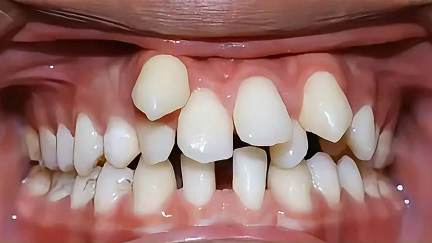
看到你在正畸过程中下排牙齿出现歪斜的情况,我能理解这种担忧!这是正畸过程中可能遇到的情况,但请别太焦虑,大多数情况下是可以解决的,我来帮你分析一下可能的原因和应对方法:
🦷 为什么下排牙齿在矫正过程中会“歪”?
-
牙齿移动过程中的正常调整:
(图片来源网络,侵删)- 牙根移动速度不同步: 牙齿移动时,牙根在牙槽骨内的移动速度可能不完全一致,有时牙冠看起来位置合适了,但牙根还在调整中,或者反之,这可能导致牙齿暂时看起来“歪”或“不齐”。
- 牙弓形态变化: 随着治疗进展,上下牙弓的长度、宽度、形态都在不断调整,下牙弓在排齐和整平过程中,牙齿的位置需要重新排列,这期间可能出现暂时的不协调。
- 精细调整阶段: 在矫正后期(精细调整阶段),医生会进行非常精细的调整,比如改善咬合关系、调整牙齿倾斜度、关闭微小间隙等,这个阶段牙齿位置可能会有微小的、看似“不整齐”的变化,是为了达到最终的完美咬合和稳定。
-
矫正器附件或力量的影响:
- 橡皮筋(颌间牵引): 使用橡皮筋来调整咬合关系(如调整中线、改正深覆合/深覆盖、引导牙齿移动)时,力量施加在下牙上,可能导致下牙暂时性的位置变化或感觉“歪”,这是治疗计划的一部分,但需要时间适应和调整。
- 支抗钉(微种植钉): 如果使用了支抗钉来提供额外的力量(例如内收前牙、压低牙齿),钉子周围的牙齿或目标牙齿在移动过程中也可能出现暂时的位置变化。
- 托槽或弓丝位置: 如果托槽粘接位置有微小偏差,或者弓丝弯制、更换时没有完全精确到位,也可能导致牙齿移动方向偏离预期,看起来“歪”,这种情况需要医生调整。
-
口腔习惯的影响:
- 吐舌习惯: 不自觉的吐舌习惯会持续推前牙,导致牙齿位置异常,尤其是在下前牙区域。
- 咬唇/颊习惯: 咬下唇或咬颊内壁也可能影响牙齿位置。
- 异常吞咽: 异常吞咽动作(如婴儿式吞咽)可能影响牙齿排列和咬合。
-
牙齿移动中的“反弹”或“漂移”:
在牙齿移动过程中,尤其是在使用较大力量或移动距离较大后,牙齿周围的牙槽骨需要时间改建稳定,在改建完成前,牙齿可能会有轻微的“反弹”或位置漂移,看起来不那么整齐。
(图片来源网络,侵删) -
牙周组织健康问题:
- 牙龈炎/牙周炎: 如果口腔卫生维护不好,导致牙龈发炎甚至牙周炎,牙龈组织肿胀、出血,会影响牙齿位置的稳定感,甚至可能导致牙齿轻微松动或移位。
- 牙根吸收: 虽然不常见,但正畸过程中有时会发生牙根吸收,可能导致牙齿位置异常或松动。
-
其他因素:
- 未按时复诊: 延迟复诊可能导致牙齿移动偏离计划,错过调整的最佳时机。
- 意外碰撞或外伤: 牙齿受到外力撞击也可能影响位置。
- 牙齿本身问题: 如多生牙、埋伏牙、牙根形态异常等,可能在移动过程中表现出不规则的路径。
📍 你应该怎么做?
-
立即联系你的正畸医生! 这是最重要的一步!不要自行调整牙套或弓丝!
- 描述清楚你观察到的问题:是哪颗牙齿?具体怎么歪了?(是扭转?倾斜?突出?拥挤?)什么时候开始注意到的?有没有伴随不适(疼痛、松动)?
- 如果方便,拍清晰的照片(正面、侧面、下牙弓特写)发给医生或带到复诊时,有助于医生判断。
- 告诉医生你最近是否使用了新的橡皮筋、是否有不良习惯、口腔卫生情况如何、上次复诊是什么时候。
-
按时复诊: 即使感觉问题不大,也要按预约时间复诊,医生需要亲自检查牙齿的移动情况、咬合关系、口腔卫生、牙周健康状况,以及评估当前的矫正阶段和计划是否需要调整。
(图片来源网络,侵删) -
保持良好的口腔卫生: 认真刷牙(巴氏刷牙法)、使用牙线、牙缝刷、冲牙器等,彻底清洁牙面和托槽周围,预防牙龈炎和牙周炎,这对牙齿稳定移动至关重要。
-
注意饮食: 避免过硬、过黏的食物,防止托槽脱落或弓丝变形影响牙齿移动。
-
戒除不良习惯: 如果有吐舌、咬唇等习惯,努力克服,必要时可以和医生沟通寻求帮助(如佩戴舌刺等)。
📌 医生可能会怎么做?
- 评估情况: 通过临床检查、模型分析、X光片(必要时)等,确定牙齿歪斜的具体原因、程度和性质(暂时性还是需要干预)。
- 调整矫正器:
- 更换合适的弓丝(可能更粗、更硬或不同形态)。
- 调整弓丝的弯制(如增加转矩、弯曲)。
- 更换托槽或调整托槽位置(如果需要)。
- 调整橡皮筋的挂法或更换新的橡皮筋。
- 加力或调整支抗钉。
- 增加附件: 在牙齿上粘接小的树脂点(附件),帮助牙齿更好地移动到目标位置。
- 解释和安抚: 如果判断是治疗过程中的正常调整阶段,医生会向你解释,让你安心,并说明下一步计划。
- 处理并发症: 如果是牙周问题或牙根吸收等,需要先处理这些基础问题,再调整正畸方案。
- 修改治疗计划: 在极少数情况下,如果出现严重问题或原计划需要调整,医生可能会修改后续的治疗方案。
正畸过程中牙齿位置出现暂时的“歪斜”是比较常见的现象,尤其是在移动活跃期和精细调整期。关键在于及时与你的正畸医生沟通,由专业医生来判断原因并采取正确的处理措施。 大多数情况下,通过医生的调整,牙齿会继续向目标位置移动,最终达到整齐美观的效果。
请保持耐心和信心,积极配合医生的治疗和指导,你的牙齿正在经历一个复杂的重建过程,出现小波动是正常的。现在最重要的是尽快联系你的正畸医生,让专业人士来评估和处理这个问题。 祝你矫正顺利,早日拥有一口整齐健康的牙齿!😊
