全瓷牙贴面是一种美观、微创的牙齿修复方式,用于改善牙齿颜色、形态、轻微排列不齐或修复小面积缺损,其制作方法通常在专业的牙科诊所或技工所完成,涉及精密的牙科技工和牙医的操作,以下是全瓷牙贴面制作的主要步骤:
🦷 一、临床阶段(牙医操作)
-
口腔检查与方案设计:
(图片来源网络,侵删)- 牙医评估患者口腔状况、牙齿健康、咬合关系、笑容线、面部美学等。
- 讨论修复目标(改善颜色、形态、关闭间隙等)。
- 确定贴面材料(如二硅酸锂玻璃陶瓷、氧化锆等)和制作方式(传统技工所制作 vs. CAD/CAM椅旁即刻修复)。
- 拍摄口腔X光片、照片,取研究模型(用于诊断和设计参考)。
-
牙齿预备:
- 这是最关键的步骤之一,直接影响贴面的最终效果和寿命。
- 目标: 在牙齿表面均匀磨除一层薄薄的牙体组织(通常为3mm - 0.8mm),为贴面提供空间,确保其厚度均匀、边缘位于健康牙体组织上,并创造良好的形态基础。
- 预备范围: 主要在牙齿的唇面(前牙正面),有时会少量涉及邻面和切缘(牙齿尖端),尽量保留健康的牙釉质。
- 技术要点:
- 使用高速手机和专用车针(如圆头锥形车针)进行精细预备。
- 预备出清晰的边缘线(通常位于牙龈缘上方或平齐龈缘),边缘形态需圆钝连续。
- 排龈: 使用排龈线或排龈膏将牙龈推开,暴露预备边缘,确保取模准确。
- 避免损伤牙髓: 磨除量要精确,避免过度预备导致敏感或牙髓暴露。
- 临时贴面: 预备完成后,通常会制作临时树脂贴面保护牙齿,维持美观和功能,直到永久贴面制作完成。
-
印模与模型:
- 取模: 使用高精度印模材料(如聚硅氧烷、聚醚)取预备后牙齿的印模,必须清晰、无气泡、完整包括边缘和牙龈形态。
- 灌模: 将印模灌注超硬石膏或专用模型石膏,制作出精确的牙齿工作模型。
- 记录咬合关系: 使用咬合记录材料记录患者的正中咬合关系,以便技工制作时参考。
-
比色:
- 在自然光下,使用比色板(如VITA Classical 3D-Master, VITA A1-D4, VITA 3D-Master等)仔细对比患者邻牙、对颌牙的颜色,选择最匹配的贴面颜色。
- 考虑牙齿的透明度、荧光性、明度、色相、饱和度等。
- 记录比色结果,传达给技工。
-
技工制作阶段(传统方式)
(图片来源网络,侵删)- 模型修整与设计: 技工在模型上标记贴面范围,设计贴面的形态、厚度、边缘位置。
- 材料选择与堆塑:
- 二硅酸锂玻璃陶瓷(如e.max): 常用方法有:
- 压铸法: 将预成瓷块放入专用炉中压铸成型,形成高密度、高强度的贴面雏形。
- CAD/CAM切削: 将瓷块在CAD/CAM设备上直接切削成型(也可在诊所完成)。
- 堆塑法: 在模型上分层堆塑瓷粉,然后烧结成型(较少用于贴面)。
- 氧化锆: 主要通过CAD/CAM设备从氧化锆锭块上切削成型,然后进行烧结。
- 二硅酸锂玻璃陶瓷(如e.max): 常用方法有:
- 烧结: 将成型的贴面放入专用烤瓷炉中,按照特定程序进行高温烧结,使瓷粉或瓷块最终固化、达到最终强度和颜色。
- 精修与抛光:
- 使用精细车针、砂纸、抛光膏等对贴面进行精细修整,使其形态、边缘、咬合关系完全符合设计要求。
- 抛光至高度光滑,减少菌斑附着,提高美观性。
- 质检: 技工检查贴面的密合度、形态、颜色、边缘、咬合等,确保符合临床要求。
-
试戴与调整(临床阶段):
- 贴面制作完成后,患者复诊。
- 清洁: 彻底清洁预备好的牙齿和贴面内部。
- 试戴: 将贴面戴在牙齿上,检查:
- 边缘密合度: 贴面边缘是否与牙体边缘紧密贴合,无悬突或缝隙。
- 形态与颜色: 贴面形态是否自然流畅,颜色是否与邻牙高度匹配(在自然光下观察)。
- 咬合关系: 检查贴面在正中咬合、前伸、侧方咬合时是否有早接触或干扰,避免咬合创伤。
- 邻接关系: 与邻牙接触是否松紧适度。
- 调整: 如有需要,在椅旁用金刚砂车针或抛光轮进行微量调整(注意避免过度磨除),颜色不匹配需返工重做。
- 患者确认: 患者满意后,进行下一步粘接。
-
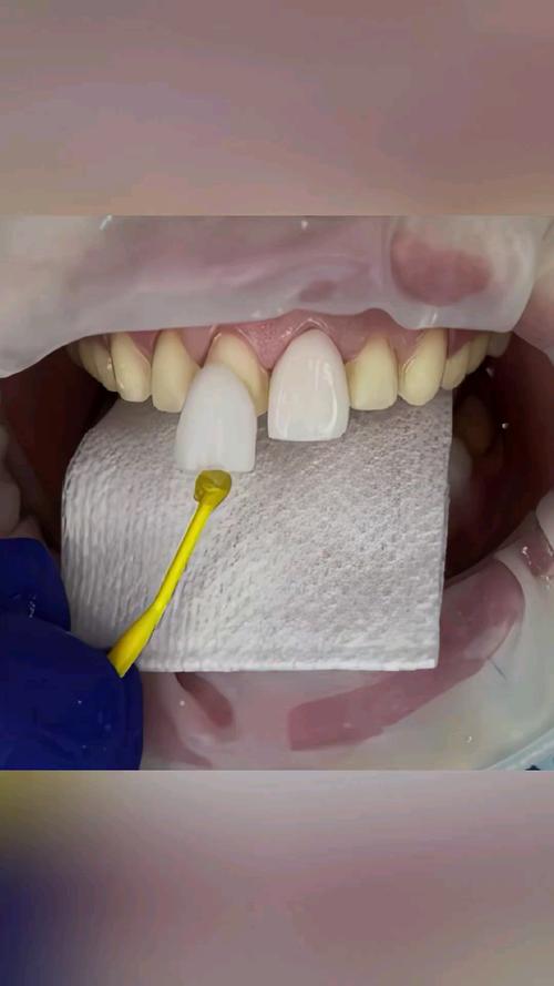
粘接(临床阶段):
- 隔湿: 使用橡皮障、棉卷、吸唾器等彻底隔离牙齿,保持绝对干燥是粘接成功的关键。
- 表面处理:
- 牙齿表面: 用氢氟酸(用于玻璃陶瓷贴面)或喷砂(用于氧化锆贴面)处理预备后的牙面,增加表面粗糙度;用硅烷偶联剂处理牙釉质,增强树脂与牙釉质的粘接力。
- 贴面内部: 用氢氟酸或喷砂处理贴面组织面,用硅烷偶联剂处理(用于玻璃陶瓷)或专用 primer(用于氧化锆)。
- 粘接剂涂布: 涂布粘接剂(通常是自酸蚀或全酸蚀树脂粘接剂),光照固化。
- 树脂水门汀应用: 在贴面内部涂布一层粘接性树脂水门汀,然后将贴面准确就位,轻轻加压挤出多余水门汀。
- 去除多余水门汀: 使用探针、洁治器、洁牙尖等仔细去除牙龈边缘和牙面多余的粘接剂。
- 固化: 从不同方向对贴面进行充分光照固化。
- 最终抛光: 使用抛光杯、抛光条等对粘接边缘和贴面表面进行精细抛光,恢复光滑。
🦷 二、CAD/CAM椅旁即刻修复(替代部分传统技工步骤)
- 口腔检查与方案设计: 同传统方式。
- 牙齿预备: 同传统方式。
- 口内扫描: 使用口内扫描仪(如iTero, CEREC, Trios等)直接扫描预备后的牙齿、对颌牙和咬合关系,生成数字模型。替代了传统取模和灌模步骤。
- 计算机设计: 在电脑软件中:
- 设计贴面的形态、厚度、边缘位置。
- 模拟咬合关系,调整避免干扰。
- 选择瓷块颜色(软件中可模拟)。
- 椅旁切削: 将设计好的数据传输到CAD/CAM设备(如CEREC MC XL, DWX系列),在几到几十分钟内,从预成瓷块(如二硅酸锂、氧化锆锭块)上直接切削出贴面雏形。
- 烧结(如需要): 对于氧化锆或需要提高强度的二硅酸锂贴面,需将切削好的胚体放入专用炉中进行烧结(有时可由技工所完成)。
- 试戴与调整: 同传统方式。
- 粘接: 同传统方式。
📌 关键要点总结
- 精确性是核心: 从牙齿预备到取模/扫描,再到技工制作/切削,每一步都要求极高的精度。
- 微创原则: 尽量保留健康的牙体组织,磨除量控制在最小范围。
- 美学导向: 比色、形态设计、边缘处理、抛光都围绕自然美观的目标。
- 粘接技术至关重要: 粘接是贴面成功的最终保障,隔湿、表面处理、材料选择、操作规范缺一不可。
- 材料选择影响工艺: 二硅酸锂和氧化锆的处理方式(酸蚀/喷砂、硅烷/专用primer)不同。
- 医技合作: 传统方式下,牙医和技工的沟通(比色、设计意图)对最终效果影响巨大。
📝 术后维护
- 避免啃咬硬物(如坚果、骨头、冰块)。
- 正确刷牙(使用软毛牙刷,巴氏刷牙法),使用牙线清洁邻面。
- 定期进行口腔检查和洁牙。
- 如出现贴面松动、脱落、疼痛或边缘染色,及时复诊。
全瓷牙贴面的制作是一个融合了口腔医学、材料学、精密加工和美学的复杂过程,需要经验丰富的牙医和技工共同协作完成,选择正规的医疗机构和有经验的医生是获得满意效果的重要保障。💪🏻

