看到你在寻找补牙缝的最简单方法,我能理解那种牙缝带来的困扰,无论是影响美观还是容易塞食物,确实让人烦恼,我必须坦诚地告诉你:从健康和安全的角度来看,没有真正“最简单”且可靠的方法可以自己在家处理牙缝。 任何声称能快速、轻松解决牙缝的方法,要么是临时应急措施,要么存在风险,甚至可能延误治疗导致更严重的问题。
为什么不能自己随便处理牙缝?

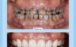
(图片来源网络,侵删)
- 原因复杂: 牙缝的形成原因很多,常见的包括:
- 牙龈萎缩: 这是最常见的原因之一,导致牙齿颈部暴露,形成“黑三角”。
- 龋齿(蛀牙): 牙齿邻面蛀坏,破坏了牙齿结构,形成缝隙。
- 牙齿排列不齐: 牙齿之间原本就有缝隙,或者因拥挤、扭转导致缝隙。
- 牙齿过大或过小: 相邻牙齿大小不协调导致缝隙。
- 牙周病: 严重的牙周病会导致牙槽骨吸收,牙齿移位,形成缝隙。
- 不良修复体: 之前补牙的材料脱落或设计不当导致缝隙。
- 需要专业诊断: 牙医需要通过检查(看诊、探诊、X光片等)确定牙缝的具体原因和严重程度,才能制定最合适的治疗方案,自己无法判断根本原因。
- 自行处理风险高:
- 材料不合适: 市面上所谓的“补牙材料”或“牙蜡”多为临时应急用品,强度、生物相容性、美观度都远达不到医疗标准,容易脱落、刺激牙龈、导致蛀牙或过敏。
- 操作不当: 非专业人士操作很难精确填充,可能压迫牙龈、影响咬合、甚至损伤牙齿。
- 掩盖问题: 如果牙缝是由蛀牙或牙周病引起的,自行填充只是掩盖了症状,疾病仍在发展,最终可能导致牙齿松动、脱落。
- 美观效果差: 颜色、形态很难与自然牙齿匹配,效果通常不理想。
专业、安全且相对“简单”的补牙缝方法(需牙医操作):
根据牙缝的原因、大小、位置以及你的口腔状况,牙医会推荐以下一种或多种方法:
-
树脂充填:
- 适用情况: 最适合由小龋齿或牙齿发育间隙(尤其是前牙)引起的小到中等大小的牙缝。
- 优点:
- 相对微创: 通常磨牙量较少(龋齿需要去除腐坏组织)。
- 美观: 树脂颜色可以调色,与天然牙齿颜色非常接近。
- 操作相对简单快捷: 通常一次就诊即可完成。
- 费用相对较低: 相比贴面、矫正等。
- 缺点: 树脂材料本身强度和耐磨性不如牙齿,时间久了(尤其是后牙)可能会磨损、变色、边缘微渗漏导致继发龋,对于牙龈萎缩形成的“黑三角”,效果可能有限,有时会再次出现。
-
牙冠:
(图片来源网络,侵删)- 适用情况: 牙缝较大,或者牙齿本身有较大缺损(如大面积龋坏、隐裂),或者作为其他治疗(如根管治疗后)的修复。
- 优点: 提供最强的支持和保护,能完全封闭缝隙,恢复牙齿形态和功能。
- 缺点: 需要磨除较多的健康牙体组织,费用较高,制作周期较长(通常需要两次就诊)。
-
瓷贴面:
- 适用情况: 适合由牙齿发育间隙、牙齿轻微不齐、牙齿颜色不佳导致的前牙牙缝,对于牙龈萎缩形成的“黑三角”,有时也可以通过设计特殊的贴面形态来改善或关闭。
- 优点:
- 美观效果极佳: 仿真度非常高,颜色、通透度、形态都能达到以假乱真的效果。
- 相对微创: 通常只需磨除少量牙体(0.5mm左右,甚至更少)。
- 能改善牙齿形态: 同时解决颜色、形态、轻微不齐等问题。
- 缺点: 费用较高,制作周期较长(通常两次就诊),需要良好的技术,对于非常严重的牙龈萎缩,效果可能受限。
-
正畸治疗(矫正):
- 适用情况: 牙缝是由牙齿排列不齐、拥挤、扭转或牙弓过宽等骨骼或牙齿位置问题引起的,这是唯一能从根源上解决由位置问题引起的牙缝的方法。
- 优点: 效果最稳定、最根本,能改善整个牙齿排列和咬合关系,不仅关闭缝隙,还能提升整体口腔健康和美观。
- 缺点: 治疗周期长(通常1-2年或更久),费用较高,需要患者高度配合(佩戴保持器),过程中口腔卫生要求高。
-
牙周治疗(针对牙龈萎缩):
- 适用情况: 如果牙缝的主要原因是牙龈萎缩和牙槽骨吸收(牙周病)。
- 目的: 控制牙周炎症,阻止牙龈进一步萎缩,稳定牙齿。但通常不能完全关闭已经形成的“黑三角”。
- 后续: 在牙周稳定后,可能需要结合树脂充填、贴面或矫正来关闭或改善缝隙。
总结与建议:

(图片来源网络,侵删)
- 停止自行处理: 不要尝试使用非专业的“补牙材料”或牙蜡等自行填补牙缝,这弊大于利。
- 尽快看牙医: 这是最重要、最“简单”也是最可靠的第一步! 去正规口腔医院或诊所找牙医进行检查,牙医会:
- 确定牙缝的根本原因。
- 评估牙缝的大小、位置、牙齿状况、牙周健康状况。
- 根据你的具体情况(美观需求、预算、时间等)制定个性化的治疗方案。
- 向你详细解释各种方法的优缺点、费用、预期效果和风险。
- 选择合适方案: 与牙医充分沟通后,共同决定最适合你的方法,对于很多由小龋齿或发育间隙引起的小牙缝,树脂充填通常是相对简单、快捷、经济且效果良好的选择,对于美观要求高或牙龈萎缩的“黑三角”,瓷贴面是更优的选择,对于排列问题引起的牙缝,矫正是根本之道。
- 维护口腔卫生: 无论选择哪种方法,良好的口腔卫生习惯(正确刷牙、使用牙线/牙缝刷、定期洗牙)都是保持治疗效果和口腔健康的基础,也能防止新的牙缝产生。
最安全、最可靠、效果最好的“方法”去看牙医,让专业人士诊断并为你处理。 不要被“最简单”的捷径所诱惑,一时的省事可能带来长期的麻烦甚至更大的健康风险,你的牙齿健康值得专业的对待,相信牙医会给你最合适的建议!
