不需要原来的牙。 这正是种植牙(即“种植义齿”或“口腔种植”)的核心优势之一。
让我详细解释一下:

-
种植牙的本质:
- 种植牙的核心是一个叫做种植体的装置,它通常由生物相容性极佳的纯钛或钛合金制成。
- 这个种植体就像一个人工牙根,通过外科手术直接植入到缺失牙齿位置的牙槽骨中。
- 种植体植入后,需要等待几个月时间(骨结合期),让牙槽骨组织与种植体表面紧密结合,变得非常稳固,就像自己的牙根长在骨头里一样。
-
为什么不需要原来的牙?
- 独立支撑: 种植体是直接“种”在骨头里的,它不依赖于旁边的任何牙齿来支撑,它自己就承担了咀嚼力,并将力量传递给牙槽骨。
- 替代缺失: 种植牙就是为了替代缺失的牙齿而设计的,原来的牙齿如果已经缺失(被拔掉或脱落),那正是需要种植牙来填补的位置,如果原来的牙还在,通常就不需要种牙了(除非情况特殊,见下文)。
- 不损伤邻牙: 这与传统修复方式(如固定桥)形成鲜明对比,固定桥需要磨小缺失牙齿两边的健康牙齿作为“桥墩”,而种植牙完全不需要磨改旁边的牙齿,保护了邻牙的健康。
-
原来的牙”的几种情况:
- 原来的牙已经缺失(最常见)
- 这是最典型的情况,牙齿因蛀牙、外伤、牙周病等原因被拔除或自然脱落,留下空缺,这时就需要种植牙来填补。不需要原来的牙,只需要有足够的牙槽骨来容纳种植体。
- 原来的牙还在,但状况极差(需要拔除)
- 有时,缺牙位置上可能还残留着一些残根或残冠(比如严重蛀牙只剩牙根,或者牙齿松动到无法保留)。这种情况下,在种植牙之前,必须先将这些无法保留的残根/残冠拔除。 拔除后,等拔牙窝愈合(通常需要几个月),再进行种植。种植体植入的是拔除残根后的牙槽骨里,而不是利用那些残根。
- 原来的牙还在,且状况良好(不需要拔除)
如果缺牙位置上并没有牙齿缺失(比如先天缺牙),或者旁边的牙齿是健康的,那么自然不需要拔除任何牙齿,直接在空缺处种植即可。
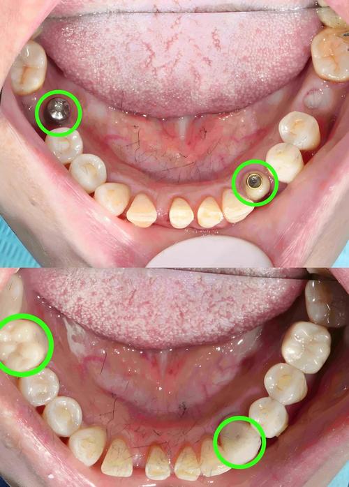
(图片来源网络,侵删)
- 原来的牙已经缺失(最常见)
-
关键点:牙槽骨是基础
- 虽然不需要原来的牙,但种植牙成功与否的关键在于缺牙位置的牙槽骨状况。
- 牙槽骨需要有足够的高度、宽度和密度来稳固地容纳种植体。
- 如果牙槽骨因为长期缺牙而萎缩吸收,骨量不足,就需要先进行植骨手术(如引导骨再生术、骨劈开术、上颌窦提升术等),增加骨量,待骨愈合后再进行种植。这也不是利用原来的牙,而是为了重建种植的基础。
- 种植牙不需要“原来的牙”作为支撑或基础。
- 它通过植入牙槽骨的人工牙根(种植体) 来独立承担咀嚼功能。
- 原来的牙如果还在且健康,不需要拔除;如果已经缺失,正是需要填补的位置;如果无法保留,必须拔除后才能在骨头上种植。
- 种植牙成功的关键是健康的牙槽骨(骨量充足)。
如果你缺牙了,只要牙槽骨条件允许,就可以考虑种植牙,它不需要你保留原来的牙齿作为前提,建议去正规的口腔医院或诊所,由专业的种植医生进行详细的口腔检查和评估,制定最适合你的治疗方案。

