种牙当天就能有牙吗”这个问题,答案是:有可能,但这取决于多种因素,并且通常指的是一个临时的“过渡性”假牙,而不是最终坚固耐用的永久牙冠。
以下是详细解释:

🦷 1. 传统种植牙流程(通常不能当天有牙)
- 第一阶段(种植手术): 在牙槽骨中植入种植体(相当于人工牙根)。
- 骨结合期(愈合期): 这是最关键的一步,种植体需要与牙槽骨紧密结合(骨结合),这个过程通常需要 3-6个月(具体时间因人而异,取决于骨头质量、健康状况等),在这个阶段,种植体在骨头里是“埋”着的,上面没有牙冠。
- 第二阶段(安装基台和牙冠): 骨结合完成后,医生会切开牙龈,暴露种植体顶部,安装一个叫做“基台”的连接件,然后在基台上安装最终的牙冠(可以是全瓷、烤瓷等)。
在这个传统流程中,种牙当天是绝对不可能有“牙”的。 种植体需要时间在骨头里稳定下来。
🦷 2. “当天有牙”的可能性:即刻种植与即刻负重
现代种植牙技术发展迅速,确实存在一些“当天有牙”的方案,但这有严格的前提条件:
-
A. 即刻种植:
- 概念: 拔牙后立即在新鲜的拔牙窝里植入种植体。
- 当天有牙吗? 不一定,虽然拔牙和种牙一次完成,但种植体本身仍然需要骨结合期(通常3-6个月),期间通常不会在上面安装牙冠,有时为了美观,医生可能会制作一个临时的活动假牙(比如活动义齿)戴在拔牙侧,但这不是直接“长”在种植体上的。
- 目的: 主要优点是减少手术次数,避免拔牙后牙槽骨过度吸收,为后续修复创造更好条件。
-
B. 即刻负重:
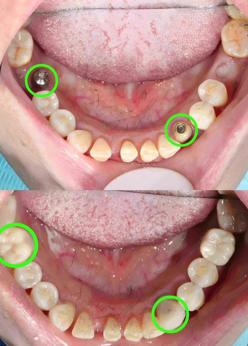
(图片来源网络,侵删)- 概念: 这才是“种牙当天就有牙”的主要技术方案,它指的是在植入种植体的当天或极短时间内(通常1-3天内),就在种植体上安装一个临时的、非最终性的牙冠。
- 关键点:
- “临时”是核心: 当天安装的牙冠通常是树脂材料制作的临时冠,或者是一个简单的临时修复体(如树脂贴面、临时桥),它的强度、美观度和长期耐用性远不如最终的全瓷或烤瓷牙冠,它主要起过渡和美观作用,让患者在愈合期间也能有“看起来像牙”的东西,避免社交尴尬和影响基本咀嚼(但需非常小心)。
- 严格适应症: 不是所有人都适合即刻负重,需要满足非常严格的条件:
- 极佳的骨质量: 牙槽骨必须非常致密、健康,能够提供足够的初期稳定性。
- 良好的初期稳定性: 种植体植入后必须非常稳固,没有松动。
- 无严重感染: 拔牙窝或周围组织没有明显的炎症或感染。
- 良好的咬合关系: 患者的咬合不能太紧,或者能够通过调改咬合来避免临时冠承受过大力量。
- 患者配合度高: 患者需要理解这是临时冠,并承诺在愈合期避免用临时冠啃咬硬物。
- 最终牙冠仍需等待: 即使做了即刻负重,最终坚固、美观的永久牙冠仍然需要在骨结合完成(3-6个月后)才能安装,临时冠在骨结合期间可能会磨损、变色或脱落,需要医生在复诊时检查和调整。
🦷 3. 其他“当天有牙”的情况(较少见)
- 全口/半口即刻负重(All-on-4/All-on-6等): 对于全口或半口缺牙的患者,如果条件允许(通常需要植入4颗或6颗种植体),医生可以在当天就在这些种植体上安装一个固定的、即刻负重用的临时义齿桥,这个桥也是临时的(通常是高强度树脂或PMMA材料),用于恢复功能和美观,但最终更坚固、美观的永久桥通常需要在骨结合完成后(3-6个月后)再更换,这种方案大大缩短了无牙期。
- 传统种植牙: 种牙当天绝对没有牙,需要等待3-6个月骨结合后才能装最终牙冠。
- “当天有牙”主要指即刻负重技术:
- 可能: 在严格满足适应症(骨质量好、初期稳定性好、无感染、咬合合适)的前提下,可以在种植当天或极短时间内安装一个临时的、过渡性的牙冠。
- 不是最终牙: 这个临时冠强度和美观度有限,需要非常小心使用,不能替代最终牙冠。
- 最终牙仍需等待: 最终坚固耐用的永久牙冠必须在骨结合完成(3-6个月后)才能安装。
- 全口/半口即刻负重: 可能在当天安装固定的临时桥,但同样需要等待骨结合后更换永久桥。
📍 重要建议
- 咨询专业种植医生: 是否适合“当天有牙”(即刻负重)技术,必须由经验丰富的种植医生进行详细的口腔检查(CBCT影像评估骨量、质量等)和综合评估后才能确定,切勿自行判断或轻信非专业人士的承诺。
- 管理期望: 即使技术上可行“当天有牙”,也要清楚这只是过渡性解决方案,最终效果和耐用性需要等待永久牙冠,追求速度不能牺牲长期的成功率和健康。
- 耐心是关键: 骨结合是种植牙成功的基础,需要时间,耐心等待骨结合完成,再安装最终牙冠,是确保种植牙长期稳定、功能良好、美观耐用的关键。
种牙当天“有牙”是可能的,但大概率只是个“临时替身”,真正的“永久牙齿”还需要耐心等待骨头和种植体“长牢固”之后才能戴上。 在决定之前,务必和你的种植医生详细沟通你的具体情况和期望。💪🏻

