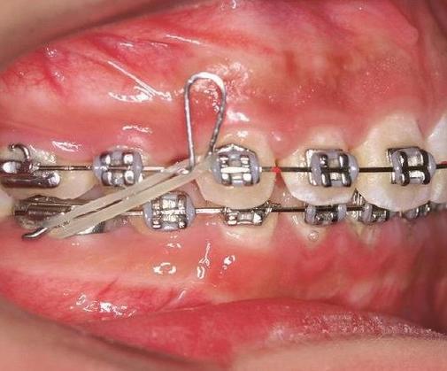
在正畸治疗中,停止曲(Stop Loop) 是一种在弓丝上弯制的特定弯曲结构,其主要作用是提供精确的机械阻挡,阻止特定牙齿或牙列的移动,它的“阻止作用”是其核心功能,具体体现在以下几个方面:
📍 1. 阻止牙齿向特定方向移动
- 工作原理: 停止曲通常被弯制在需要阻止移动的牙齿托槽的远中(或近中),当弓丝被放入托槽槽沟后,这个弯曲部分会紧密抵住托槽的翼(颊侧或舌侧翼)或弓丝本身。
- 阻止机制:
- 直接阻挡: 当牙齿试图向停止曲所在的方向移动时,停止曲的刚性结构会直接顶住托槽的翼,产生一个强大的反作用力,阻止牙齿进一步移动。
- 限制弓丝滑动: 在滑动法关闭间隙时,停止曲可以卡在托槽的翼上,限制弓丝在托槽槽沟内的滑动范围,从而阻止牙齿沿着弓丝滑动方向移动。
- 常见应用:
- 防止前牙前移: 在关闭拔牙间隙(如拔除第一前磨牙)时,在尖牙托槽的远中弯制停止曲,可以阻止尖牙和前牙整体前移,确保间隙关闭主要依靠后牙前移(即加强支抗)。
- 防止后牙前移: 在打开咬合(如压低后牙)或内收前牙时,在第一磨牙颊管的近中弯制停止曲,可以阻止第一磨牙沿着弓丝向近中(前)滑动,稳定后牙支抗。
- 防止牙齿旋转或倾斜: 在需要精确控制牙齿位置时,停止曲可以辅助稳定牙齿,防止其发生不利的旋转或倾斜。
📍 2. 作为测量和定位的参考点
- 工作原理: 停止曲的位置是预先设计好的,它精确地位于某个特定牙齿托槽的翼上。
- 阻止作用体现: 这个精确的定位本身就起到了阻止牙齿移动的作用,当牙齿移动到停止曲刚好抵住托槽翼的位置时,移动就被阻止了,这为医生提供了非常精确的牙齿位置控制。
- 常见应用:
- 精确控制牙齿位置: 在需要将尖牙精确地移动到拔牙间隙的特定位置时,停止曲可以确保尖牙移动到预定位置后不再继续滑动。
- 维持间隙: 在某些阶段,需要暂时维持某个间隙(如为种植牙或修复体预留空间),停止曲可以有效地阻止相邻牙齿向该间隙移动。
📍 3. 增强弓丝的局部刚度
- 工作原理: 停止曲本身是一个刚性结构,弯制在弓丝上会增加该区域的弓丝刚度。
- 阻止作用体现: 增加的刚度使得弓丝在该区域更不容易变形,从而更有效地传递和抵抗力,更可靠地阻止牙齿移动,这对于需要强有力阻挡的病例尤为重要。
- 常见应用:
- 强支抗控制: 在需要最大程度抵抗前牙前移或后牙前移的病例中,使用带有停止曲的刚度较大的方丝,可以提供更稳固的支抗。
- 打开咬合: 在使用摇椅形弓丝打开咬合时,停止曲可以稳定后牙高度,防止后牙伸长或前移干扰打开咬合的效果。
📍 4. 与其他装置协同工作
- 工作原理: 停止曲常与其他正畸附件或装置配合使用。
- 阻止作用体现: 它为这些装置提供精确的支点或阻挡点,增强其效果。
- 常见应用:
- 与螺旋弹簧/橡皮链配合: 在需要用弹簧或橡皮链拉尖牙向远中移动时,在尖牙托槽远中弯制停止曲,可以防止弹簧/橡皮链直接将尖牙过度拉远,同时确保力作用于尖牙上,而不是前牙。
- 与颌间牵引配合: 在进行颌间牵引(如II类或III类牵引)时,停止曲可以稳定支抗牙(如磨牙)的位置,防止其在牵引力下发生不利的移动。
📍 停止曲的类型
- 垂直停止曲: 最常见,通常在弓丝的垂直方向弯制一个直角或小弯,抵住托槽翼。
- T形停止曲: 形状像字母“T”,提供更大的接触面积和更强的阻挡力。
- 欧米曲: 一种特殊的、更复杂的曲,常用于方丝,提供更精细的控制和更强的刚度。
- 球形停止曲: 在弓丝末端弯制一个小球,用于抵住颊管或托槽翼。
停止曲的核心“阻止作用”在于它通过弓丝上的刚性弯曲结构,直接或间接地限制牙齿向特定方向移动,这种阻止作用是精确、可靠且可重复的,是正畸医生在治疗过程中进行精细支抗控制、牙齿定位、间隙维持和防止不必要移动的关键工具,它通过直接阻挡、限制滑动、增加局部刚度以及作为定位参考等多种机制来实现这一核心功能,理解并熟练运用停止曲的阻止作用,对于实现复杂正畸病例的精确治疗目标至关重要。⚙️


