儿童正畸后牙齿变色是一个比较常见的问题,家长不必过于惊慌,但需要了解原因并采取适当的预防和处理措施。正畸治疗本身通常不会直接导致牙齿变色,但正畸过程中的某些因素(尤其是口腔卫生维护不当)会增加牙齿变色的风险。
以下是导致儿童正畸后牙齿变色的主要原因以及相应的预防和处理方法:

🦷 一、 主要原因
-
口腔卫生维护不当(最常见原因):
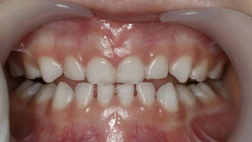
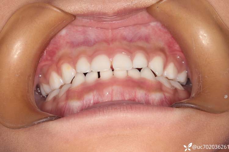
- 菌斑堆积与脱矿: 戴着牙套(托槽)时,牙齿表面被托槽覆盖的区域以及托槽周围,是食物残渣和细菌最容易堆积的地方,如果刷牙不彻底、不到位,这些区域的菌斑就会大量滋生,细菌产生的酸性物质会溶解牙齿表面的矿物质(钙、磷等),导致牙齿表面失去光泽,出现白色或黄白色的不透明斑点或斑块,这就是釉质脱矿,脱矿是龋齿的前兆,也是正畸后牙齿变色的最主要原因。
- 龋齿(蛀牙): 如果脱矿没有得到控制,细菌继续侵蚀,就会形成龋洞,龋洞内部通常呈棕色、黑色或黄褐色,导致牙齿局部变色。
-
牙套材料或粘接剂的影响:
- 染色: 金属托槽本身不会染色牙齿,但如果口腔卫生差,托槽周围堆积的菌斑和食物残渣(如茶渍、咖啡渍、红酒渍、某些深色食物)会附着在托槽边缘或粘接剂上,形成色斑,拆掉牙套后,这些色斑可能仍然留在牙齿表面,看起来像是牙齿变色了。
- 陶瓷托槽: 陶瓷托槽颜色与牙齿接近,有时会让牙齿显得更黄(视觉对比),但陶瓷本身不会染色牙齿。
- 粘接剂残留: 如果医生在去除托槽后,牙齿上残留的粘接剂没有彻底清除干净,残留物边缘也可能容易染色或看起来像牙齿变色。
-
正畸过程中的其他因素:
- 牙根吸收: 在极少数情况下,正畸移动牙齿的过程中可能发生轻微的牙根吸收,这通常不会导致牙齿表面变色,但严重吸收可能影响牙齿健康。
- 牙髓(神经)问题: 正畸力量过大或个体差异可能导致牙髓发炎或坏死,坏死的牙髓分解会产生色素,使牙齿从内部变成灰色、棕色或黑色(通常需要根管治疗)。
- 原有牙齿问题: 有些孩子可能在戴牙套前就有氟斑牙、四环素牙、釉质发育不全等先天或后天牙齿问题,正畸后这些问题可能更明显,或者被误认为是正畸导致的。
-
非正畸相关因素:
(图片来源网络,侵删)- 饮食: 正畸期间及之后,如果孩子大量摄入深色饮料(可乐、茶、咖啡、红酒)、食物(酱油、咖喱、蓝莓、桑葚等)或吸烟,牙齿表面容易染色。
- 药物: 某些药物(如含铁的补剂、含抗生素的漱口水)可能导致牙齿染色。
- 年龄: 随着年龄增长,牙齿本身也会自然变黄(牙本质颜色透出)。
🛡 二、 预防措施(重中之重!)
-
加强口腔卫生维护(核心!):
- 刷牙: 饭后、睡前必须刷牙。使用正畸专用牙刷(如小头软毛牙刷、正畸牙刷),采用巴氏刷牙法,确保每个牙面、托槽周围、牙龈边缘都刷到,每次刷牙时间不少于3分钟。
- 牙线: 每天至少使用一次牙线(或牙线棒、水牙线/冲牙器),彻底清洁牙齿邻面和托槽下方,这是普通刷牙无法替代的关键步骤。
- 漱口水: 在医生指导下,可使用含氟漱口水或抗菌漱口水(如氯己定)辅助清洁,但注意氯己定漱口水不宜长期使用(可能导致牙齿染色)。
- 定期专业洁牙: 在正畸治疗期间,每3-6个月进行一次专业的口腔检查和洁牙(洗牙),这是清除牙菌斑、色素和牙结石最有效的方法,医生也能及时发现并处理早期脱矿。注意: 通常建议在拆除牙套前完成一次彻底的洁牙。
-
控制饮食:
- 减少含糖饮料、零食的摄入频率,尤其是粘性糖果、饼干等。
- 尽量避免或减少深色饮料和食物的摄入,饮用后及时漱口或刷牙。
- 戒烟(如果孩子有吸烟习惯)。
-
选择合适的牙套材料:
- 如果对美观要求高,且孩子口腔卫生维护能力一般,陶瓷托槽虽然美观,但需要注意其边缘可能更容易堆积色素,金属托槽相对不易染色(但卫生要求同样高)。
- 与医生沟通,选择粘接性能好、易于清洁的材料。
-
定期复诊:
(图片来源网络,侵删)严格按照医生要求的时间复诊,让医生检查口腔卫生状况、托槽粘接情况,及时发现并处理问题。
🩺 三、 处理方法
如果正畸后已经出现牙齿变色,需要根据具体情况处理:
-
釉质脱矿(白垩色斑点):
- 早期干预: 脱矿是可逆的!医生可能会建议使用高浓度氟化物牙膏、含氟漱口水、专业涂氟(含氟凝胶或泡沫)或再矿化治疗(如含磷、钙离子的凝胶)来促进脱矿区域的再矿化,阻止其发展成龋齿,需要坚持使用一段时间。
- 改善口腔卫生: 这是基础,必须严格执行。
-
龋齿(蛀牙):
- 补牙: 一旦形成龋洞,需要及时由牙医进行充填治疗(补牙),去除腐坏组织,恢复牙齿外形和功能。
-
表面染色(菌斑、色素附着):
- 专业洁牙(洗牙): 这是最有效的方法,在拆除牙套后或正畸期间,由牙医通过超声波洁治和喷砂等方式彻底清除牙齿表面的色素和菌斑。
- 抛光: 洁牙后进行抛光,使牙齿表面更光滑,减少色素附着。
-
粘接剂残留:
由牙医使用专业器械(如磨光尖、橡皮杯)仔细去除残留的粘接剂。
-
牙髓坏死导致的变色:
- 根管治疗: 需要进行根管治疗(抽神经),清除坏死的牙髓组织,然后进行牙齿修复(如牙冠)。
-
美白治疗(需谨慎):
- 时机: 强烈建议在所有正畸治疗完全结束(包括拆牙套、保持器佩戴稳定一段时间后)、牙齿龋坏和脱矿问题得到妥善处理、口腔卫生状况良好时,再考虑牙齿美白。 在正畸过程中或刚拆牙套时美白效果可能不理想,且可能引起敏感。
- 方式: 可以选择家庭美白(牙医定制托盒+美白凝胶)或诊室美白(强光激活)。务必在牙医指导下进行! 对于脱矿严重的牙齿,美白效果可能不佳,甚至可能加重敏感。
- 风险: 牙齿美白可能引起暂时性敏感,对于已有脱矿或龋齿的牙齿,美白可能刺激牙髓,儿童青少年牙齿美白需特别谨慎评估。
📌 总结与建议
- 预防胜于治疗: 正畸期间和之后,严格的口腔卫生维护(刷牙+牙线+定期洁牙)是避免牙齿变色的最关键因素!
- 及时就医: 一旦发现牙齿颜色异常(尤其是白垩色斑点、棕色/黑色斑点),务必尽快带孩子去看牙医,明确原因,早期干预效果最好。
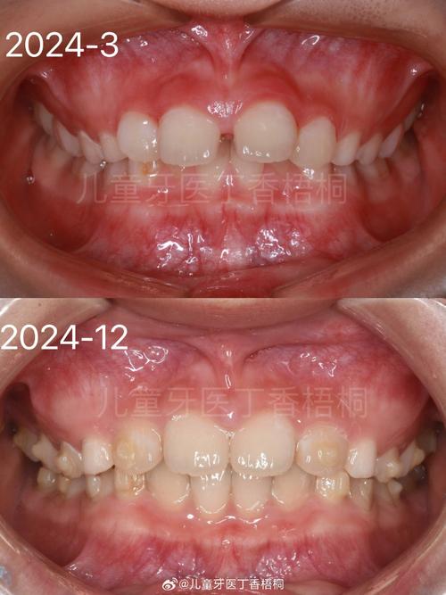
- 拆牙套后: 拆除牙套后,牙齿表面可能会有暂时性的颜色不均(托槽覆盖区域未被染色,暴露区域被染色),这通常是暂时的,通过专业洁牙和抛光可以改善,如果持续存在或加重,需要进一步检查。
- 与正畸医生沟通: 在整个正畸过程中,与正畸医生保持良好沟通,定期进行口腔卫生检查和评估。
正畸是为了让孩子拥有更健康、更美观的咬合和笑容,通过家长的监督和孩子的配合,做好口腔卫生,就能最大程度地避免牙齿变色的问题,让正畸效果更加完美! 😊
