关于惠州口腔医院的正畸效果,需要明确几点:
-
“惠州口腔医院”的指代:
(图片来源网络,侵删)- 惠州并没有一个官方名称就叫“惠州口腔医院”的大型公立专科口腔医院,通常大家提到的“惠州口腔医院”可能是指:
- 惠州市中心人民医院口腔科/口腔医院: 这是惠州市规模最大、综合实力最强的公立三甲医院下属的口腔专科,是惠州地区口腔医疗的权威之一。
- 惠州市第一人民医院口腔科: 同样是大型公立三甲医院的口腔科,实力也很强。
- 一些规模较大的私立口腔机构: 惠州口腔医院”这个名称可能被某些私立连锁或本地大型私立诊所使用(如“美奥口腔”、“瑞尔齿科”、“马泷齿科”等在惠州有分院的机构,或者本地知名私立口腔机构)。
- 讨论“惠州口腔医院”正畸效果,关键在于你具体指的是哪一家机构。 不同医院/诊所的医生水平、设备、技术、服务、价格差异可能很大。
- 惠州并没有一个官方名称就叫“惠州口腔医院”的大型公立专科口腔医院,通常大家提到的“惠州口腔医院”可能是指:
-
正畸效果的核心影响因素:
- 医生的专业技术和经验: 这是最最关键的因素!效果的好坏直接取决于给你治疗的正畸医生,包括:
- 诊断准确性: 是否全面、准确地分析你的牙齿、颌骨、面型、咬合等问题。
- 方案设计合理性: 是否为你量身定制了最适合你的矫正方案(选择哪种矫治器、拔牙与否、矫正目标等),方案是否兼顾功能与美学。
- 操作规范性与精细度: 托槽/附件粘接是否精准、弓丝更换是否及时、加力是否恰当、细节处理是否到位。
- 沟通能力: 是否能清晰解释方案、预期效果、注意事项,并听取你的意见。
- 经验丰富度: 处理复杂病例的能力、对各种矫治器(传统金属、陶瓷、隐形等)的掌握程度。
- 患者自身的配合度:
- 保持口腔卫生: 矫正期间口腔清洁难度大,若清洁不到位易导致龋齿、牙龈炎、牙周炎,严重影响效果和牙齿健康。
- 按时复诊: 按医生约定时间复诊,确保牙齿按计划移动。
- 遵守医嘱: 正确佩戴橡皮筋、保持器等。
- 饮食注意: 避免过硬、过粘的食物损坏矫治器。
- 矫正方式的选择: 不同的矫治器(金属自锁、陶瓷、隐形牙套如隐适美、时代天使等)各有优缺点,适应症也不同,选择适合你情况且医生擅长的技术很重要。
- 病例本身的复杂程度: 简单的牙齿不齐和严重的骨性问题、颞下颌关节问题等,矫正难度和效果预期差异巨大。
- 医院的硬件设施和消毒管理: 先进的设备(如CBCT、口扫仪)有助于精准诊断和方案设计,严格的消毒管理是安全的基础。
- 费用与期望值: 费用投入与期望效果需要匹配,正畸效果是渐进式的,需要时间,对美观和功能的改善要有合理的预期。
- 医生的专业技术和经验: 这是最最关键的因素!效果的好坏直接取决于给你治疗的正畸医生,包括:
-
关于惠州主要口腔机构正畸效果的一般性评价:
- 公立医院(如市中心人民医院口腔科、市一院口腔科):
- 优势: 医生整体专业素养高,理论基础扎实,处理复杂病例能力强,收费相对透明规范(部分项目可医保报销),公信力强,医疗安全有保障。
- 劣势: 人流量大,医生可能比较忙,沟通时间相对有限;预约排队时间可能较长;服务体验可能不如私立个性化;环境和服务细节可能稍逊。
- 效果: 只要遇到一位技术好、负责任的医生,效果通常是有保障的,尤其对于复杂病例或疑难杂症,效果的核心在于医生个体。
- 大型私立口腔机构(如连锁品牌或本地知名私立):
- 优势: 服务体验通常更好,环境舒适,预约灵活,沟通更充分细致;注重患者舒适度和美学效果;引进新技术(如高端隐形牙套)可能更快;营销推广力度大。
- 劣势: 医生水平极其参差不齐,需要仔细甄别;费用普遍较高,且可能存在隐形消费;部分机构可能过度营销;医疗质量和规范性需要考察。
- 效果: 效果高度依赖于具体医生! 顶尖私立机构的资深专家效果非常好,甚至可能更注重美学细节,但如果遇到经验不足的医生,效果可能不理想,务必考察医生资质和案例。
- 公立医院(如市中心人民医院口腔科、市一院口腔科):
-
如何判断惠州某家口腔机构的正畸效果好不好?
- 重点考察医生:
- 资质: 是否有正畸专业硕士/博士学历?是否有公立医院背景?从业年限?是否有中华口腔医学会正畸专业委员会(COS)认证(如委员、专科会员)?
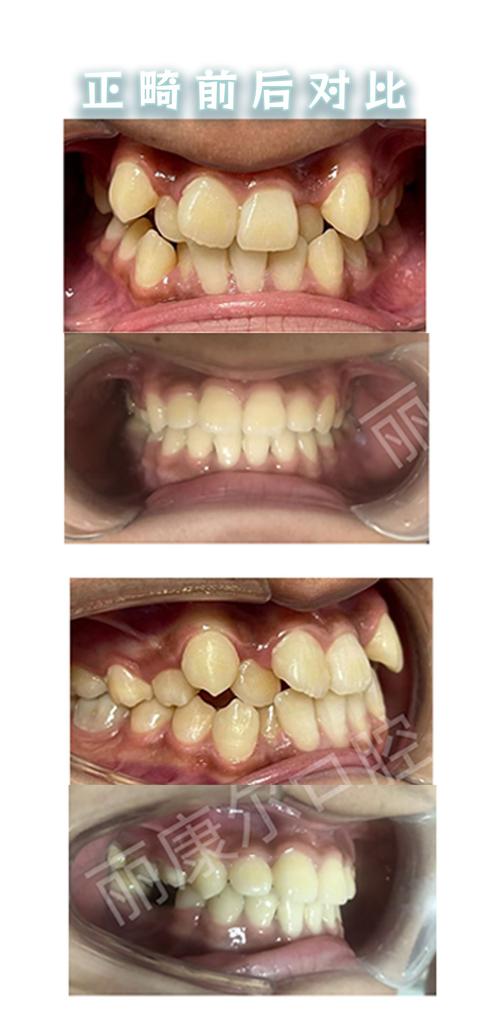
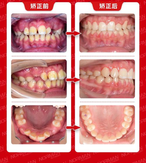
- 案例: 要求看与你类似病例的治疗前、中、后对比照片(最好有面型和牙齿全景片),观察病例的改善程度、稳定性、美观度。
- 沟通: 初次面诊时,医生是否能耐心倾听、详细检查、清晰解释方案和预期?方案是否合理?你是否信任他/她?
- 了解机构口碑:
- 线上评价: 在大众点评、小红书、知乎等平台查看真实评价(注意甄别广告和水军),重点关注对医生技术和效果的描述。
- 线下询问: 如果有朋友、同事在惠州做过正畸,了解他们的体验和效果。
- 实地考察:
- 环境与消毒: 观察诊室环境是否干净整洁,消毒流程是否规范(如器械消毒包、一次性用品使用等)。
- 设备: 是否有先进的设备(如CBCT、口内扫描仪)?
- 服务流程: 从预约、接待、检查、方案沟通到后续服务是否顺畅?
- 明确费用与方案:
- 获取详细的费用清单,包含所有项目(检查费、矫治器费、复诊费、保持器费、拔牙费等),确认是否有额外收费。
- 确保医生提供书面的治疗方案,明确矫正目标、时间、步骤、风险等。
- 重点考察医生:
总结与建议:

- 明确目标机构: 首先确定你具体指的是惠州哪家口腔医院/科室(公立还是私立?具体名称?)。
- 核心是医生: 无论选择哪家,正畸效果的决定性因素是给你治疗的医生,花时间做好医生功课(资质、案例、口碑)至关重要。
- 多方比较: 不要只看一家,建议预约2-3家不同类型(公立+私立)的知名机构进行面诊咨询,对比医生的专业度、方案、费用和服务。
- 重视沟通与信任: 选择一位你感觉沟通顺畅、值得信任的医生,这对整个矫正过程的配合和最终效果非常重要。
- 理性预期: 正畸是长期过程(通常1.5-3年),效果是逐步显现的,与医生充分沟通,设定合理、可实现的目标。
- 自身配合是关键: 再好的医生和方案,也需要你严格配合才能达到最佳效果。
惠州地区(无论是公立还是私立)都有能做出优秀正畸效果的医生和机构,但效果因医生而异,差异巨大,没有笼统的“惠州口腔医院正畸效果”的定论。你的首要任务是找到一位技术过硬、经验丰富、值得信赖的正畸医生,并在他/她的指导下严格配合治疗。 建议你通过上述方法进行详细考察和比较,做出最适合你的选择。

