拜博口腔网

正畸微种植钉植入图片中,操作步骤、解剖结构识别与关键技术要点如何通过影像呈现?

为什么直接提供手术实拍图可能不合适?

  1. 隐私与伦理
    患者口腔手术的实拍图涉及个人隐私,医疗机构通常不会公开未经授权的图片。
  2. 视觉敏感性
    植入过程涉及局部麻醉、切开牙龈、植入钉体等操作,实拍图可能引起不适。
  3. 版权限制
    医学图片多受版权保护,需通过正规渠道获取。

如何获取专业图片资源?

学术数据库与医学网站

  • PubMed / Google Scholar
    搜索关键词如 "orthodontic mini-implant placement"、"temporary anchorage device (TAD) surgery",可找到学术论文中的示意图或术中照片(部分需权限)。
  • 专业医学图库
    • Dentalcare.com(登士柏西诺德旗下)
    • Oral-B Academy
    • Quintessence Publishing(正畸专业出版社)
      提供高清示意图和临床案例图(需注册)。

正畸器械厂商官网

  • 厂商示例
    • Jeil Medical (韩国):官网有植入过程动画及示意图。
    • OrthoOrganizers (美国):提供TAD植入技术手册配图。
    • Dentaurum (德国):产品页面含临床应用图片。
  • 搜索关键词:厂商名 + "TAD placement images"。

教育机构与专业平台

  • 正畸协会资源
    • AAO (美国正畸协会):患者教育板块有简化示意图。
    • WFO (世界正畸联盟):技术指南含配图。
  • YouTube视频
    搜索 "TAD implant surgery",部分正畸医生会分享术中视频(如Dr. Steve Giannoutsos频道)。

微种植钉植入的关键示意图说明

以下为典型植入步骤的文字描述+示意图要点(实际图片可参考上述渠道):

步骤 操作要点 示意图重点
定位与标记 拍摄CBCT/X光片确定植入位置(避开牙根、神经);在牙龈表面标记进针点。 显示植入区域解剖结构(牙根、骨皮质厚度、重要神经位置)。
局部麻醉 在植入区域注射麻醉药物(浸润麻醉+骨膜下麻醉)。 麻醉针头进入牙龈的局部特写。
切开牙龈 用小尖刀或专用打孔器在标记点切开约3-4mm切口,暴露骨面。 微创切口暴露牙槽骨的示意图。
预备骨孔 用专用钻头(直径1.0-1.8mm)在骨面上低速旋转钻孔(需喷水降温)。 钻头垂直于骨面,避开牙根的剖面图。
植入钉体 将微种植钉(钛合金)旋入骨孔,直至头部露出牙龈约1-2mm(便于后续挂橡皮圈)。 钉体植入后的三维位置图(展示与牙根、牙槽嵴的关系)。
缝合与检查 可吸收缝线固定牙龈;拍摄X光确认位置无误。 术后即刻X光片显示钉体与牙根的安全距离(≥1mm)。

患者须知(无图科普)

  • 植入位置:常见于上颌后牙区(颧牙槽嵴)、下颌后牙区(外斜线)、腭部(腭中缝)。
  • 疼痛感:局部麻醉下几乎无痛,术后可能有轻微胀痛(24-72小时缓解)。
  • 成功率:>95%(关键因素:植入位置、骨量、患者口腔卫生)。
  • 并发症:感染、钉体松动(极少见)、牙根损伤(严格操作下可避免)。

推荐替代图片资源

  1. 示意图动画
    访问 3D4Medical 搜索 "TAD implant",查看解剖学动画。
  2. 临床案例图
    RealSelf 搜索 "mini-screw orthodontics",查看患者分享的术前术后对比(非手术实拍)。

由于伦理和版权限制,直接提供植入实拍图存在限制,建议通过学术数据库、厂商官网、专业协会资源获取权威图片,或参考上述步骤示意图理解技术细节,如需了解具体操作,可咨询正畸医生获取患者教育手册中的配图。

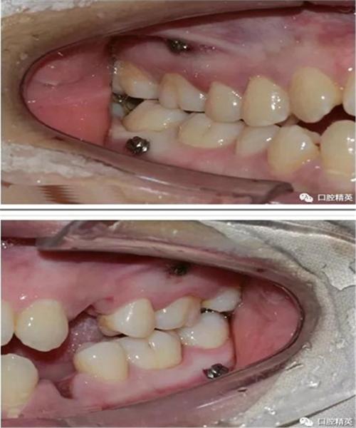
正畸微种植钉植入图片中,操作步骤、解剖结构识别与关键技术要点如何通过影像呈现?-图1
(图片来源网络,侵删)
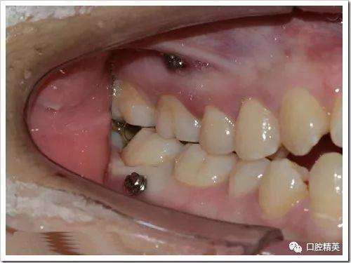
正畸微种植钉植入图片中,操作步骤、解剖结构识别与关键技术要点如何通过影像呈现?-图2
(图片来源网络,侵删)
分享:
扫描分享到社交APP
上一篇
下一篇