口腔正畸拍摄(包括照片、X光片、模型等)是正畸诊断、治疗计划制定、过程监控和效果评估的核心基础,其拍摄目的可以归纳为以下几个主要方面:
全面记录患者初始状态(基线资料)
-
建立完整的初始档案:
(图片来源网络,侵删)- 目的: 为患者建立一个全面、客观、可重复的初始状态记录,这是后续所有治疗决策、方案调整和最终效果评估的基准线。
- 包括面部照片、口内照片、X光片(全景片、头颅侧位片等)、研究模型(或数字化模型)。
-
记录面部软组织特征:
- 目的: 评估患者的面部美学、对称性、比例关系以及软组织与牙齿、骨骼的协调性。
- 正面照片: 观察面部宽度、对称性、中线、唇部丰满度、微笑线等。
- 侧面照片: 评估侧貌轮廓(鼻-唇-颏关系)、面型(凸面型、凹面型、直面型)、唇部闭合度、颏部形态等。
- 45度角照片: 评估面部宽度、颧突度等。
- 大笑照片: 评估微笑露齿量、牙龈暴露量、微笑线形态等。
-
记录口腔内牙齿和软组织状态:
- 目的: 详细记录牙齿的位置、数量、形态、大小、排列情况、咬合关系、口腔卫生状况、牙龈健康、龋坏情况、牙周状况等。
- 口内正面像: 观察前牙区排列、中线、覆合覆盖、牙龈状况。
- 口内左侧/右侧像: 观察后牙区排列、颊侧牙龈、颊系带。
- 口内上颌/下颌咬合面像: 观察后牙咬合关系、窝沟形态、龋坏情况。
- 口内上颌/下颌颊侧像: 观察颊侧牙齿排列、牙龈形态、颊系带附着位置。
- 口内上颌/下颌腭/舌侧像: 观察腭/舌侧牙齿排列、腭形态、舌系带位置。
-
记录骨骼结构和牙齿位置关系:
- 目的: 评估颅颌面骨骼的形态、大小、位置关系,以及牙齿在颌骨内的位置(倾斜度、拥挤度、覆盖等)。
- 头颅侧位片: 进行头影测量分析,量化骨骼关系(如ANB角、SN-MP角、FH-MP角等)、牙齿位置(如U1-SN角、L1-MP角等)、软组织轮廓等,这是诊断骨骼型错颌畸形的核心工具。
- 全景片: 观察全口牙齿的发育、萌出情况、牙根形态、牙槽骨高度、有无埋伏牙、多生牙、阻生牙、根尖周病变、牙周支持情况等。
- CBCT: 提供三维信息,更精确地评估骨骼结构、牙根位置、牙槽骨厚度、颞下颌关节状况、埋伏牙位置等,尤其在复杂病例中不可或缺。
-
记录牙齿模型:
(图片来源网络,侵删)- 目的: 直观、精确地记录牙齿的排列、大小、形态、咬合关系(包括牙尖交错位、息止颌位等)、颌弓形态和大小。
- 研究模型(石膏或数字化)用于测量分析、诊断设计、方案预测(如模拟拔牙后效果)、制作保持器、后期效果对比等。
诊断与制定治疗计划
-
明确诊断:
- 目的: 基于所有影像资料和临床检查,确定患者错颌畸形的类型、机制、严重程度,区分是牙性、骨性还是功能性因素导致,以及是否存在其他口腔问题(如牙周病、颞下颌关节紊乱等)。
- 头影测量分析、全景片观察、模型分析、照片评估共同构成诊断依据。
-
制定个性化治疗方案:
- 目的: 根据诊断结果,为患者制定最合适、最有效、最符合美学和功能要求的矫治方案。
- 决定是否需要拔牙、拔哪颗牙。
- 选择矫治器类型(传统托槽、自锁托槽、隐形矫治等)。
- 设计牙齿移动方案(如关闭间隙、改正中线、改正深覆合/深覆盖、打开咬合、扩弓、压低/伸长牙齿等)。
- 评估是否需要辅助治疗(如牙周治疗、外科手术、修复治疗等)。
- 预测治疗难度、时间和可能风险。
治疗过程中的监控与调整
-
监控治疗进展:
- 目的: 定期检查牙齿是否按计划移动,治疗效果是否达到预期,及时发现偏差。
- 在治疗过程中(如每3-6个月),拍摄口内照片(重点观察关键牙齿移动情况、咬合变化、口腔卫生)和全景片(观察牙根位置、牙槽骨状况),必要时拍摄头颅侧位片或CBCT评估骨骼变化(尤其在生长改良治疗或成人复杂病例中)。
-
调整治疗方案:
(图片来源网络,侵删)- 目的: 根据监控结果,及时调整矫治力、矫治器附件或改变治疗策略。
- 如果发现牙齿移动不符合预期、出现意外情况(如牙根吸收、骨开窗/骨开裂)或患者要求改变方案,需要重新评估并调整。
治疗结束后的评估与效果展示
-
评估最终治疗效果:
- 目的: 全面评价治疗是否达到了预期的目标(牙齿排列整齐、咬合稳定、面部协调、功能良好)。
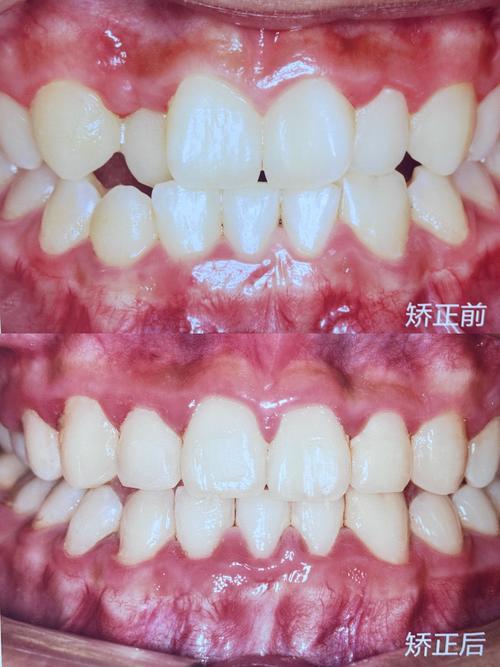
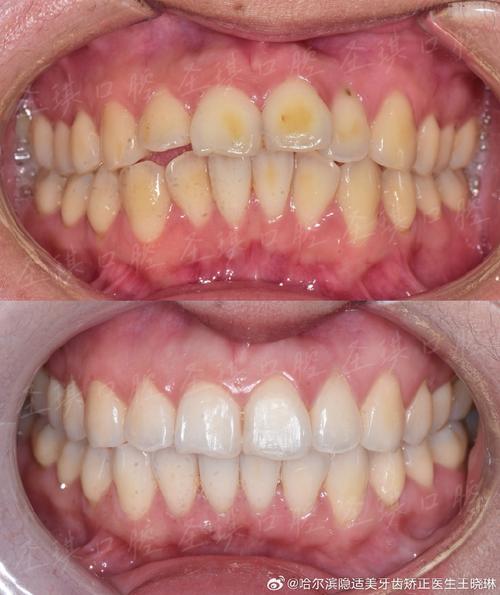
- 在矫治器拆除后,拍摄全套最终记录照片和X光片,与研究初始资料进行前后对比,评估:
- 牙齿排列的改善程度。
- 咬合关系的稳定性(覆合覆盖、尖窝关系)。
- 面部软组织的美学改善(侧貌、微笑)。
- 牙周健康和牙根状况。
- 模型显示的最终咬合关系。
-
制作保持器:
- 目的: 根据最终牙齿位置和咬合关系,制作合适的保持器以维持治疗效果。
- 通常需要拍摄最终模型来制作保持器。
-
效果展示与沟通:
- 目的: 向患者展示治疗成果,进行医患沟通,建立信任;也可用于学术交流或教学。
- 利用前后对比照片、模型、X光片等直观展示变化。
口腔正畸拍摄的核心目的是:通过全面、客观、可重复的影像记录,为正畸医生提供诊断依据、制定科学治疗方案、监控治疗进程、评估最终效果,并确保治疗的安全性和有效性。 每一次拍摄(尤其是初始记录)都至关重要,它们共同构成了患者整个正畸治疗周期的“视觉档案”和“导航地图”,没有这些影像资料,正畸治疗就如同“盲人摸象”,难以达到理想的效果。
