看到你在考虑四环素牙的修复问题,我能理解这种困扰,四环素牙确实会影响美观,让人在社交场合缺乏自信,别担心,通过现代牙科技术,完全可以获得美观自然的修复效果,我来详细解释一下四环素牙相关的种植牙和镶牙(修复)问题,帮助你做出更明智的选择。
🦷 核心概念区分
-
种植牙:
(图片来源网络,侵删)- 目的: 解决牙齿缺失的问题,在牙槽骨内植入人工牙根(种植体),再在其上安装牙冠,替代缺失的牙齿。
- 适用情况: 单颗、多颗牙齿缺失,或全口/半口无牙。
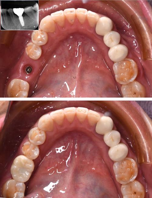
- 与四环素牙的关系: 如果你的四环素牙本身已经缺失(比如因严重龋坏、外伤等原因拔除),那么种植牙是首选的、最理想的修复方式,种植的牙冠可以选择颜色、形态与邻牙协调的全瓷材料,完美遮盖四环素牙缺失后的美观问题。
-
镶牙/修复:
- 目的: 解决牙齿缺损、变色、形态异常等问题,修复方式多种多样,包括:
- 全瓷冠/烤瓷冠: 覆盖整个牙冠,改变颜色、形态、增强强度。
- 瓷贴面: 粘贴在牙齿前表面,主要改善颜色和轻微形态问题。
- 树脂充填: 修复较小缺损(但四环素牙变色严重时,树脂修复效果有限且易变色)。
- 适用情况: 四环素牙本身还存在(没有缺失),但颜色深、可能伴有釉质发育不全、缺损等问题。
- 与四环素牙的关系: 这是处理现存四环素牙本身问题的主要手段,通过修复体(冠或贴面)遮盖住深色的四环素变色牙体,达到美观效果。
- 目的: 解决牙齿缺损、变色、形态异常等问题,修复方式多种多样,包括:
🎨 四环素牙修复(镶牙)的关键点
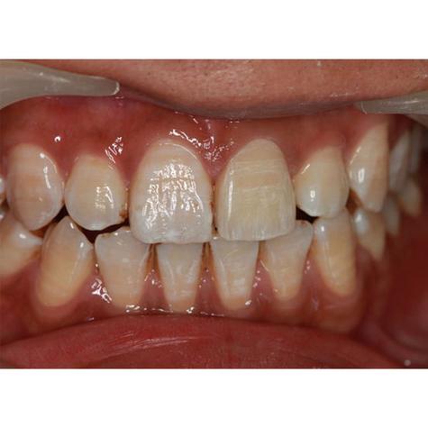
四环素牙修复的核心挑战在于其深且不均匀的变色(通常呈灰黄色、棕黄色、甚至灰黑色),以及可能伴随的釉质发育不全(牙体组织薄弱、表面粗糙、易磨损),修复时需要特别注意:
-
材料选择至关重要:
- 全瓷冠/瓷贴面(强烈推荐):
- 优点: 颜色遮盖力强,特别是高透性、高遮色性的全瓷材料(如氧化锆、二硅酸锂玻璃陶瓷),它们能有效阻挡四环素牙的深色,同时提供良好的通透感和自然光泽,与邻牙协调,全瓷生物相容性好,不会引起牙龈黑线(金属烤瓷冠可能发生)。
- 缺点: 费用较高,对牙体预备量要求相对较大(特别是全瓷冠),技术要求高。
- 金属烤瓷冠(不推荐用于前牙):
- 缺点: 金属边缘(尤其是牙龈边缘)容易透出灰黑色或蓝灰色,与四环素牙本身的深色叠加,效果更差,且易导致牙龈边缘变色,遮色能力通常不如优质全瓷材料美观自然。前牙修复应尽量避免使用金属烤瓷冠。
- 全瓷冠/瓷贴面(强烈推荐):
-
牙体预备要求:
(图片来源网络,侵删)- 足够的预备量: 为了给遮色性好的全瓷材料提供足够空间,通常需要磨除较多的牙体组织(尤其是对于变色严重的四环素牙)。
- 边缘位置: 边缘应位于健康牙体组织或龈上,避免在牙龈下方(龈下边缘),否则容易刺激牙龈,影响美观和长期效果。
- 保护牙髓: 操作需精细,避免过度产热损伤牙髓,如果牙髓活力可疑,可能需要先做根管治疗。
-
精准比色:
医生需要使用专业的比色板(如VITA 3D-Master, VITA Classical A1-D4等),在自然光下,结合患者肤色、年龄、邻牙颜色等因素,为修复体选择最匹配的颜色,这需要医生有丰富的经验和良好的审美。
-
技术要求高:
从取模、临时冠制作到最终修复体的粘接,每一步都要求精细操作,技师的水平也直接影响修复体的颜色、形态和边缘密合度,选择有经验、有资质的牙医和技师至关重要。
(图片来源网络,侵删) -
考虑贴面 vs. 全冠:
- 瓷贴面: 适用于颜色深但牙体形态基本正常、缺损不大的前牙。优点: 磨牙量少,更微创,能最大限度保留健康牙体组织。缺点: 对牙体条件要求高(釉质发育不全严重者不适用),粘接要求极高,远期成功率(特别是四环素牙)可能略低于全冠,价格也不低。
- 全瓷冠: 适用于变色极深、伴有较大缺损、牙体组织薄弱(如釉质发育不全严重)或需要改变较大形态的牙齿。优点: 覆盖整个牙面,固位和强度最好,遮色效果最可靠。缺点: 磨牙量大。
🌱 种植牙在四环素牙修复中的应用
- 当四环素牙缺失时: 如前所述,种植牙是修复缺失四环素牙的最佳选择,种植体可以稳固地植入牙槽骨,其上安装的全瓷牙冠可以完美地模仿自然牙齿的颜色、形态和功能,彻底解决美观和咀嚼问题。
- 当四环素牙未缺失但无法保留时: 如果四环素牙因严重龋坏、根尖周炎、牙周病或外伤等原因无法保留,需要拔除,那么拔除后进行种植牙修复也是理想的选择,拔牙后通常需要等待3-6个月(拔牙位点愈合)再进行种植手术。
- 种植牙冠材料: 种植牙的牙冠同样推荐使用全瓷材料(氧化锆、二硅酸锂等),理由与修复现存四环素牙相同:遮色性好、美观自然、生物相容性佳。
📌 总结与建议
-
明确你的核心问题:
- 牙齿缺失了吗? -> 首选种植牙(配合全瓷牙冠)。
- 牙齿还在,但颜色深、形态不好看? -> 选择修复(镶牙),主要是全瓷冠或瓷贴面。
-
四环素牙修复(镶牙)的关键:
- 必须选择全瓷材料(冠或贴面),避免金属烤瓷冠。
- 寻找经验丰富的医生,他们熟悉四环素牙的修复难点,能进行精准比色和精细操作。
- 充分沟通你的期望,了解不同方案的优缺点(磨牙量、费用、美观效果、寿命)。
- 做好口腔基础治疗:确保牙周健康(洗牙、治疗牙周炎),控制好龋齿。
-
种植牙的选择:
- 如果牙齿缺失,种植牙是功能、美观、长期效果最好的选择。
- 种植牙冠同样推荐全瓷材料。
- 种植前需要评估骨量(拍CT),骨量不足可能需要植骨。
-
费用考量:
- 无论是全瓷冠/贴面还是种植牙,费用都相对较高,全瓷冠/贴面单颗通常在几千到一万多元人民币,种植牙(含种植体、基台、牙冠)单颗通常在一万到三万多元人民币(根据品牌、地区、医生技术差异较大)。
- 考虑到四环素牙修复的复杂性,费用可能会比普通修复略高。
📍 行动步骤
- 预约专业口腔检查: 去正规口腔医院或大型连锁口腔机构,找种植或修复专科医生进行详细检查。
- 拍片评估: 拍全景片(曲面断层片)和根尖片,必要时拍CBCT(三维锥形束CT),评估牙齿、牙根、牙槽骨情况。
- 医生制定方案: 医生会根据你的具体情况(牙齿存留情况、牙周健康、骨量、咬合、美观需求、经济预算)制定详细的个性化治疗方案(是选择修复还是种植?修复用冠还是贴面?种植用什么品牌?)。
- 充分沟通: 与医生深入讨论方案细节、预期效果、风险、费用、治疗周期等。
- 选择并开始治疗: 在充分了解和信任的基础上,选择最适合你的方案并开始治疗。
四环素牙的美学修复是一门需要技术与艺术结合的学问。 不要因为牙齿颜色问题而失去自信,现代牙科技术完全能让你重展灿烂笑容,我建议你尽快预约专业口腔医生面诊,获得最适合你个人情况的方案,相信经过专业治疗,你的笑容一定能焕然一新!💪🏻
