不,种植牙并没有真正的“种子”,这是一个非常常见的误解!
“种植牙”这个名字来源于一个比喻,它形象地描述了手术过程,但实际原理和植物播种完全不同。

让我来详细解释一下:
种植牙到底是什么?
种植牙是一种修复缺失牙齿的方法,它由三个主要部分组成:
- 种植体: 这是植入牙槽骨内的部分,相当于人工牙根,它通常由纯钛或钛合金制成。
- 基台: 这是连接种植体和牙冠的中间部件,起到桥梁作用。
- 牙冠: 这是暴露在口腔中、模拟天然牙齿形态的部分,通常由陶瓷、烤瓷或全瓷材料制成。
“种植”的过程是怎样的?
-
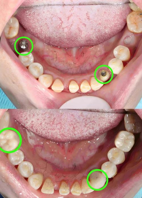
第一步:植入种植体(“种”的过程)
- 医生会在局部麻醉下,像做小手术一样,在缺牙位置的牙槽骨上钻一个孔。
- 将纯钛制成的种植体(一个类似小螺丝钉的装置)拧入或压入这个孔中,使其稳固地固定在牙槽骨内。
- 关键点: 这个“种植体”是人工制造的金属部件,不是种子,它被植入骨内,是为了替代天然牙根。
-
第二步:骨结合(“长根”的过程)
(图片来源网络,侵删)- 植入种植体后,需要等待一段时间(通常是几个月)。
- 在这段时间里,牙槽骨细胞会慢慢生长并附着在种植体表面,最终将种植体牢固地“长”在骨头里,这个过程叫做“骨结合”。
- 关键点: 这才是“种植”这个比喻的核心含义——人工牙根(种植体)在骨头上“生根发芽”,变得和骨头融为一体,非常稳固,但这完全是生物相容性材料(钛)与人体骨骼的自然结合过程,不是种子发芽。
-
第三步:安装基台和牙冠(“结果实”的过程)
- 当骨结合完成,种植体稳固后,医生会在种植体上安装基台。
- 在基台上安装上精心制作的牙冠。
- 关键点: 最终完成的种植牙,看起来、用起来都像一颗真牙。
为什么叫“种植牙”?为什么不是“螺丝牙”或“钉牙”?
- 形象的比喻: 这个名字非常形象地描述了手术过程(植入人工根)和最终效果(人工根在骨头上牢固结合,如同植物扎根),它通俗易懂,让患者容易理解这个过程。
- 文化习惯: 这个命名方式在中文语境下已经被广泛接受和使用。
- 强调生物结合: 它突出了种植牙与牙槽骨紧密结合、如同植物扎根于土壤的核心优势,这是它区别于其他假牙(如活动假牙、烤瓷桥)的关键。
种植体的材料为什么是钛?
- 生物相容性极佳: 钛是目前已知与人体组织相容性最好的金属之一,植入人体后不会引起排异反应。
- 骨结合能力强: 钛表面能促进人体骨细胞附着生长,实现牢固的骨结合。
- 强度高、耐腐蚀: 钛合金具有很高的机械强度和耐腐蚀性,能长期承受咀嚼力。
- 种植牙没有真正的“种子”。
- “种植牙”这个名字是一个形象的比喻,描述了人工牙根(种植体)被植入牙槽骨并最终与骨头牢固结合(骨结合)的过程。
- 种植体是纯钛或钛合金制成的人工部件,被植入骨内,替代天然牙根的功能。
- 最终目的是在种植体上安装一个美观、实用的牙冠,恢复缺失牙齿的形态和功能。
下次听到“种植牙”,你可以理解为:在牙槽骨里“种”下一颗坚固的“人工金属牙根”,让它和骨头长在一起,再在上面安上一颗“假牙”,这颗“种子”其实是高科技的金属螺丝钉哦!

