正畸口内像(也称为正畸口内照片或口内相)是正畸诊断、治疗计划制定、治疗过程监控以及最终效果评估的重要依据,一套完整的正畸口内像通常包括以下9张照片:
面部照片(非口内,但常作为正畸照片的一部分)
-
正面面部照片:
(图片来源网络,侵删)- 目的: 观察面部整体对称性、轮廓、比例(如面中1/3、下1/3高度)、鼻唇颏关系、面部软组织状态(如唇部丰满度、紧张度)。
- 拍摄要求: 患者自然放松,双眼平视前方,双唇自然闭合或轻触,不露齿,拍摄者与患者眼睛高度一致。
-
正面微笑照片:
- 目的: 评估患者最大微笑时的露龈量、牙龈曲线、上唇曲线、牙齿暴露量、微笑对称性,这对制定美学目标至关重要。
- 拍摄要求: 患者自然、最大地微笑,牙齿充分暴露,双唇自然上提,拍摄者与患者眼睛高度一致。
-
右侧侧面面部照片:
- 目的: 观察侧面轮廓(如鼻尖、上唇、下唇、颏部的突度与协调性)、颏颈角、面部垂直比例(下面高)。
- 拍摄要求: 患者头部自然侧转,使外眦、耳屏点、肩部在一条垂直线上,双唇自然闭合或轻触,不露齿,拍摄者位于患者正右方。
-
左侧侧面面部照片:
- 目的: 同右侧侧面照片,用于评估左侧面部轮廓和对称性。
- 拍摄要求: 同右侧侧面照片,拍摄者位于患者正左方。
口内照片(核心部分)
-
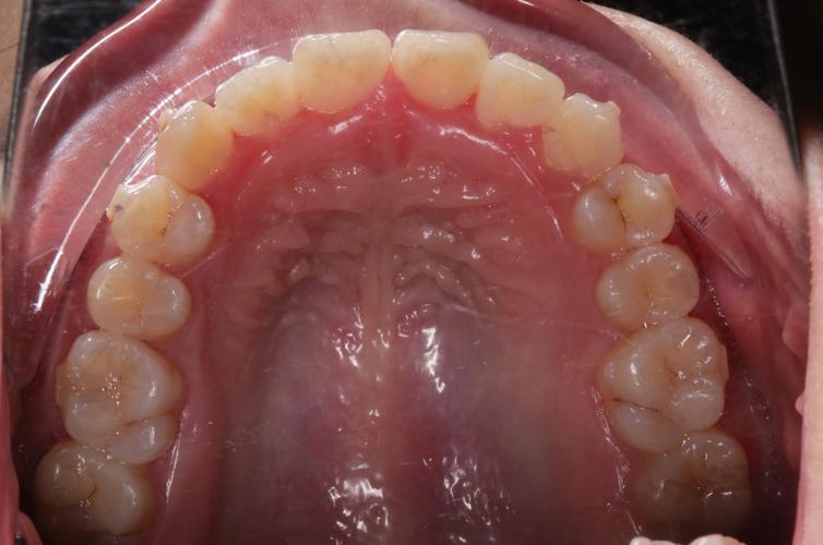
上牙列咬合面观:
(图片来源网络,侵删)- 目的: 观察上颌牙齿的排列情况(拥挤、间隙、扭转)、牙冠形态、龋坏、磨损、修复体、咬合关系(后牙尖窝接触)、牙弓形态、腭盖形态。
- 拍摄要求: 患者张口,上颌平面与地面平行,镜头垂直于牙列咬合面,用反光板或口镜牵拉颊部和舌体,充分暴露整个上牙列咬合面。
-
下牙列咬合面观:
- 目的: 同上牙列咬合面观,观察下颌牙齿的排列、形态、龋坏、磨损、修复体、咬合关系、牙弓形态、舌侧形态。
- 拍摄要求: 患者张口,下颌平面与地面平行,镜头垂直于牙列咬合面,用反光板或口镜牵拉颊部和舌体,充分暴露整个下牙列咬合面。
-
上牙列右侧颊侧观:
- 目的: 观察上颌右侧牙齿的颊侧形态、牙龈状况(红肿、退缩、增生)、邻接关系、龋坏、修复体、牙槽骨状况(如有暴露)、颊系带位置。
- 拍摄要求: 患者张口,镜头位于患者右侧,与上颌牙列颊侧约45度角,用口镜或反光板牵拉颊部,暴露牙齿颊面。
-
上牙列左侧颊侧观:
- 目的: 同上牙列右侧颊侧观,观察上颌左侧牙齿颊侧情况。
- 拍摄要求: 患者张口,镜头位于患者左侧,与上颌牙列颊侧约45度角,用口镜或反光板牵拉颊部,暴露牙齿颊面。
-
下牙列右侧颊侧观:
(图片来源网络,侵删)- 目的: 观察下颌右侧牙齿的颊侧形态、牙龈状况、邻接关系、龋坏、修复体、牙槽骨状况、颊系带位置。
- 拍摄要求: 患者张口,镜头位于患者右侧,与下颌牙列颊侧约45度角,用口镜或反光板牵拉颊部,暴露牙齿颊面。
-
下牙列左侧颊侧观:
- 目的: 同下牙列右侧颊侧观,观察下颌左侧牙齿颊侧情况。
- 拍摄要求: 患者张口,镜头位于患者左侧,与下颌牙列颊侧约45度角,用口镜或反光板牵拉颊部,暴露牙齿颊面。
-
上牙列右侧舌侧观:
- 目的: 观察上颌右侧牙齿的舌侧形态、牙龈状况、邻接关系、龋坏(如邻面龋)、修复体、舌侧形态(如舌隆突)、舌系带位置。
- 拍摄要求: 患者张口,镜头位于患者右侧,通过牵拉颊部(用口镜或反光板)和舌体(用棉卷或舌钳),暴露牙齿舌面,有时需要患者轻微舌尖上抬。
-
上牙列左侧舌侧观:
- 目的: 同上牙列右侧舌侧观,观察上颌左侧牙齿舌侧情况。
- 拍摄要求: 同上牙列右侧舌侧观,镜头位于患者左侧。
-
下牙列右侧舌侧观:
- 目的: 观察下颌右侧牙齿的舌侧形态、牙龈状况、邻接关系、龋坏、修复体、舌侧形态、舌系带位置。
- 拍摄要求: 同上牙列右侧舌侧观,镜头位于患者右侧。
-
下牙列左侧舌侧观:
- 目的: 同下牙列右侧舌侧观,观察下颌左侧牙齿舌侧情况。
- 拍摄要求: 同上牙列右侧舌侧观,镜头位于患者左侧。
-
上颌前牙区唇侧观:
- 目的: 重点观察上颌前牙(切牙、尖牙)的唇侧排列、形态、牙龈状况(特别是牙龈乳头)、中线、覆合覆盖关系、龋坏、修复体、牙槽骨状况(如有暴露)、唇系带位置。
- 拍摄要求: 患者张口,镜头位于患者正前方,对准上颌前牙区,用口镜或反光板牵拉上唇和颊部,暴露前牙唇面。
-
下颌前牙区唇侧观:
- 目的: 重点观察下颌前牙的唇侧排列、形态、牙龈状况、中线、与上颌前牙的咬合关系(覆合覆盖)、龋坏、修复体、牙槽骨状况、唇系带位置。
- 拍摄要求: 患者张口,镜头位于患者正前方,对准下颌前牙区,用口镜或反光板牵拉下唇和颊部,暴露前牙唇面。
-
上颌前牙区舌侧观:
- 目的: 观察上颌前牙的舌侧形态、牙龈状况、邻接关系、龋坏、修复体、舌侧形态、舌系带位置。
- 拍摄要求: 患者张口,镜头位于患者正前方或稍偏一侧,通过牵拉颊部和舌体,暴露上颌前牙舌面。
-
下颌前牙区舌侧观:
- 目的: 观察下颌前牙的舌侧形态、牙龈状况、邻接关系、龋坏、修复体、舌侧形态、舌系带位置。
- 拍摄要求: 同上颌前牙区舌侧观,暴露下颌前牙舌面。
-
正中咬合关系观:
- 目的: 记录患者处于正中咬合位时,上下颌牙齿的咬合接触关系(前牙覆合覆盖、后牙尖窝关系),这是评估咬合状态的关键照片。
- 拍摄要求: 患者咬在正中咬合位(后牙尖窝接触紧密,前牙有正常覆合覆盖),镜头垂直于牙弓平面(通常选择上颌或下颌咬合面观的角度,但需清晰展示上下牙列的咬合接触点)。
总结与说明
- 核心数量: 虽然列出了19种,但最常用、最核心的口内像组合是9张:上牙列咬合面、下牙列咬合面、上牙列右侧颊侧、上牙列左侧颊侧、下牙列右侧颊侧、下牙列左侧颊侧、上颌前牙区唇侧、下颌前牙区唇侧、正中咬合关系观,这9张基本能覆盖牙齿排列、形态、牙龈、咬合等核心信息。
- 颊舌侧观: 颊侧观(左右各上下)和舌侧观(左右各上下)以及前牙区唇舌侧观,是为了全面检查牙齿的各个面、邻接关系、牙龈状况和软组织附着,实际操作中,如果患者张口度好,舌侧观有时可以省略,但颊侧观和前牙区观必不可少。
- 正中咬合: 记录治疗前的原始咬合状态非常重要,是评估治疗效果的基准。
- 拍摄要求: 所有口内照片都要求清晰、无反光、无唾液干扰、视野充分,使用口镜、反光板、棉卷、吸唾器等工具是保证照片质量的关键,拍摄角度(垂直于牙面)和光线控制也很重要。
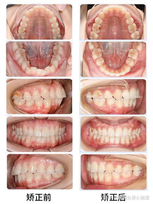
- 定期拍摄: 在治疗开始前(T0)、治疗中(如每次复诊或关键阶段)、治疗结束后(T1)都需要拍摄完全相同角度和位置的照片,以便进行对比评估。
- 其他可能照片: 对于特定病例,医生可能还需要拍摄颞下颌关节开闭口位照片、特殊咬合位照片(如前伸、侧方)、软组织照片(如牙龈增生、溃疡)等,但这不属于常规9张口内像范畴。
当你问“正畸口内像包括哪几张”时,最标准、最核心的答案是9张口内照片(如上所述),通常还会配套拍摄4张面部照片(正面、微笑、左右侧面),构成一套完整的13张正畸初始记录照片。
