牙冠延长术是一种牙周手术,旨在通过切除部分牙龈组织和/或修整牙槽骨,暴露更多的健康牙体组织(通常是牙冠),以便为后续的修复体(如牙冠、桥、贴面)提供足够的固位空间和生物学宽度,同时改善美观和功能。
以下是牙冠延长术的主要手术方法及其步骤:

核心目标
- 暴露足够的健康牙体组织: 为修复体提供理想的边缘位置(通常在龈上或平龈),确保边缘封闭性和美观。
- 建立健康的生物学宽度: 这是龈沟底到牙槽嵴顶的距离(约2mm),包括结合上皮(约1mm)和牙槽嵴上纤维(约1mm),手术必须保证最终龈沟底位于生物学宽度之上,否则会导致牙龈反复肿胀、退缩或修复体失败。
- 创造可清洁的边缘环境: 使修复体边缘易于患者日常清洁和维护。
- 改善美观(尤其在前牙区): 恢复牙龈轮廓、对称性和“粉白美学”。
主要手术方法
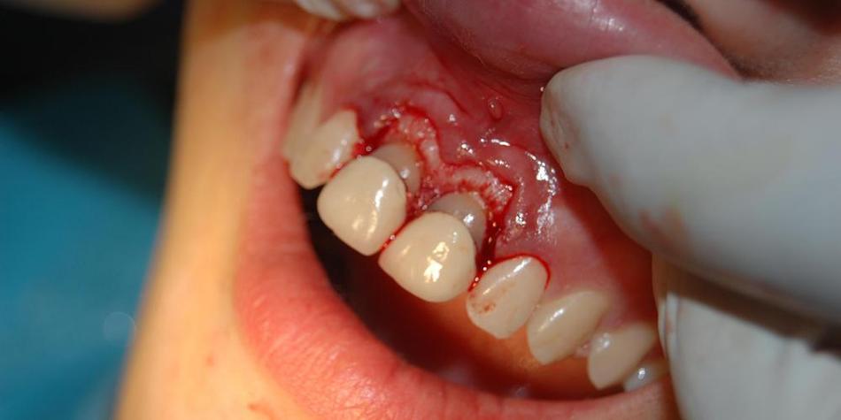
传统翻瓣术 (Traditional Flap Surgery)
这是最经典和常用的方法,适用于各种情况(单颗牙、多颗牙、后牙、前牙)。
- 步骤:
- 麻醉: 局部浸润麻醉或神经阻滞麻醉。
- 切口设计:
- 内斜切口: 在预计新牙龈边缘的根方约1-2mm处,与牙长轴呈45度角切入牙龈组织,直达牙槽骨表面,这是暴露骨面的关键切口。
- 沟内切口: 沿牙龈沟底部做切口,分离牙龈上皮和结缔组织。
- 龈乳头切口(可选): 对于多颗牙或需要保留龈乳头的情况,在相邻牙的龈乳头基底做垂直松弛切口,有助于瓣的复位。
- 翻瓣: 使用牙周刮治器或骨膜分离器,小心地将包含牙龈和结缔组织的全厚瓣(包括骨膜)从牙槽骨表面剥离、翻起,暴露牙槽骨和需要修整的牙根表面。
- 根面平整: 彻底清除牙根表面的菌斑、牙石、病变的牙骨质和牙周膜纤维,使根面光滑、生物相容,这是预防术后感染和促进愈合的关键步骤。
- 骨修整:
- 核心步骤! 使用高速涡轮机球钻或骨凿/骨锉,根据术前设计(通常需要暴露至少3-4mm的健康牙体组织,并确保最终龈沟底在生物学宽度之上)修整牙槽骨。
- 对于单颗牙,修整呈“碗状”或“梯形”,即邻骨高度保留,中央骨嵴降低。
- 对于多颗牙,修整呈“波浪状”,保留邻间骨嵴,降低中央区域骨高度。
- 必须保证: 新形成的牙槽嵴顶到最终预期的龈沟底的距离至少为2mm(生物学宽度)。
- 瓣复位与缝合:
- 将牙龈瓣复位到理想的新位置(即内斜切口处)。
- 使用可吸收缝线(如 Vicryl, Chromic Gut)或不可吸收缝线进行无张力缝合,缝合方式多样,如间断缝合、悬吊缝合、褥式缝合等,目的是使龈瓣紧密贴合在骨面和根面上,稳定龈乳头形态。
- 塞治: 放置牙周塞治剂,保护创口,止血,减轻患者不适。
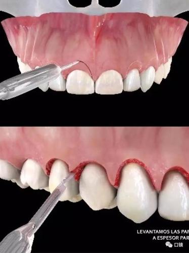
冠向复位瓣术 (Coronally Repositioned Flap Technique)
这是传统翻瓣术的一种改良,特别适用于前牙美学区,旨在最大程度减少术后牙龈退缩,保留龈乳头高度。
- 步骤:
- 麻醉: 同传统翻瓣术。
- 切口设计:
- 内斜切口: 位置与传统术式相同,是确定新牙龈边缘的关键。
- 沟内切口: 同传统术式。
- 龈乳头切口: 必须做! 在每个需要保留的龈乳头的近中和远中做垂直松弛切口(切口方向朝向牙槽嵴顶),深度直达骨面,这是将龈乳头冠向复位的基础。
- 翻瓣: 翻起包含龈乳头的全厚瓣(龈乳头基底与骨面相连)。
- 根面平整: 同传统术式。
- 骨修整: 同传统术式,核心是建立生物学宽度。关键点: 骨修整量可能需要更精确,因为龈乳头基底与骨面的附着关系对最终形态至关重要。
- 瓣复位与缝合:
- 将包含龈乳头的全厚瓣冠向复位到理想的新位置(内斜切口处)。
- 缝合技巧: 重点在于将龈乳头垂直松弛切口处的龈组织牢固地悬吊固定在邻牙的牙槽嵴顶或邻牙的牙面上(使用悬吊缝线),确保龈乳头无张力地位于骨面上,避免塌陷,龈乳头之间的区域用间断缝合关闭。
- 塞治: 同传统术式。
激光辅助牙冠延长术 (Laser-Assisted Crown Lengthening)
利用特定波长的激光(如Er:YAG, CO2)进行部分或全部手术步骤,常与传统翻瓣术结合使用。
- 步骤:
- 麻醉: 同传统术式。
- 激光切口: 使用Er:YAG或CO2激光进行内斜切口和沟内切口,激光具有止血好、术野清晰、减少术后肿胀和疼痛的优点。
- 翻瓣(可选): 可以完全用激光进行软组织切开和剥离,形成全厚瓣;也可以结合传统器械翻瓣。
- 根面平整: 可以使用激光或传统器械(刮治器、超声)进行,激光可精确去除病变组织。
- 骨修整: 通常仍需使用传统高速涡轮机或骨凿进行。 虽然有研究探索激光去骨(如Er:YAG),但效率和精确性目前尚不如传统器械,临床应用较少。
- 瓣复位与缝合: 同传统术式或冠向复位瓣术,激光切口对组织损伤小,可能更利于愈合。
- 塞治: 同传统术式。
术后护理与恢复
- 术后24小时内: 避免手术区域咀嚼、刷牙、漱口(轻柔漱口可用),冰敷减轻肿胀。
- 术后1周: 保持口腔卫生(非手术区正常刷牙,手术区用漱口水),避免过硬、过热食物,按时复诊拆线(通常7-10天)。
- 术后2-6周: 牙龈开始初步愈合,形态稳定,肿胀和不适感逐渐消退,此时可开始用软毛牙刷轻柔清洁手术区。
- 术后6-8周: 牙龈愈合基本完成,形态趋于稳定,此时可进行最终的印模和修复体制作。
- 长期维护: 术后需更频繁的牙周维护复查(每3-4个月),强调良好的口腔卫生,防止复发。
重要考虑因素
- 术前评估: 必须拍摄根尖片和曲面断层片评估牙根长度、牙槽骨高度、邻牙情况,必要时进行CBCT精确评估三维骨形态和牙根位置(尤其靠近重要解剖结构如神经管时)。牙周探诊深度、附着丧失、牙龈生物型(厚薄) 对手术设计和预后至关重要。
- 生物学宽度: 这是手术成功的基石,必须严格遵守。
- 牙龈生物型: 薄龈生物型患者术后牙龈退缩风险更高,手术设计需更保守,冠向复位瓣术可能更合适。
- 邻牙状态: 邻牙缺失或牙周状况不佳会影响龈乳头保留和手术效果。
- 正畸辅助: 对于需要大量骨切除或牙齿位置不佳(如低位牙)的复杂病例,术前或术后进行正畸压低牙齿可以显著减少骨切除量,降低牙龈退缩风险,提高美学效果。
- 美学预期: 前牙区手术需综合考虑微笑线、牙龈对称性、牙冠比例等美学因素。
牙冠延长术的核心是精确的骨修整以建立生物学宽度和理想的软组织复位,传统翻瓣术是基础,冠向复位瓣术是前牙美学的优选,激光辅助可改善术后反应,手术的成功高度依赖于精确的术前评估(影像学、临床检查)、严格遵循生物学宽度原则、精细的手术技巧以及完善的术后维护,最终效果和长期稳定性与患者的口腔卫生习惯和定期牙周维护密切相关。该手术必须由经过专业培训的牙周医生或经验丰富的口腔外科医生进行。


