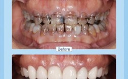
黑牙是常见的口腔问题,不仅影响美观,还可能暗示口腔健康隐患,治疗黑牙需先明确病因,再针对性选择方法,日常护理与专业治疗结合才能达到理想效果。
黑牙的成因主要有三类:外源性染色、内源性染色和牙体疾病,外源性染色最常见,长期喝茶、咖啡、可乐,或抽烟、咀嚼槟榔等,会导致色素沉着在牙面;内源性染色则与牙齿发育或代谢有关,如四环素牙(儿童期服用四环素类药物)、氟斑牙(高氟地区饮水过量)、牙髓坏死后血液分解产物渗入牙本质等;牙体疾病如龋齿、牙釉质发育不全,也会让牙齿呈现灰黑色。

针对不同原因,治疗方法需个体化设计,日常护理是基础,可预防或减轻外源性染色:每天早晚用巴氏刷牙法刷牙(与牙面呈45度角,小幅度水平震颤),配合含氟牙膏,减少色素附着;使用牙线或冲牙器清洁牙缝,避免色素堆积;减少深色食物和饮料摄入,食用后及时漱口;戒烟限酒,槟榔等刺激性食物需彻底避免;每半年到一年进行一次专业洗牙(超声波洁治),清除牙结石和色素沉着,但需注意洗牙无法改变内源性染色或牙体结构问题。
若日常护理无法改善,需结合专业治疗,常见方法如下:
-
牙齿美白:适用于外源性染色、轻中度内源性染色(如氟斑牙、四环素牙),冷光美白是主流方式,通过过氧化氢等美白剂配合冷光照射,穿透牙釉质分解色素,一般1-2次治疗,每次30-60分钟,可提升2-6个色阶,但敏感者可能出现牙齿酸痛,通常1-3天缓解;家庭美白需定制托盘,使用低浓度美白剂,疗程2-4周,效果较温和。
-
瓷贴面/全瓷冠:适用于中重度内源性染色、牙釉质缺损、牙体缺损较大者,瓷贴面是将薄层瓷材料粘贴于牙面,保留更多牙体组织,色泽自然,抗染色,适合前牙美容;全瓷冠需磨除较多牙体,用全瓷材料包裹整个牙冠,强度更高,适合后牙或严重缺损的情况,但需磨牙较多。
(图片来源网络,侵删) -
树脂修复:适用于龋齿(蛀牙)导致的黑牙,去除腐坏组织后,用树脂材料填充恢复牙齿外形和颜色,操作简单、经济,但易染色,需注意维护。
-
根管治疗+内漂白:适用于牙髓坏死导致的牙冠变黑,先进行根管治疗清除坏死牙髓,再通过根管内放置漂白剂,分解牙本质内色素,恢复牙齿颜色,适用于单颗前牙,避免拔牙。
-
修复治疗:对于牙体严重缺损或变色无法挽回的情况,可考虑种植牙、烤瓷牙等修复方式,但费用较高,需综合评估。
选择治疗方法时,需由专业口腔医生检查判断,结合染色原因、牙齿状况、患者需求制定方案,外源性染色以洗牙和美白为主;内源性染色根据严重程度选美白或贴面/冠;牙体疾病则需先治疗病变再修复。
相关问答FAQs
Q:黑牙治疗后会复发吗?
A:可能复发,外源性染色若不注意日常护理(如继续抽烟、喝深色饮料),1-2年内可能再次着色;内源性染色治疗后相对稳定,但瓷贴面/全瓷冠若边缘密合不佳,也可能出现边缘色素沉着,定期复查、保持良好口腔习惯可延长疗效。
Q:日常如何预防黑牙加重?
A:①正确刷牙+牙线清洁,每天至少2次,每次3分钟;②减少咖啡、红茶、酱油等深色食物及碳酸饮料摄入;③吸烟者尽早戒烟;④使用软毛牙刷,避免过度用力刷牙损伤牙釉质;⑤每半年洁牙一次,及时清除牙结石;⑥发现牙齿颜色异常或疼痛,及时就医排查病因。
