ITI种植系统作为国际知名的种植牙技术,其图片资料不仅是医生沟通的重要工具,也是患者了解种植过程的关键参考,通过直观的图片,患者可以清晰认识种植体的结构、手术步骤及术后效果,从而消除对种植牙的陌生感和恐惧感,ITI种植系统源自瑞士,凭借其独特的设计理念和临床优势,成为全球广泛应用的高品质种植解决方案,而相关图片则生动展现了这一技术的精密性与可靠性。
从种植体结构来看,ITI种植体的图片通常展示出多个核心部件,种植体作为植入牙槽骨的部分,表面采用SLA活性处理技术,图片中可见其粗糙的表面纹理,这种设计能有效促进骨细胞附着,加速骨结合进程,基台作为连接种植体与牙冠的中间结构,图片中可观察到其多样化的角度和高度选择,能适配不同位置的缺牙需求,愈合基台在手术初期的图片中尤为常见,其凸起的形态能引导牙龈形成自然的袖口形态,为后续牙冠佩戴提供理想的美学基础,通过表格对比,这些部件的功能与优势一目了然:种植体负责承担咀嚼力,SLA表面缩短骨结合时间至6-8周;基台确保修复体的精确就位,个性化设计提升适配性;愈合基台塑造牙龈形态,降低软组织美学风险。

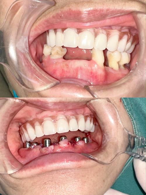
手术过程的图片则完整呈现了ITI种植的精准操作流程,术前影像学图片通常包含CBCT三维重建图像,清晰显示牙槽骨的厚度、密度以及重要解剖结构的位置,帮助医生制定个性化方案,手术中的图片可能展示微创切口的设计,ITI种植系统常采用翻瓣或不翻瓣技术,图片中可见切口仅为3-5mm,最大限度减少创伤,种植体植入瞬间的图片尤为关键,种植体的锥形设计和螺纹结构在图片中清晰可见,这种设计能确保种植体在植入时获得初期稳定性,尤其适合即刻种植案例,术后复查的图片则展示了种植体与骨组织结合的良好状态,X光片中种植体周围骨密度均匀,无透射影,印证了其长期成功率。
术后效果的对比图片更能体现ITI种植系统的价值,缺牙区域的术前图片可能显示牙槽骨萎缩、邻牙倾斜,而修复后的图片则呈现牙冠色泽自然、形态逼真,与邻牙无明显差异,功能方面,咀嚼效率的对比图片中,患者术后能正常咀嚼坚果等较硬食物,面部表情也更加自然自信,长期随访的图片显示,ITI种植体周围软组织稳定,牙龈乳头形态良好,无黑三角出现,这得益于其平台转移设计,能有效防止边缘骨吸收,维持长期美学效果。
ITI种植系统的图片不仅是静态的影像资料,更是技术与艺术的结合,其种植体的精密结构在图片中展现的细节,反映了制造商对材料科学和生物力学的极致追求;手术过程的每一步图片,都体现了医生对精准操作的把控;而术后效果的对比图片,则直接传递了种植牙带来的生活品质提升,对于患者而言,这些图片是了解种植牙、建立信任的重要桥梁;对于医生而言,它们是沟通方案、记录病例的有效工具,共同推动着种植技术的发展与普及。
相关问答FAQs
Q:ITI种植牙的图片能看出哪些关键信息?
A:ITI种植牙的图片通常包含多方面关键信息:结构上可观察种植体的表面处理(如SLA活性表面)、基台形态及连接方式;手术过程中可看到切口大小、植入角度及初期稳定性评估;术后效果则包括牙冠色泽、牙龈形态、咀嚼功能恢复情况,以及X光片中种植体与骨结合的状态,这些信息帮助患者直观了解种植体的精密设计和手术的精准性,同时为医生评估治疗效果提供依据。

Q:ITI种植术后效果图片能维持多久?
A:ITI种植术后效果图片的“维持时间”取决于多个因素,从种植体本身看,其采用的四级钛材料及SLA表面处理能确保长期稳定性,临床数据显示10年以上成功率超过95%,因此长期效果图片(如5年、10年随访)通常显示稳定的骨结合和美观效果,但软组织美学效果可能受患者口腔卫生习惯、咬合关系等因素影响,定期复查和维护(如每年洁牙、专业检查)有助于维持术后效果的持久性,使效果图片长期保持理想状态。

