冷牙胶充填是根管治疗中常用的根管封闭技术,通过将牙胶尖与根管封闭剂结合,采用侧方加压或垂直加压等方式严密填塞根管系统,以达到隔绝根管与根尖周组织、防止再感染的目的,该技术凭借操作相对成熟、封闭效果可靠等优点,在临床广泛应用,尤其适用于直或中度弯曲的根管治疗。
冷牙胶充填的适用范围
冷牙胶充填适用于根尖孔发育完全的恒牙根管,包括前牙、前磨牙和磨牙的直根管或中度弯曲根管(弯曲度<30°);对于无严重钙化、狭窄的根管,且根尖狭窄区完整的患牙效果更佳,但需注意,极度弯曲根管(弯曲度>40°)、严重钙化或狭窄无法预备至工作长度的根管、根尖孔未闭的年轻恒牙(需优先行根尖诱导形成)以及存在根管内吸收或 perforation 的患牙,则不宜采用冷牙胶充填。

冷牙胶充填的操作步骤
根管预备
根管预备是冷牙胶充填的基础,需使用机用镍钛锉(如ProTaper、WaveOne等)或手用K锉逐步扩大根管,达到预设的工作长度(根尖孔0.5-1mm),同时维持根尖狭窄区的完整性,确保预备后的根管呈连续锥形,无台阶、无肩台,预备过程中需用2.5%次氯酸钠和17%EDTA交替冲洗,以清除根管内碎屑和玷污层,随后用纸尖干燥根管。
试尖
试尖是确定主牙胶尖尺寸的关键步骤,选择与主锉锥度匹配的主牙胶尖(通常为主锉的锥度,如#25主锉选#25牙胶尖),在牙胶尖上标记工作长度,插入根管内试插,理想的主尖应尖端刚好到达根尖狭窄区,有轻微摩擦感(回拉1-2mm有阻力),且根管内剩余空间为副尖填塞留出余地(一般为主尖直径的1/4-1/3),若主尖过松(无摩擦感)或过紧(无法就位),需更换不同尺寸的牙胶尖重新试尖。
涂布封闭剂
用螺旋输送头或光滑髓针蘸取少量根管封闭剂(如氧化锌丁香油水门汀、氢氧化钙糊剂或AH Plus等),均匀涂布于根管壁,避免封闭剂过多导致超充(超出根尖孔)或形成气泡,影响封闭效果。
主尖充填
将蘸有少量封闭剂的主牙胶尖缓慢插入根管至工作长度,旋转轻压使其与根管壁密合,避免强行插入导致台阶形成或侧穿,主尖就位后,其根管口端应露出2-3mm,便于后续副尖填塞和加压操作。

副尖充填
选择锥度小于主尖的副牙胶尖(如#20、#15等),蘸取少量封闭剂,用侧方加压器插入根管内,在主尖旁侧向加压,使副尖进入剩余空间,侧方加压器的直径应从细到粗逐步递增(如#25→#30→#35),重复此步骤直至根管内填满(侧方加压器无法再进入根管内约2mm深度)。
垂直加压(可选)
对于根管较粗或需增强封闭效果的情况,可使用热垂直加压器加热牙胶尖尖端(1-2mm),软化后垂直向根尖方向轻压,使牙胶尖与根管壁更贴合,减少微渗漏,垂直加压时需控制加热温度(不超过150℃)和加压力度,避免牙胶尖碳化或封闭剂失效。
充填完成检查
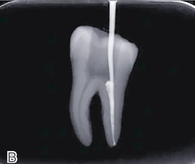
去除根管口多余的牙胶尖(可用加热器或挖器烫除),检查充填体表面光滑、无气泡,随后拍摄X线片确认充填效果:理想状态为“恰填”——牙胶尖尖端达工作长度,封闭剂均匀分布于根管壁,无超填(超出根尖孔)或欠填(未达工作长度)。
冷牙胶充填关键步骤操作要点及注意事项
| 步骤 | 操作要点 | 注意事项 |
|---|---|---|
| 根管预备 | 机用镍钛锉逐步扩大,维持根尖狭窄区,17%EDTA润滑,纸尖干燥 | 避免过度预备导致根管壁薄弱,台阶形成会影响牙胶尖就位 |
| 试尖 | 选择与主锉锥度匹配的主尖,标记工作长度,有轻微摩擦感 | 主尖过松会导致封闭不严,过紧会导致台阶或侧穿 |
| 涂布封闭剂 | 螺旋输送头均匀涂布,避免过多 | 封闭剂过多可能超出根尖孔,引起根尖周炎症 |
| 主尖充填 | 蘸封闭剂缓慢插入,旋转轻压密合 | 切忌强行插入,防止根管壁或牙胶尖折断 |
| 副尖充填 | 侧方加压器选择与根管匹配,蘸封闭剂插入加压,重复至填满 | 侧方加压器直径应递增,避免暴力加压导致根管折裂 |
| 垂直加压 | 热垂直加压器加热尖端1-2mm,垂直向根尖加压 | 仅适用于根管粗大者,避免过度加热导致牙胶尖碳化或封闭剂失效 |
| 充填完成检查 | 去除多余牙胶,拍摄X线片确认恰填 | X线片需显示封闭剂均匀分布,无超填或欠填 |
冷牙胶充填的优缺点
优点:操作技术成熟,设备要求相对简单(仅需侧方加压器、加热器等),材料成本低(牙胶尖和封闭剂价格适中),封闭效果可靠,尤其对于直根管能形成严密的三维封闭。
缺点:操作耗时较长(尤其是侧方加压需多次插入副尖),对术者技术要求高(试尖、加压力度需精准);弯曲根管中侧方加压器难以到达根尖段,可能导致根尖封闭不完善;过度加压可能引起根管纵裂,尤其在薄弱根管(如下颌前牙);封闭剂可能随时间降解,长期封闭效果需定期复查。

注意事项
- 根管预备时保持根尖狭窄区完整性,避免破坏根尖孔,防止根尖周组织刺激;
- 试尖必须准确,主尖就位是良好封闭的基础;
- 侧方加压时动作轻柔,避免使用过大直径的加压器,防止根管折裂;
- 封闭剂选择需符合生物相容性,避免对根尖周组织造成刺激;
- 充填后必须拍摄X线片确认充填质量,发现超填或欠填需及时处理。
相关问答FAQs
问:冷牙胶充填和热牙胶充填(如热垂直加压充填)有什么区别?
答:冷牙胶充填主要通过侧方加压使牙胶尖填塞根管,操作相对简单,适合直根管,但弯曲根管封闭可能不完善;热牙胶充填通过加热软化牙胶,使其流动性增强,能更严密填塞根管系统(尤其适合弯曲、复杂根管),封闭效果更优,但设备要求高(需热压设备),操作难度大,且可能因加热过度导致牙胶尖碳化。
问:冷牙胶充填后需要多久才能戴牙冠?
答:通常冷牙胶充填后需观察1-2周,确认无根尖周反应(如疼痛、肿胀),且X线片显示充填良好后即可进行牙冠修复,若根尖周有炎症(术前存在或充填后出现),需先进行抗炎治疗(如根管封药、口服抗生素),待炎症消退后再修复,避免过早戴冠导致炎症扩散或充填体脱落。
