在口腔健康领域,缺牙是影响生活质量的常见问题,传统修复方式如活动假牙、固定桥各有局限,而种植牙因功能、美观接近天然牙成为主流,但你知道吗?还有一种修复方式能“用自己的牙”解决缺牙问题——自体牙移植,即将自身其他部位的健康牙齿(如下颌智齿、前磨牙等)移植到缺失牙区域,利用牙齿自身的生物学特性重建咀嚼功能,这种方式因生物相容性极佳、愈合速度快、费用相对较低等优势,逐渐受到关注。
自体牙移植:用自己的牙“种”自己的牙
自体牙移植的核心原理是将“供牙”(患者自身可保留的健康牙齿)通过外科手术植入“受牙区”(因龋坏、外伤、正畸等原因缺失的牙槽窝),借助牙周组织的再生能力,实现牙齿与牙槽骨的骨性结合,恢复牙列完整与功能,与传统的种植牙(植入人工种植体)相比,自体牙移植的优势在于:

- 生物相容性满分:移植的牙齿是自体组织,无排异反应,愈合速度更快;
- 费用相对较低:相比进口种植体,省去了材料成本,适合预算有限的患者;
- 功能恢复更自然:牙齿的形态、色泽与邻牙高度匹配,且牙周感受器能传递咬合力,咀嚼感更接近天然牙;
- 保留供牙资源:避免了对邻牙的磨损(如固定桥需磨小邻牙),同时解决了“无用牙”(如阻生智齿)的闲置问题。
哪些情况适合自体牙移植?
并非所有缺牙都能采用自体牙移植,需严格评估适应症与禁忌症,以下是具体适用情况:
缺牙类型与受牙区条件
- 前牙区缺失:因外伤、龋坏导致的前牙缺失,若受牙区骨量充足、牙龈形态良好,且邻牙无严重病变,可考虑将前磨牙或智齿移植至此,快速恢复美观与功能。
- 后磨牙区缺失:第一磨牙(“六龄齿”)早失是常见问题,若第二磨牙(“第七颗牙”)尚未萌出或位置异常,可将正畸需拔除的第一前磨牙移植到第一磨牙区,避免磨牙间隙前移导致的咬合紊乱。
- 正畸拔牙后的间隙利用:正畸治疗中常需拔除前磨牙(如第一前磨牙),若患者存在其他牙位(如下颌智齿)阻生,可将其拔除后移植至拔牙区,既完成正畸目标,又修复了缺牙。
供牙选择标准
供牙是移植成功的关键,需满足以下条件:
- 牙根发育良好:青少年患者可选择牙根未完全发育的年轻恒牙(根尖孔未闭),术后牙髓更容易存活;成人需选择牙根发育完成、无弯曲或轻度弯曲的牙齿。
- 牙周组织健康:供牙无严重龋坏、牙周炎、根尖周病变,牙槽骨无明显吸收。
- 位置与形态匹配:供牙的牙根长度、冠根比、牙冠形态应与受牙区接近,确保术后咬合稳定。
禁忌症
- 供牙问题:供牙有牙髓坏死、根尖囊肿、牙根吸收或严重牙周病变;
- 受牙区问题:受牙区骨量严重不足(需植骨)、存在囊肿或肿瘤、牙龈萎缩明显;
- 全身性疾病:未控制的糖尿病、骨质疏松、凝血功能障碍、长期服用抗凝药物等,可能影响术后愈合。
以下表格总结了自体牙移植的适应情况与禁忌症:
| 类别 | |
|---|---|
| 适应情况 | 前牙/后磨牙区缺失;受牙区骨量充足、牙龈健康;存在符合条件的供牙(如智齿、前磨牙);正畸需拔除的牙齿可利用。 |
| 供牙选择标准 | 牙根发育良好(年轻恒牙或成熟恒牙);无龋坏、牙周炎、根尖周病变;牙根形态与受牙区匹配。 |
| 禁忌症 | 供牙病变严重;受牙区骨量不足或存在病变;全身性疾病影响愈合(如未控糖尿病、凝血障碍)。 |
自体牙移植的手术流程与术后护理
自体牙移植是一项精细的口腔外科手术,需严格遵循操作规范,术后护理直接影响成功率。

手术流程(分阶段详解)
-
术前评估:
通过CBCT(锥形束CT)检查供牙与受牙区的牙根形态、骨量、神经血管位置,制定详细方案;常规检查血常规、凝血功能、血糖等,排除手术禁忌。 -
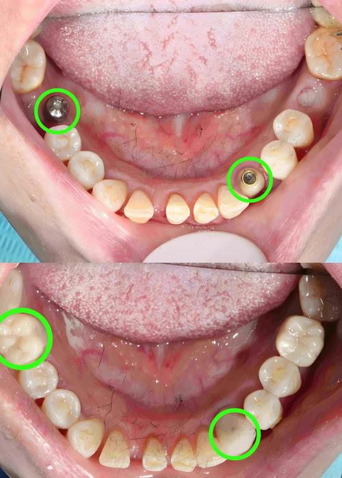
供牙拔除与保存:
局麻下微创拔除供牙,避免损伤牙根表面牙周膜(牙齿与牙槽骨之间的“连接组织”,是存活的关键);用生理盐水或特殊保存液(如Hank's平衡盐溶液)浸泡,保持牙周膜活性(离体时间越短越好,最好在30分钟内完成移植)。 -
受牙区预备:
去除受牙区的病变组织(如炎性肉芽、残根),修整骨壁,制备与供牙大小匹配的牙槽窝,避免过大或过小(过小易损伤牙根,过大不利于初期稳定)。 -
牙齿移植与固定:
将供牙植入受牙区,调整至理想位置(牙冠邻接关系正常、咬合无早接触),用钢丝结扎或树脂夹板固定固定期通常为2-4周,确保移植牙在愈合初期不受外力干扰。
(图片来源网络,侵删) -
术后处理:
拍X线片确认移植位置,给予抗生素、止痛药;术后1周拆线,定期复查(术后1个月、3个月、6个月、1年)。
术后护理(分阶段要点)
- 短期(1-2周):
避免患侧咀嚼,饮食以流质或软食为主(如粥、酸奶、泥状食物);保持口腔卫生,用漱口水含漱,刷牙时避开移植区域,防止固定装置松动。 - 中期(1-3个月):
拆除固定装置后,逐渐过渡到正常饮食,但仍避免咬硬物(如坚果、骨头);复查牙髓活力(冷热测试、电活力测试),若出现牙髓坏死,需及时根管治疗。 - 长期(3个月以上):
定期洁牙(每6个月1次),检查牙根吸收情况(X线片);若牙根出现轻度吸收(1/3以内),可观察随访;严重吸收需拔除移植牙。
以下表格为术后不同阶段的护理要点:
| 阶段 | 护理要点 |
|---|---|
| 短期(1-2周) | 流质/软食,避免患侧咀嚼;用漱口水保持口腔卫生;刷牙避开移植区;按时服用抗生素。 |
| 中期(1-3个月) | 拆除固定装置后逐渐恢复正常饮食,忌硬物;复查牙髓活力,发现坏死及时根管治疗。 |
| 长期(3个月以上) | 定期洁牙;每6个月拍X线片检查牙根吸收情况;维护口腔卫生,预防牙周炎。 |
自体牙移植的成功率与风险
自体牙移植的成功率受多种因素影响,研究显示,若适应症选择正确、手术操作规范,成功率可达80%-95%,其中年轻患者(青少年至中年)因牙周组织再生能力强,成功率更高。
主要风险与应对
- 牙根吸收:最常见并发症,多因离体时间过长、操作损伤牙根或术后创伤(咬合过大)导致;轻度吸收可定期观察,严重吸收需拔除。
- 牙髓坏死:供牙离体时间超过2小时或牙根损伤可能导致牙髓失活;术后1个月若牙髓测试无反应,需行根管治疗。
- 感染:术中无菌操作不严或术后口腔卫生差可能引发感染;术前预防性使用抗生素、术后保持口腔清洁可降低风险。
- 固定失败:固定装置松动或脱落导致移植牙移位;需及时复诊重新固定,避免影响愈合。
相关问答(FAQs)
Q1:自体牙移植和传统种植牙该怎么选择?
A:两者各有优势,选择需根据个人情况:若患者有符合条件的供牙(如阻生智齿、正畸需拔除的前磨牙),且受牙区骨量充足,自体牙移植因费用低、生物相容性好、愈合快是优选;若受牙区骨量严重不足、无合适供牙,或患者对手术创伤有顾虑,传统种植牙(植入人工种植体)适用范围更广,无需依赖自体牙资源。
Q2:自体牙移植后牙齿能用多久?
A:若移植成功且维护得当,自体牙可长期使用,寿命接近天然牙,研究显示,多数移植牙可维持10年以上,甚至伴随终身,关键在于术后定期复查(每年1-2次),及时处理牙根吸收、牙髓坏死等问题,并保持良好的口腔卫生习惯(刷牙、漱牙线、定期洁牙),避免牙周炎等基础疾病影响牙齿寿命。
