种牙作为一种成熟的牙齿修复方式,成功率较高,但仍存在一定失败风险,种牙不成功的表现涉及多个方面,从术后早期到长期使用阶段,可能出现症状各异的问题,需及时识别并处理,以避免进一步损害。
术后早期异常表现(术后1-2周)
种牙手术后短期内,若出现以下异常,可能提示手术并发症或早期失败:

- 出血不止或血肿形成:术后24小时内唾液中带少量血丝属正常,但若持续出血、血块脱落,或出现颌面部肿胀、皮下瘀血(血肿),可能与术中损伤血管、缝合不当或术后剧烈运动有关,长期血肿可能影响骨愈合,增加感染风险。
- 剧烈疼痛或肿胀加剧:术后3天内轻微疼痛、肿胀逐渐缓解是正常反应,但若疼痛进行性加重、肿胀蔓延至颈部,或伴有张口受限,可能提示感染(如干槽症、术区蜂窝织炎)或创伤过大。
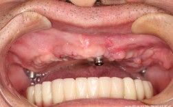
- 伤口裂开或愈合不良:缝合线脱落、伤口裂开,或暴露出种植体、骨移植材料,可能与患者术后过早咀嚼、口腔卫生差或缝合技术有关,易导致种植体污染。
- 下唇麻木或感觉异常:若种植下后牙时损伤下牙槽神经,可能出现下唇、颏部麻木或感觉迟钝,多数情况下可在3-6个月内恢复,若持续超过半年,可能为神经永久性损伤,需及时干预。
中期骨结合失败表现(术后1-6个月)
种植牙成功的关键是“骨结合”(种植体与牙槽骨紧密结合),此阶段若骨结合失败,会出现以下表现:
- 种植体松动:术后3个月复查时,医生通过叩诊或X光片发现种植体出现“浮动感”或松动,提示骨结合未形成,可能原因包括:患者自身骨条件差(如骨质疏松、骨量不足)、术中产热过高损伤骨组织、吸烟(尼古丁影响成骨细胞活性)或糖尿病未控制。
- 愈合期延长:正常情况下,种植体需3-6个月完成骨结合,若超过6个月X光片仍显示种植体周围透射影(暗影),无骨密度增加迹象,可判定为骨结合失败。
- 种植体周围软组织异常:牙龈长期红肿、按压易出血,或形成瘘管(牙龈上出现“小脓包”),可能提示种植体与骨之间存在慢性感染,破坏骨结合进程。
长期使用阶段失败表现(戴牙冠后1年以上)
种植牙戴牙冠后进入功能使用期,失败表现多与咬合、维护或继发问题相关:
- 种植体周围炎:类似天然牙的牙周炎,是长期失败的主要原因,表现为牙龈红肿、出血、牙周袋深度超过5mm、X光片显示种植体周围骨吸收(牙槽骨“变少”),若未及时治疗,可导致种植体松动、脱落。
- 种植体松动或脱落:戴牙冠后若出现种植体逐渐松动,或咀嚼时疼痛、食物嵌塞,可能因咬合创伤(如咬合过高、夜磨牙)、种植体负荷过大(单颗种植牙修复多颗缺失牙)或继发感染导致骨吸收。
- 咬合问题与功能异常:种植牙与邻牙、对颌牙咬合关系不协调,如过高、过低或早接触,可能导致咀嚼无力、颞下颌关节(TMJ)疼痛(弹响、张口受限),长期咬合创伤会加速种植体周围骨吸收。
- 种植体折裂或牙冠损坏:种植体(尤其是钛金属)因材料疲劳、咬合过大或制作缺陷可能出现折裂;牙冠(如全瓷冠)可能崩瓷、开裂或与基台连接松动,影响美观和功能。
- 美观与软组织缺陷:牙龈萎缩、种植体周围“黑三角”(与邻牙间隙过大)、牙冠颜色或形态与天然牙不协调,可能因种植体植入位置过深/过浅、软组织处理不当或牙冠制作误差导致,影响美观和心理健康。
不同阶段种牙不成功表现总结
| 阶段 | 具体表现 | 可能原因 | 处理建议 |
|---|---|---|---|
| 术后早期(1-2周) | 持续出血、剧烈疼痛肿胀、伤口裂开、下唇麻木 | 血管损伤、感染、缝合不当、神经损伤 | 压迫止血、抗生素治疗、清缝、营养神经药物 |
| 中期(1-6个月) | 种植体松动、骨结合延迟(X光片透射影)、牙龈瘘管 | 骨条件差、术中创伤、吸烟、糖尿病 | 取出种植体、植骨、控制基础疾病后重新种植 |
| 长期(1年以上) | 牙龈红肿出血(种植体周围炎)、种植体松动/脱落、咬合痛、牙冠损坏、牙龈萎缩 | 咬合创伤、口腔卫生差、继发感染、制作缺陷 | 龈下刮治、调颌、更换牙冠、软组织移植,严重时取出种植体 |
相关问答FAQs
Q1:种牙失败后可以再种吗?需要间隔多久?
A:种牙失败后,多数情况下可以再次种植,但需先评估失败原因并处理,若因感染导致骨吸收,需先控制炎症,待炎症完全消退(通常3-6个月)后再植骨;若因骨量不足,可能需植骨或引导骨再生,待骨量充足(6-12个月)后重新种植,若因吸烟或糖尿病等全身因素,需戒烟、控制血糖,待身体状况稳定后再考虑手术,间隔时间需根据个体骨愈合情况决定,建议复查CBCT评估骨密度后,由医生判断是否具备再次种植条件。
Q2:如何降低种牙失败的风险?日常需要注意什么?
A:降低种牙失败风险需从术前、术中、术后三方面入手:术前选择正规医疗机构和经验丰富的医生,进行全面检查(CBCT评估骨量、血常规排查感染风险),控制全身性疾病(如糖尿病、高血压);术中严格无菌操作,避免过度创伤;术后保持口腔卫生(使用软毛牙刷、牙线、冲牙器),避免咬硬物(如坚果、冰块),戒烟(吸烟者失败率是非吸烟者的3倍),定期复查(戴牙冠后每6个月复查1次,检查种植体周围状况和咬合关系),出现异常症状(如疼痛、松动、出血)需及时就医,避免延误治疗。


