隐形正畸作为一种美观、便捷的牙齿矫正方式,已被广泛接受,但部分患者在矫正过程中可能出现牙根吸收问题,牙根吸收是指牙根表面牙骨质的病理性吸收,导致牙根长度变短,严重时可能影响牙齿稳固性和使用寿命,了解隐形正畸中牙根吸收的原因、影响因素及应对措施,对保障矫正效果至关重要。
牙根吸收在正畸治疗中并非罕见现象,数据显示传统正畸中牙根吸收发生率约20%-30%,而隐形正畸因材料特性与施力方式,其发生率与传统矫治相近,但影响因素存在一定差异,隐形正畸通过一系列透明牙套施加持续轻力移动牙齿,若力学设计不当或患者个体条件特殊,可能诱发牙根吸收,其发生机制主要与以下因素相关:一是力学因素,牙套施加的力值过大、作用点偏移或持续时间过长,会超过牙根牙周组织的生理耐受阈值,导致破骨细胞活性异常,引发牙根吸收;二是个体差异,部分患者存在遗传性易感性,如牙根发育较短、牙骨质厚度不足,或伴有系统性疾病(如甲状旁腺功能亢进),可能增加吸收风险;三是矫治设计问题,如附件位置偏差导致牙冠移动方向异常,牙根受到非生理性侧向力,或牙齿移动距离过大、速度过快,超出牙周组织改建能力;四是患者依从性,若未按时更换牙套、频繁摘戴导致矫治力中断或累积,也可能影响牙根健康。

为更直观理解,以下总结隐形正畸中牙根吸收的主要影响因素及预防要点:
| 影响因素类别 | 具体因素 | 影响机制 | 预防要点 |
|---|---|---|---|
| 力学因素 | 矫治力过大/过小 | 力值过大直接损伤牙根,过小则延长牙齿移动时间,增加吸收风险 | 通过计算机模拟优化牙套设计,精准控制力值(一般轻力范围50-150g) |
| 力作用点偏移 | 导致牙冠与牙根移动方向不一致,产生扭转力 | 优化附件设计与位置,确保牙齿整体平移 | |
| 个体差异 | 遗传因素 | 存在牙根吸收易感基因(如IL-1、TNF-α基因多态性) | 术前详细询问家族史,高风险患者加强监测 |
| 牙根形态异常 | 先天性牙根短小、弯曲或锥形根,抗吸收能力弱 | 术前拍摄CBCT评估牙根形态,排除严重发育异常 | |
| 矫治设计 | 移动距离过大 | 单次牙套移动牙齿距离超过1mm,牙周组织改建滞后 | 分阶段设计牙齿移动计划,避免“一步到位” |
| 移动方式不当 | 强行扭转、压低牙齿,牙根受侧向力或压应力 | 优先采用整体移动,避免复杂牙移动前未充分备牙 | |
| 患者因素 | 依从性差 | 未按医嘱佩戴牙套(每日佩戴时间不足20小时),导致矫治力失控 | 加强患者教育,强调佩戴时间重要性,定期复诊检查 |
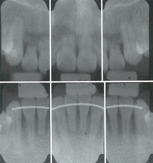
隐形正畸中牙根吸收多为轻度(吸收量<牙根长度的1/3),通常不会影响牙齿功能,但中重度吸收可能导致牙齿松动、牙髓坏死等问题,预防是关键:术前需通过CBCT、根尖片等全面评估牙根状况;治疗中定期拍摄根尖片(每3-6个月一次),监测牙根长度变化;发现吸收迹象后,及时调整矫治方案,如减小矫治力、延长牙齿移动间隔,必要时暂停加力,对于高风险患者,可考虑联合使用药物(如双膦酸盐)抑制破骨细胞活性,但需在医生指导下进行。
隐形正畸引起的牙根吸收虽存在一定风险,但通过精准的术前评估、规范的矫治设计、严格的力学控制及患者配合,可有效降低发生率,患者无需过度担忧,只要选择正规医疗机构,严格遵循医嘱,多数可顺利完成矫正并保持牙根健康。
FAQs
Q1:隐形正畸一定会导致牙根吸收吗?
A:并非所有隐形正畸都会引起牙根吸收,研究表明,多数患者吸收程度轻微且临床无影响,仅少数存在高风险因素(如遗传、牙根形态异常)或矫治设计不当者可能出现中重度吸收,规范治疗和定期监测可将风险降至最低。

Q2:如何发现牙根吸收?发现后需要停止矫正吗?
A:牙根吸收需通过专业检查发现,如根尖片观察牙根长度变化,CBCT可清晰显示吸收范围,轻度吸收通常无需停止矫正,医生会调整方案(如减小力值、延长复诊间隔);中重度吸收可能需暂停或终止矫正,并联合牙周治疗维护牙齿稳固,具体需根据吸收程度和牙齿状况综合判断。

