牙齿牵引是正畸治疗中常用的技术,通过施加持续、轻柔的外力,引导牙齿在牙槽骨内缓慢移动至理想位置,以解决牙齿排列不齐、颌骨关系异常、牙列间隙等问题,其核心原理是利用牙齿周围组织的改建能力——当受到适当牵引力时,牙槽骨受压侧发生吸收,牵引侧则新骨沉积,从而使牙齿实现整体移动、倾斜移动或旋转等效果,根据牵引方式、支抗类型及适应症的不同,牙齿牵引可分为多种方法,临床需结合患者具体情况选择合适方案。
传统固定矫治器牵引
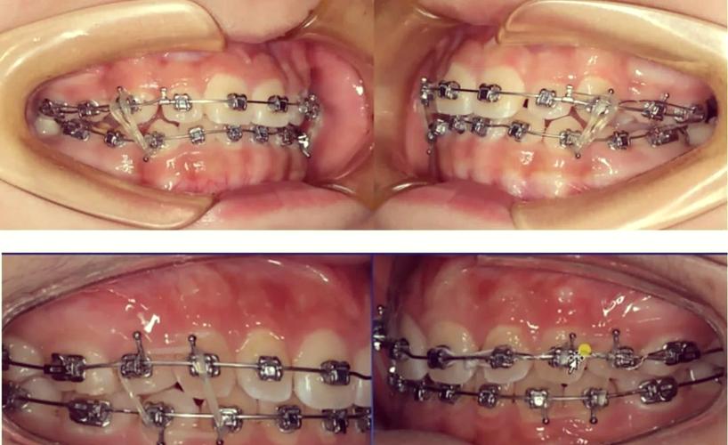
传统固定矫治器是牙齿牵引的经典方法,通过将托槽粘接在牙齿表面,配合弓丝、结扎丝、牵引钩等附件,施加力量移动牙齿,常见类型包括方丝弓矫治器、直丝弓矫治器等,适用于各类错颌畸形,如牙列拥挤、深覆合、深覆盖、反颌等。

原理与操作步骤
- 托槽粘接:使用树脂将金属或陶瓷托槽精确粘接在牙齿唇颊面或舌腭面,托槽槽沟为弓丝提供施力轨道。
- 弓丝弯制与安装:根据牙齿移动需求,将不锈钢丝或镍钛弯制成特定形态(如平直弓、摇椅弓),通过结扎丝或橡皮圈固定于托槽槽沟内,利用弓丝的弹性回缩力牵引牙齿。
- 牵引装置附加:在托槽或磨牙带环上焊接牵引钩,通过橡皮链、螺旋弹簧或弹力线连接需要移动的牙齿与支抗牙,实现“拉”或“推”的效果(如关闭间隙、内收前牙)。
- 定期调整加力:每4-6周复诊一次,更换牵引橡皮链、调整弓丝形态或更换更粗的弓丝,维持牵引力的持续作用。
优缺点
- 优点:牵引力量精准可控,适用于复杂病例,可同时实现多颗牙齿的协同移动;技术成熟,临床应用广泛。
- 缺点:舒适度较差,托槽和弓丝易刮伤口腔黏膜;口腔清洁难度大,易引发龋齿或牙龈炎;治疗周期较长(通常1-3年)。
隐形矫治器牵引
隐形矫治器是近年来快速发展的牵引技术,通过3D打印技术制作一系列透明牙套,每副牙套施加轻微、持续的力,引导牙齿按预设路径移动,代表性品牌有隐适美(Invisalign)、时代天使等,适用于轻度至中度错颌畸形,如牙列轻度拥挤、前牙间隙、个别牙反颌等。
原理与操作步骤
- 数字化取模:通过口扫设备获取患者口腔三维数据,替代传统取模,提高精度和舒适度。
- 方案设计:医生借助专业软件模拟牙齿移动过程,设计分阶段的牙套移动方案(如内收、压低、旋转等),患者可提前预知治疗效果。
- 牙套佩戴与更换:患者需每日佩戴牙套20-22小时,每1-2周更换一副新牙套,每副牙套产生的牵引力(约0.25-0.35MPa)推动牙齿逐步移动。
- 附件与牵引辅助:对于复杂移动(如牙齿旋转、压低),可在牙齿表面粘贴“附件”(小树脂突),增强牙套与牙齿的摩擦力;部分病例需配合橡皮链或弹力线加强牵引效果。
优缺点
- 优点:美观透明,佩戴时不易被察觉;可自行摘戴,便于口腔清洁和饮食;舒适度高,无托槽刮伤风险;复诊周期较长(每6-8周一次)。
- 缺点:对严重骨性畸形或复杂牙移动效果有限;依赖患者依从性,若佩戴不足则影响疗效;费用较高。
种植体支抗牵引
种植体支抗是通过在牙槽骨内植入微型种植钉(直径1.5-2.0mm,长度6-12mm)作为“骨性支抗”,为牙齿牵引提供稳定、强大的支撑力量,避免传统支抗(如后牙)发生移位,适用于需要强支抗的情况,如上颌前牙内收、磨牙压低、颌骨畸形矫正等。
原理与操作步骤
- 支抗体植入:在局部麻醉下,将微型种植钉植入牙槽骨(通常位于上颌后牙区、下颌颏部或腭部),避开牙根和重要神经血管。
- 牵引加力:待种植体与骨组织结合(1-2周后),在其与目标牙齿间连接螺旋弹簧或橡皮链,施加牵引力(约50-300g)。
- 定期调整与拆除:根据牙齿移动速度调整牵引力,治疗结束后拆除种植体(通常为微创手术,创口小、恢复快)。
优缺点
- 优点:支抗稳定性高,可实现传统方法难以达成的牙齿移动(如垂直向压低、整体内收);治疗周期缩短,患者舒适度较好。
- 缺点:需植入手术,存在感染、种植体松动等风险;对牙槽骨条件有一定要求(骨量充足、密度适宜)。
外科手术辅助牵引
对于严重的骨性错颌畸形(如上颌前突、下颌后缩、开颌等),单纯正畸牵引难以纠正,需联合正颌手术进行“外科-正畸联合治疗”,通过手术移动颌骨,再配合正畸牵引精细调整牙齿位置,实现功能与美观的统一。
原理与操作步骤
- 术前正畸准备:通过固定矫治器或隐形矫治器排齐牙齿,为手术创造条件(如去除代偿性倾斜)。
- 正颌手术:通过截骨术将颌骨分段移动至理想位置,钛板钛钉固定(如上颌Le Fort I截骨术、下颌矢状劈开术)。
- 术后正畸牵引:术后1-3个月开始正畸治疗,精细调整咬合关系,关闭剩余间隙,确保牙齿与颌骨协调。
优缺点
- 优点:可彻底解决骨性畸形,改善面部轮廓和咀嚼功能;疗效稳定,复发率低。
- 缺点:创伤较大,需全麻手术;治疗周期长(通常2-3年);费用高昂,对医院和医生资质要求高。
其他牵引方式
- 活动矫治器牵引:适用于儿童早期干预,如简单反颌(“地包天”),通过活动矫治器的弹簧、螺旋装置牵引牙齿,常与功能性矫治器(如FR矫治器)联合使用。
- 口外弓牵引:通过头帽与口外弓装置,将牵引力作用于口腔外部(如颈部、头顶),用于磨牙远中移动或强支抗控制,但美观性差,患者依从性较低。
牵引过程中的注意事项
- 口腔卫生维护:固定矫治器需使用正畸专用牙刷、牙缝刷、冲牙器清洁,避免食物残渣堆积;隐形矫治器需每日摘下清洁,防止牙套染色和细菌滋生。
- 饮食调整:避免过硬、黏性食物(如坚果、口香糖),防止托槽脱落或弓丝变形;隐形矫治器佩戴期间避免饮用含糖饮料(以免引发龋齿)。
- 定期复诊:严格遵循医嘱复诊,确保牵引力持续有效;若出现托槽脱落、剧烈疼痛或牙龈出血,需及时就医处理。
不同牙齿牵引方法对比
| 方法类型 | 适用情况 | 优点 | 缺点 | 平均疗程 |
|---|---|---|---|---|
| 传统固定矫治器 | 复杂错颌畸形(拥挤、深覆合等) | 精准可控,适用范围广 | 舒适度差,口腔清洁难 | 1-3年 |
| 隐形矫治器 | 轻中度错颌,美观需求高者 | 美观舒适,便于清洁 | 依赖依从性,复杂病例效果有限 | 6-18个月 |
| 种植体支抗牵引 | 强支抗需求(如前牙内收、磨牙压低) | 支抗稳定,移动精准 | 需手术植入,存在感染风险 | 6-12个月 |
| 外科手术辅助牵引 | 严重骨性错颌畸形 | 彻底纠正骨性问题,疗效稳定 | 创伤大,周期长,费用高 | 2-3年 |
相关问答FAQs
Q1:牙齿牵引过程中疼痛正常吗?如何缓解?
A:牙齿牵引初期(如加力后1-3天)出现轻微疼痛或酸胀感是正常现象,因牙齿移动牵拉牙周组织所致,疼痛可通过以下方式缓解:① 避免咀嚼过硬食物,选择温凉、软质饮食;② 用冰袋冷敷面部(每次15-20分钟,间隔1小时);③ 遵医嘱服用非甾体抗炎药(如布洛芬),若疼痛持续加重或伴有牙龈肿胀、溢脓,需及时复诊排查感染或牙齿损伤。

Q2:牙齿牵引后需要保持多久?不保持会复发吗?
A:牙齿牵引后必须佩戴保持器,否则牙齿可能因牙周组织改建未完成、肌肉力量平衡等因素复发,保持时间需根据错颌类型、移动距离、患者年龄等决定:一般保持器需全天佩戴6-12个月,之后改为夜间佩戴,至少持续2-3年,甚至终身(对于成年严重错颌患者),保持器类型包括透明压膜保持器(隐形)、 Hawley保持器(金属丝+树脂基托)等,需定期清洁并复诊检查,确保无松动或破损。

