nance弓是正畸治疗中常用的支抗增强装置,主要用于上颌磨牙的稳定与控制,通过利用腭部的支撑力来抵抗磨牙的近中移动,尤其在拔牙病例、II类错颌矫正等场景中发挥关键作用,其设计精巧、结构简单,但临床应用需结合精准操作与患者配合,而图片资料则直观呈现了nance弓的形态、粘接位置及治疗过程中的变化,为医患沟通与临床操作提供重要参考。
nance弓的结构与组成
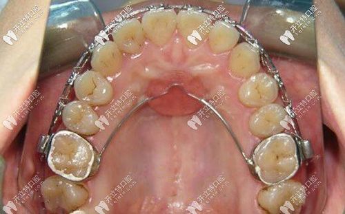
nance弓的核心结构由三部分构成:带环、弓丝与腭托,带环通常预先粘接于上颌第一恒磨牙(有时包括第二磨牙),作为装置的固定基础;弓丝多为直径0.9-1.0mm的不锈钢丝,从带环的颊面管延伸至腭部,形成“U”形或“Ω”弯,以提供弹性与稳定性;腭托则是装置的“支抗点”,位于上颌硬腭前部,相当于上颌第一前磨牙腭侧区域,呈椭圆形或马蹄形,与腭部黏膜紧密贴合,通过分散压力将磨牙的支抗传递至整个上颌骨。

下表详细列出了nance弓各部分的材质、功能与临床要求:
| 组成部分 | 常用材质 | 功能 | 临床要求 |
|--------------|--------------------|---------------------------------------|---------------------------------------|
| 带环 | 不锈钢或镍钛合金 | 固定装置于磨牙,提供基础支抗 | 密合度良好,边缘无悬垂,避免刺激牙龈 |
| 弓丝 | 不锈钢丝(0.9-1.0mm) | 连接带环与腭托,传递力量,维持磨牙位置 | 弓丝圆滑无锐角,Ω弯角度适中(约30°-45°) |
| 腭托 | 自凝塑料或光固化树脂 | 分散支抗力,防止磨牙近中移动 | 与腭部贴合紧密,厚度约2-3mm,边缘圆钝 |
nance弓的作用机制与适应症
nance弓的核心原理是“腭支抗”,通过腭托与硬腭的接触,将磨牙的支抗力分散至颅面部骨骼,而非单纯依赖邻牙或牙周组织,这种机制可有效防止上颌磨牙在治疗过程中发生近中倾斜或移动,尤其适用于需要“强支抗”的病例:
- 拔牙病例的间隙维持:如拔除上颌第一前磨牙后,为防止磨牙前移占据拔牙间隙,nance弓可提供稳定支抗,为前牙内收或牙列调整创造空间。
- II类错颌矫正:对于II类1分类错颌(上颌磨牙前移),nance弓可阻止上颌磨牙进一步前移,配合颌间牵引或前牙片段弓,促进磨牙关系中性。
- III类错颌的辅助稳定:在III类错颌矫正中,若需防止下颌磨牙近中移动,nance弓可稳定上颌磨牙,为颌骨调整或牙代偿提供条件。
- 保持阶段的磨牙稳定:部分患者在保持期可能出现磨牙轻度移位,nance弓可作为临时性保持装置,避免复发。
nance弓的临床操作流程与图片意义
nance弓的佩戴需经过精准的取模、设计与粘接,而图片资料贯穿全程,辅助操作与效果评估:
- 取模与设计:通过上颌牙模测量磨牙间距、腭部形态,确定腭托大小与弓丝长度,图片可记录原始牙列模型,对比设计后nance弓的形态(如腭托位置、弓丝弧度),确保装置与患者口腔结构匹配。
- 带环粘接:选择合适尺寸的磨牙带环,试戴后用玻璃离子水门汀粘接,图片可显示带环在磨牙上的位置(需位于龈上1-2mm,避免压迫牙龈),以及颊面管的朝向(应与牙长轴平行,便于弓丝插入)。
- 弓丝弯制与腭托制作:用钢丝弯制连接带环与腭托的弓丝,末端回弯防止滑脱;取腨部印模,用自凝塑料在模型上制作腭托,试戴时确保无压迫、无翘动,图片可展示弯制后的弓丝形态(如Ω弯的深度与角度)及腭托与腭部的贴合情况。
- 粘接与调整:将腭托与弓丝整体粘接,检查磨牙有无移位,咬合是否干扰,术后拍摄X线片或口内照片,确认装置位置正确(腭托位于腭穹顶前部,与黏膜无间隙),为后续治疗提供基线资料。
nance弓的注意事项与护理
nance弓的疗效依赖规范的护理与定期复诊,常见问题及处理如下:

- 口腔卫生维护:腭托易堆积食物残渣,需使用正畸牙刷、冲牙器清洁,避免牙龈炎或龋齿,图片可对比清洁前后的腭托状态,指导患者正确清洁方法。
- 黏膜压迫与溃疡:若腭托边缘过锐或贴合不良,可能导致腭部黏膜溃疡,需用咬合调整树脂打磨压迫点,或重做腭托,图片可清晰显示溃疡位置,辅助判断是否为装置摩擦所致。
- 带环或弓丝脱落:若带环松动或弓丝断裂,需及时复诊处理,避免磨牙移位,脱落前常有食物嵌塞、异味等前兆,患者需密切观察并联系医生。
nance弓与其他支抗装置的对比
为明确nance弓的适用场景,可与其他支抗装置对比:
| 装置名称 | 支抗类型 | 适用情况 | 优势 | 局限性 |
|----------------|--------------|---------------------------------------|---------------------------------------|---------------------------------------|
| nance弓 | 腭支抗 | 上颌磨牙近中移动控制,需强支抗 | 结构简单,舒适度高,患者易配合 | 依赖腭部形态,腭高者效果更佳 |
| 横腭杆 | 腭支抗 | 双侧磨牙同时移动,需交互支抗 | 抗旋转能力强,适用于磨牙扭转 | 影响发音,患者异物感明显 |
| 微种植钉 | 骨支抗 | 任意方向的牙齿移动,支抗需求极高 | 支抗强大,位置灵活,不依赖牙齿 | 需手术植入,存在感染、松动风险 |
案例图片与效果展示
典型病例中,nance弓的应用效果可通过直观图片呈现:一位II类1分类患者拔除上颌第一前磨牙后,佩戴nance弓6个月,通过治疗前后对比可见,上颌第一磨牙无明显近中移动(磨牙间距保持稳定),而拔牙间隙内收整齐,腭托与腭部贴合良好,无黏膜刺激,图片中清晰的磨牙位置变化与腭托状态,直接反映了nance弓的支抗控制效果。
相关问答FAQs
Q1:佩戴nance弓期间疼痛怎么办?
A:佩戴初期可能出现轻微腭部疼痛或异物感,通常1周内逐渐适应,若疼痛持续或加重,可能是腭托压迫黏膜导致,需及时复诊,医生会通过打磨腭托边缘或调整厚度缓解症状,避免自行修剪装置,以免影响支抗效果或损伤口腔。
Q2:nance弓需要佩戴多久?
A:nance弓的佩戴时间需根据治疗阶段决定:在主动矫正期(如关闭拔牙间隙),通常需持续佩戴6-18个月,直至磨牙位置稳定;保持阶段可根据情况调整为夜间佩戴,3-6个月后拆除,具体时间需正畸医生根据牙齿移动速度与稳定性评估,患者需严格遵医嘱复诊,切勿擅自提前摘除。

