牙齿正畸是改善口腔功能与面部美观的重要医疗手段,通过施加持续外力排列牙齿、调整咬合关系,不仅能解决牙齿拥挤、龋齿、牙周炎等问题,还能提升自信心,成都青羊区作为成都中心城区,医疗资源集中,正畸服务成熟,从公立医院到私立机构,多种矫正方式和专业医生能为不同需求的患者提供个性化方案。
成都青羊区牙齿正畸的核心价值
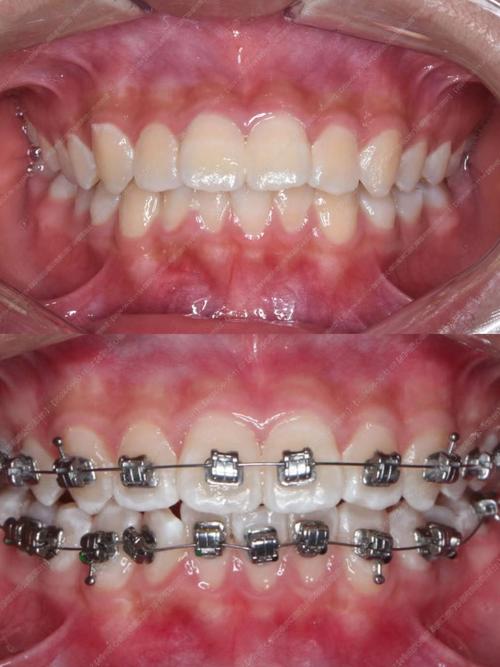
牙齿错颌畸形(如“地包天”“龅牙”“牙齿稀疏”)不仅影响咀嚼功能,长期可能引发消化系统疾病,还可能因咬合异常导致颞下颌关节紊乱,正畸治疗通过移动牙齿位置、调整颌骨关系,不仅能实现牙齿整齐,更能改善面部轮廓(如改善“凸嘴”提升侧颜颜值),同时减少食物嵌塞,降低龋齿和牙周病风险,青羊区部分机构还结合数字化技术(如3D口扫、AI方案设计),实现“精准正畸”,缩短治疗周期,提升舒适度。

选择正畸机构的关键因素
青羊区正畸机构类型多样,选择时需综合评估以下维度:
资质与医生团队
正畸是高度依赖医生技术的项目,需确认机构具备《医疗机构执业许可证》,医生需有正畸专业资质(如中华口腔医学会正畸专业委员会认证),优先选择有公立医院背景、硕士及以上学历的医生,其临床经验更丰富,能应对复杂病例(如骨性畸形、埋伏牙牵引)。
技术设备与服务流程
数字化设备是现代正畸的核心,CBCT(三维锥形束CT)可精准分析牙根位置和骨骼情况,口内扫描仪替代传统取模,提升体验感,服务流程上,理想机构应提供“初诊检查-方案设计-戴牙套-复诊调整-保持器佩戴”全周期管理,并配备专属客服提醒复诊。
口碑与案例
可通过大众点评、小红书等平台查看患者评价,重点关注“医生沟通态度”“矫正效果”“售后问题处理”等,要求医生展示同类案例,对比矫正前后的牙齿排列与面部变化,判断其审美与技术风格是否匹配自身需求。

不同类型机构对比
| 机构类型 | 优势 | 不足 | 适合人群 |
|---|---|---|---|
| 公立三甲医院 | 权威性强、医保报销部分项目(如拔牙) | 排队久、医生时间有限、服务流程较慢 | 复杂病例、预算有限、信任公立医疗者 |
| 私立口腔专科医院 | 服务好、预约灵活、数字化设备先进 | 费用较高、部分机构医生流动性大 | 追求体验、个性化方案、预算充足者 |
| 连锁口腔诊所 | 标准化流程、价格透明、活动多 | 医生资历参差不齐、复杂病例处理能力有限 | 轻中度错颌、年轻群体、注重性价比者 |
主流矫正方式及选择
青羊区机构提供的矫正方式多样,可根据美观需求、预算和牙齿复杂度选择:
传统金属托槽矫正
用金属结扎丝固定托槽于牙齿表面,适用各类错颌畸形,性价比高(费用1万-3万元),但美观度较差,易刮嘴,适合学生党、预算有限或牙齿极度拥挤者。
陶瓷托槽矫正
托槽为透明陶瓷材质,接近牙齿颜色,兼顾美观与强度(费用2万-4万元),但比金属托槽稍厚,易染色(需避免咖啡、酱油等),适合对美观有要求、预算适中的成人。
自锁托槽矫正
通过自锁装置替代结扎丝,减少摩擦力,缩短复诊间隔(6-8周/次),治疗周期缩短20%-30%,舒适度更高(费用3万-5万元),适合时间紧张、对疼痛敏感者。

隐形矫正
采用透明牙套,可自行摘戴,美观度高(几乎隐形),方便清洁(费用4万-8万元),但需严格佩戴(每天22小时以上),复杂病例(如骨性畸形)效果有限,适合成人、商务人士或对美观要求极高者。
舌侧矫正
将托槽粘贴于牙齿内侧,完全隐形,但技术难度大、费用高(8万-15万元),且初期发音影响明显,对医生技术要求极高,适合追求“隐形”且预算充足的人群。
正畸全流程解析
初诊检查(1-2天)
包括口内检查、X光片(全景片、头颅侧位片)、取模或口扫,评估牙齿、颌骨、面部软组织情况,判断是否需要拔牙、种植钉辅助等。
方案设计(3-7天)
医生结合检查数据,通过数字化软件模拟牙齿移动路径,制定个性化方案(如拔牙位置、矫正周期),与患者沟通并确认。
戴牙套(1-3小时)
根据方案选择托槽或牙套,粘接于牙齿表面,调整咬合关系,交代注意事项(如饮食禁忌、清洁方法)。
复诊调整(1-1.5年)
每4-8周复诊一次,医生检查牙齿移动情况,更换弓丝或调整牙套力度,确保矫正进度。
保持阶段(2年以上)
拆除牙套后,佩戴保持器(透明牙套或传统哈雷保持器),防止牙齿复发,夜间需长期佩戴。
费用影响因素与预算参考
青羊区正畸费用差异较大,主要受以下因素影响:
- 矫正方式:隐形矫正>舌侧矫正>自锁托槽>陶瓷托槽>金属托槽;
- 医生资历:主任医生>副主任医师>主治医生;
- 牙齿复杂度:骨性畸形、埋伏牙等复杂病例比简单拥挤多花费1万-3万元;
- 机构类型:私立机构比公立医院贵30%-50%。
预算参考:金属托槽1万-3万元,陶瓷托槽2万-4万元,自锁托槽3万-5万元,隐形矫正4万-8万元,舌侧矫正8万-15万元,部分机构推出分期付款(如12期免息),减轻经济压力。
正畸期间的注意事项
- 口腔卫生:使用正畸牙刷、牙线、冲牙器,每天至少刷牙3次,避免托槽周围食物残留导致龋齿;
- 饮食禁忌:避免过硬(坚果、骨头)、黏性(口香糖、年糕)食物,防止托槽脱落;
- 复诊依从性:按时复诊,间隔过长可能导致牙齿移动异常,延长矫正周期;
- 心理调适:初期1-2周会有酸胀、疼痛感,属正常现象,可吃软食缓解,避免因不适擅自停戴。
相关问答FAQs
问题1:正畸期间牙齿疼痛难忍,影响正常吃饭怎么办?
解答:初戴牙套或每次复诊调整后1-3天,牙齿可能出现酸胀、轻微疼痛,属正常生理反应(牙齿移动引起的牙根吸收反应),建议吃温凉、软烂食物(如粥、面条、蒸蛋),避免用患侧咀嚼;疼痛明显时可遵医嘱服用布洛芬等止痛药,或用冷敷面部缓解,若疼痛持续超过1周或加剧,需及时复诊排查托槽刺激、牙根损伤等问题。
问题2:成年人和青少年正畸有什么区别?哪个年龄更适合矫正?
解答:成年人与青少年正畸的核心区别在于“骨骼条件”和“治疗目标”:青少年处于生长发育期,骨骼改建能力强,部分骨性畸形(如轻度“地包天”)可通过生长引导矫正,治疗周期短(1-2年);成年人骨骼已定型,骨性畸形需配合正颌手术,矫正速度稍慢(2-3年),但配合度高,能严格遵循医嘱,最佳矫正年龄:青少年11-14岁(恒牙早期,颌骨仍发育),成年人无上限,只要牙周健康(无严重牙龈萎缩、牙槽骨吸收)即可矫正,建议40岁以上患者先治疗牙周病再开始正畸。
