美容冠矫正方法是一种结合牙齿修复与美学改善的快速牙齿矫正技术,主要通过在牙齿表面制作并佩戴定制化的牙冠(即“美容冠”),解决牙齿缺损、变色、畸形、间隙过大等问题,实现牙齿形态、色泽与功能的同时改善,与传统牙齿矫正(如戴牙套)不同,美容冠无需长时间佩戴矫治器,而是通过少量磨牙后直接修复,因此被称为“快速美学矫正”方案,尤其适合对外观要求高、希望快速改善牙齿问题的成年人群。
美容冠矫正的适用人群
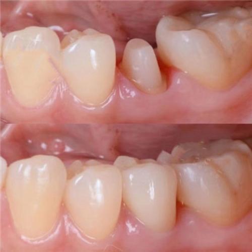
并非所有牙齿问题都适合美容冠矫正,其适用范围主要包括以下几类情况:

- 牙齿缺损:因龋齿、外伤等导致的牙齿大面积缺损,或牙齿形态不完整(如小牙、锥形牙)。
- 牙齿变色:重度四环素牙、氟斑牙、死髓牙(如根管治疗后变色的牙齿),以及外源性染色(如长期喝茶、咖啡导致的顽固色斑)无法通过冷光美白改善者。
- 牙齿畸形:牙齿轻微扭转、排列不齐(如牙缝大、牙齿拥挤)、牙冠形态异常(如过小牙、牙冠短小)等,无需复杂移动即可通过修复改善外观者。
- 牙齿间隙过大:因牙体过小或牙龈萎缩导致的牙缝明显,且患者不愿意接受传统正畸关闭间隙者。
需注意,美容冠矫正属于“修复性矫正”,而非“移动性矫正”,若存在严重的牙齿排列不齐、咬合紊乱或颌骨发育问题,仍需优先选择传统正畸或正颌手术治疗,患者需无活动性牙周炎、牙髓炎等口腔疾病,且口腔卫生状况良好,否则需先治疗基础疾病再进行美容冠修复。
美容冠矫正的具体操作方法
美容冠矫正需严格遵循口腔修复学原则,结合美学设计,通常分为术前检查、牙体预备、取模制作、试戴调整、永久粘接五个核心步骤,具体如下:
术前检查与美学设计
这是美容冠矫正的基础,目的是评估患者口腔状况,明确修复方案,确保最终效果自然美观。
- 口腔检查:通过视诊、触诊检查牙齿、牙龈、咬合关系,拍摄X光片(根尖片、曲面断层片)排除牙根吸收、骨缺损等问题,判断牙髓活力(需做牙髓活力测试,如冷热测试、电活力测试)。
- 美学设计:结合患者面部比例、微笑曲线、肤色等因素,利用数字化口扫或硅橡胶取模获取牙齿模型,在模型上模拟修复后的牙冠形态、大小、色泽,与邻牙协调一致,对于涉及多颗牙修复的情况,需制作诊断蜡型,让患者提前预览效果并确认方案。
牙体预备
牙体预备是美容冠修复的关键步骤,需磨除部分天然牙体组织,为牙冠提供足够空间,确保牙冠强度与密合度。

- 麻醉:对牙髓敏感的牙齿(如活髓牙),需局部浸润麻醉或阻滞麻醉,避免磨牙过程中疼痛。
- 磨除量:根据牙冠材料不同,磨除量有所差异,全瓷冠通常需磨除牙釉质1.0-1.5mm、牙本质0.5-1.0mm;金属烤瓷冠需磨除更多(牙釉质1.5-2.0mm、牙本质1.0-1.5mm),以容纳金属内冠,磨除时需保持牙体组织厚度(至少1.0mm),避免穿髓。
- 边缘设计:牙冠边缘应位于牙龈缘下方0.5-1.0mm(肩台),形成90°-135°的凹形肩台,确保牙冠边缘与牙体密合,防止继发龋。
取模与临时冠制作
牙体预备完成后,需获取牙齿模型,并制作临时冠保护预备后的牙体。
- 取模:采用硅橡胶或聚醚橡胶等高精度印模材料取模,或使用口内扫描仪(如iTero、3M True Definition)进行数字化取模,避免传统取模的恶心不适,提高模型精度。
- 临时冠制作:用自凝树脂或临时冠材料在模型或口内直接制作临时冠,粘接于预备牙上,保护牙髓、维持邻牙位置、指导发音和咀嚼,临时冠需调整咬合,避免过高导致创伤。
美容冠制作与试戴
模型送至技工中心后,根据设计方案制作美容冠,患者通常需等待1-2周。
- 材料选择:美容冠材料主要有全瓷冠(如氧化锆、锂基瓷、玻璃陶瓷)、金属烤瓷冠(含镍铬、钴铬金属内冠)、树脂冠等,不同材料性能差异较大(详见下表)。
- 试戴调整:美容冠制作完成后,患者需复诊试戴,检查内容包括:
- 密合度:牙冠与牙体间无明显缝隙,用探针检查边缘是否光滑;
- 咬合关系:正中咬合时无早接触、无干扰,前牙引导后牙无干扰;
- 美学效果:牙冠颜色与邻牙协调,形态自然,符合患者面部特征;
- 舒适度:无咬合痛、异物感,发音无障碍。
若存在问题,需返回技工中心调整,直至符合要求。
永久粘接
试戴满意后,进行牙冠粘接,完成最终修复。
- 牙面处理:去除临时冠,清洁预备牙表面,用磷酸酸蚀剂酸蚀牙釉质15-30秒,冲洗吹干后涂布粘接剂,增强粘接强度。
- 牙冠处理:内冠表面用氢氟酸酸蚀(全瓷冠)、喷砂处理(金属冠),涂布硅烷偶联剂(全瓷冠)或金属粘接剂(金属烤瓷冠),提高粘接剂与牙冠的结合力。
- 粘接:用树脂水门汀将牙冠粘接于预备牙上,去除多余粘接剂,检查咬合无误后,嘱患者1-2小时内避免进食,24小时内避免咀嚼过硬食物。
美容冠常用材料对比
| 材料类型 | 优点 | 缺点 | 适用人群 |
|---|---|---|---|
| 全瓷冠(氧化锆) | 美观度高(通透性接近天然牙)、生物相容性好、无金属过敏、强度高(可做单冠、桥) | 价格较高、磨牙量相对较大 | 对美观要求高、金属过敏者 |
| 全瓷冠(玻璃陶瓷) | 透明度极佳、色泽自然、磨牙量少 | 强度较低,仅适用于前牙单冠修复 | 前牙美学修复、咬合力小者 |
| 金属烤瓷冠 | 强度高、价格适中、适用于后牙多单位修复 | 金属边缘可能发黑、生物相容性差(可能刺激牙龈)、美观度低于全瓷冠 | 后牙修复、预算有限者 |
| 树脂冠 | 价格低、可修复、磨牙量少 | 易染色、强度低、使用寿命短(3-5年) | 临时修复、预算极低者 |
美容冠矫正的优缺点
优点:
- 快速高效:无需像传统正畸那样佩戴1-2年矫治器,通常2-4周即可完成修复,适合急于改善外观者(如求职、婚礼前)。
- 美观性强:可根据邻牙和肤色定制颜色、形态,仿真度高,解决牙齿变色、畸形等问题效果显著。
- 功能改善:恢复牙齿咬合功能,改善咀嚼效率,同时保护薄弱牙体(如大面积缺损的牙齿)。
- 适用范围广:可同时解决多种牙齿问题(缺损、变色、间隙等),避免多学科治疗。
缺点:
- 不可逆性:需磨除部分天然牙体组织,一旦磨除无法恢复,对牙体有一定损伤。
- 适应症局限:仅适用于牙齿形态、颜色、间隙等问题,无法移动牙齿或矫正严重颌骨畸形。
- 潜在风险:若操作不当(如磨牙过多、粘接不密合),可能导致牙髓敏感、牙髓坏死、继发龋、牙龈炎等并发症。
- 价格较高:全瓷冠价格普遍在3000-10000元/颗,金属烤瓷冠2000-5000元/颗,对部分患者经济压力较大。
注意事项
- 术后护理:保持口腔卫生,每天早晚刷牙、使用牙线,避免食用过硬、过黏食物(如坚果、口香糖),防止牙冠崩裂或脱落。
- 定期复查:粘接后1个月、3个月、6个月复查,之后每年复查1-2次,检查牙冠密合度、牙龈状况及咬合关系。
- 材料选择:优先选择生物相容性好、美观度高的全瓷冠,避免廉价金属烤瓷冠(含镍可能致敏)。
- 适应症把控:存在牙周炎、牙髓炎未治疗者,需先控制炎症;青少年牙齿未发育完全者(未满18岁),不建议做美容冠矫正。
相关问答FAQs
问题1:美容冠矫正和传统牙齿矫正(如戴牙套)有什么区别?
解答:美容冠矫正属于“修复性矫正”,通过磨牙后制作牙冠修复牙齿外观和功能,无需移动牙齿,适合牙齿形态、颜色等问题,快速(2-4周)但不可逆;传统牙齿矫正(如戴牙套、隐形矫正)属于“移动性矫正”,通过施加外力移动牙齿排列,适合牙齿拥挤、稀疏等排列问题,需1-2年但可逆、不磨牙,选择哪种方式需根据牙齿问题类型、个人需求及医生建议决定。

问题2:美容冠矫正后能用多久?需要注意什么来延长使用寿命?
解答:美容冠使用寿命与材料、口腔护理、咬合习惯等因素相关,全瓷冠通常可使用10-15年,金属烤瓷冠8-12年,树脂冠3-5年,为延长寿命:①避免咬硬物(如开酒瓶、啃骨头);②保持口腔卫生,定期洗牙(每年1-2次),防止牙龈炎、牙周炎;③出现牙冠松动、崩瓷、疼痛等情况及时就医复查;④尽量减少用前牙咬食物,减少咬合创伤。
