宁波海曙口腔医院作为宁波地区知名的口腔专科医院,其正畸科室凭借专业的医疗团队、先进的诊疗技术和人性化的服务理念,为众多牙齿不齐、咬合异常的患者提供了优质的矫正解决方案,医院始终以“精准矫正、舒适体验”为核心,结合数字化技术与个性化方案设计,帮助患者实现牙齿健康与面部美观的双重改善。
医院概况与技术实力
宁波海曙口腔医院正畸科室拥有独立的诊疗区域,配备国际先进的数字化设备,如3D口内扫描仪、CBCT(锥形束CT)、数字化全景机等,能够精准获取患者牙齿、牙槽骨及颌面部的三维数据,为正畸方案设计提供科学依据,医院与国内外多所口腔医学院校保持技术合作,定期引进前沿正畸技术,如自锁托槽矫治、隐形矫正、微种植体支抗技术等,确保治疗方案的先进性与安全性。

科室严格执行无菌操作规范,采用一次性器械消毒体系,杜绝交叉感染风险,医院注重患者隐私保护,设置独立诊室与咨询室,让患者在舒适、私密的环境中完成诊疗过程。
正畸技术优势与矫治器选择
宁波海曙口腔医院正畸科室针对不同年龄段、不同错颌类型(如牙列拥挤、龅牙、地包天、牙齿稀疏等)的患者,提供多元化的矫治技术,满足个性化需求,以下是主要矫治方式及特点对比:
| 矫治方式 | 技术特点 | 适用人群 | 优势 |
|---|---|---|---|
| 传统金属托槽矫治 | 经典的固定矫治技术,通过金属托槽和弓丝施加矫治力 | 青少年及成人复杂错颌病例 | 矫治力度强,性价比高,适用范围广 |
| 陶瓷托槽矫治 | 托槽为透明陶瓷材质,与牙齿颜色接近,美观度提升 | 对美观有要求的患者,尤其是成人 | 美观性好,强度高,不易染色 |
| 自锁托槽矫治 | 托槽自带闭锁装置,减少弓丝与托槽的摩擦力,延长复诊间隔 | 时间紧张、对舒适度要求高的患者 | 治疗时间缩短,疼痛感轻,口腔卫生易维护 |
| 隐形矫治(如隐适美) | 采用透明高分子材料制作矫治器,可自行摘戴,隐形美观 | 轻中度错颌,注重美观与便利性的成人及青少年 | 隐形舒适,方便清洁,可预知矫正效果 |
| 舌侧矫治 | 将托槽粘贴在牙齿舌侧面,完全隐形 | 对美观要求极高的人群(如演员、主播等) | 隐形效果最佳,个性化定制 |
医院还开展儿童早期矫治(如MRC矫治器、功能性矫治器),针对3-12岁儿童的骨性错颌问题进行干预,引导颌骨正常发育,降低成人正畸的难度。
专业医生团队与个性化方案设计
正畸科室由一批临床经验丰富的医生组成,团队核心成员均拥有硕士及以上学历,部分医生曾在国内外知名口腔医院进修学习,掌握前沿的正畸理念与技术,医生团队强调“功能与美学并重”,在治疗前会通过CBCT、头影测量、面部美学分析等综合评估患者的牙齿情况、骨骼关系及面部比例,结合患者的年龄、职业、美观需求等因素,制定“一人一策”的个性化矫正方案。

对于成人骨性龅牙患者,医生会综合考虑是否需要联合正颌手术治疗;对于青少年患者,则会重点关注颌骨发育引导与面部生长型的协调,方案设计过程中,医生会与患者充分沟通,详细讲解治疗步骤、时间周期及预期效果,确保患者在充分知情的基础上配合治疗。
规范化治疗流程与全程关怀
宁波海曙口腔医院正畸治疗流程规范化、标准化,分为初诊检查、方案设计、矫治实施、保持维护四个阶段,每个环节都注重细节把控与患者体验:
- 初诊检查:包括口腔检查、取模、拍摄X光片(全景片、头颅侧位片、CBCT等),收集患者牙齿、颌骨及面部数据。
- 方案设计:医生结合检查数据,通过数字化软件模拟牙齿移动过程,制定初步方案并与患者讨论,确定最终矫治计划。
- 矫治实施:根据方案选择合适的矫治器,医生精准粘贴托槽或佩戴隐形矫治器,并指导患者注意事项。
- 保持维护:拆除矫治器后,为患者定制保持器(如透明保持器、 Hawley保持器等),并定期复查,防止复发。
治疗期间,医院提供全程跟踪服务:设立专属客服提醒复诊时间,医生定期调整矫治力,确保牙齿按计划移动;对于佩戴隐形矫治器的患者,通过线上平台实时监控佩戴情况,及时解答患者疑问,医院还开展口腔卫生宣教,指导患者正确清洁矫治器及牙齿,预防龋齿、牙周炎等并发症。
真实案例分享与患者反馈
成人复杂错颌矫正
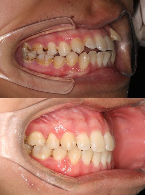
患者张某,28岁,主诉牙齿拥挤、龅牙,影响美观与咀嚼功能,检查显示牙列中度拥挤,上颌前突,下颌后缩,医生为其设计“隐形矫治+微种植体支抗”方案,通过18个月治疗,牙齿排列整齐,覆盖关系正常,面部侧貌改善明显,患者对效果非常满意。

儿童早期骨性干预
患儿李某,9岁,因“地包天”就诊,检查为下颌骨性前突,医生采用前方牵引矫治器进行早期干预,引导上颌骨发育,抑制下颌过度生长,治疗1年后,反颌关系解除,面型得到改善,为后续恒牙列矫正奠定良好基础。
患者普遍反馈,医院医生耐心细致,治疗过程舒适度高,复诊流程便捷,尤其是数字化技术的应用,让矫正效果更可预期。
费用透明与政策支持
宁波海曙口腔医院正畸费用公开透明,根据矫治方式、病例复杂程度及材料品牌定价,治疗前会提供详细的费用清单,包含检查费、矫治器费、治疗费、保持器费等,无隐形消费,针对学生群体、军人等特殊人群,医院推出专属优惠活动;同时支持分期付款,减轻患者经济压力。
需要注意的是,正畸费用因个体差异较大,建议患者到院进行面诊后,医生根据具体情况给出精准报价。
相关问答FAQs
Q1:正畸治疗的最佳年龄是什么时候?
A:正畸治疗分阶段进行:儿童(3-12岁)主要针对骨性问题进行早期干预,引导颌骨发育;青少年(12-18岁)为黄金矫正期,此时乳牙替换完成,颌骨仍有发育潜力,矫治效果更佳;成人(18岁以上)也可正畸,但骨性病例可能需要联合正颌手术,治疗时间相对较长,无论年龄大小,只要牙周健康,均可进行正畸治疗。
Q2:隐形矫正和传统矫正怎么选?哪个效果更好?
A:隐形矫正和传统矫正各有优势,选择需根据个人需求及病例复杂程度决定:隐形矫正美观、舒适,方便清洁,适合轻中度错颌及对美观要求高的患者;传统矫正(如自锁托槽)矫治力度强,适用范围广,尤其适合复杂病例(如严重拥挤、骨性错颌),效果上,两种方式在医生规范操作下均可达到理想矫正效果,关键在于选择合适的矫治方式及经验丰富的医生。
